假牙歪斜,牙齦萎縮,牙齦變黑---全瓷冠合併牙齦整形術

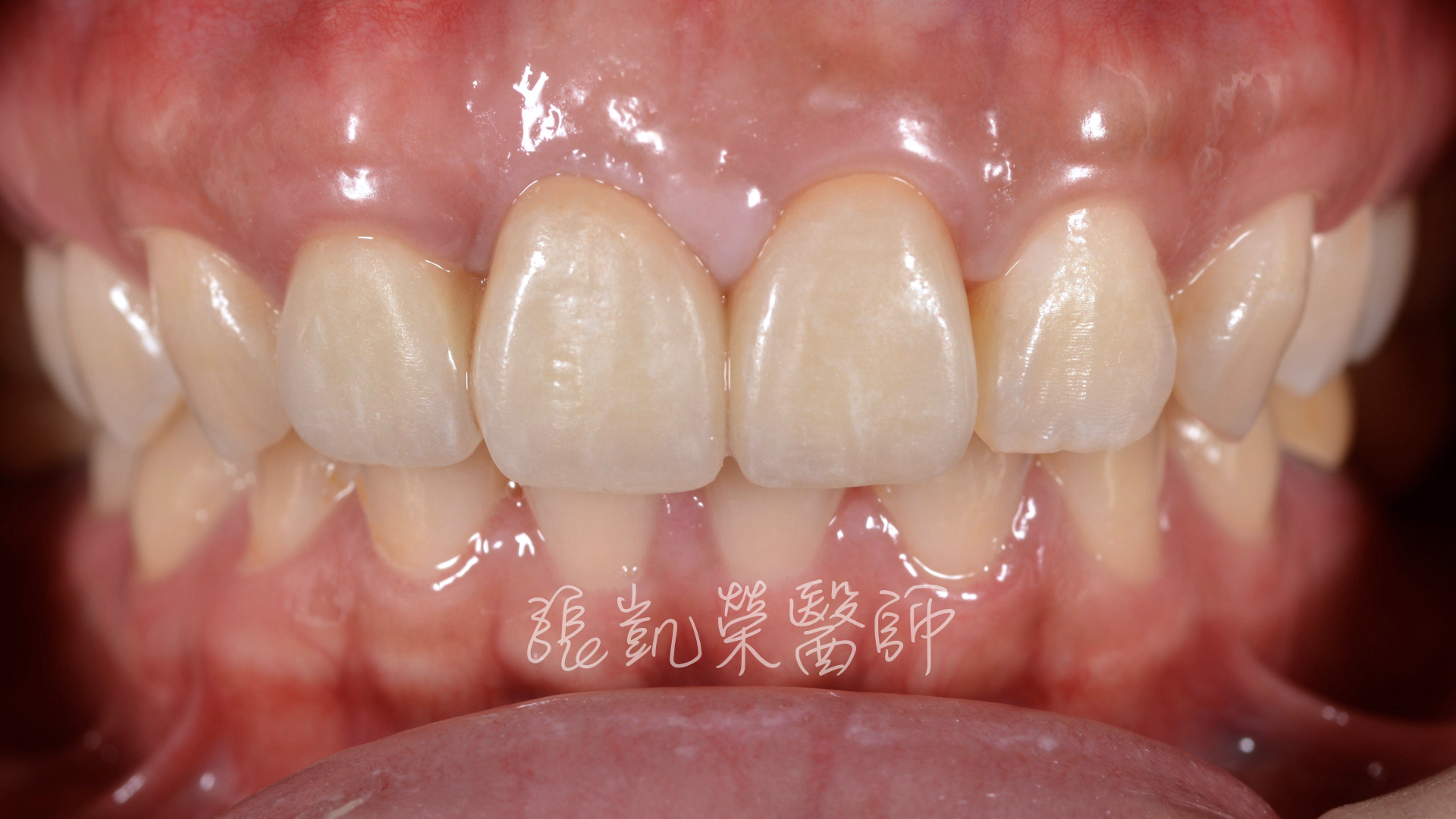
C小姐來到門診,主要針對做了十幾年的假牙,覺得不美觀,除了假牙顏色外,牙齒歪斜,還有牙齦處黑黑的,照相時覺得牙齦有暗影。
經診察後,發現假牙型態不佳,牙橋體(缺牙處)下面,因為缺損多年,所以牙肉萎縮,光線照起來有暗影;榮醫師建議除了假牙更全瓷冠換外,再由牙齦整形術重建牙齦缺損與調整牙齒長度調整囉。


不整齊的舊假牙
不整齊的舊假牙