• 牙科美容資訊
    • 全部文章
    • 全瓷冠貼片
    • 牙齒美白
    • 全瓷嵌體
    • 人工植牙
    • 健康保健
  • 案例介紹
    • 全部案例
    • 全瓷冠貼片
    • 牙齒美白
    • 全瓷嵌體
    • 植牙全口重建
  • 醫師動態
  • 診所資訊
  • 回首頁

張凱榮醫師

Dr. Chang Kai Jung

案例介紹

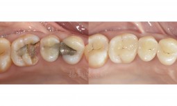
  • 牙齒咬起來怪怪的,原來是邊緣裂了一個縫,沒想到裡面牙齒蛀這麼大------全瓷嵌體修復
    牙齒咬起來怪怪的,原來是邊緣裂了一個縫,沒想到裡面牙齒蛀這麼大------全瓷嵌體修復
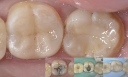
  • 牙齒補得好像掉了,好容易塞食物,打開發現牙齒快要蛀光了------全瓷嵌體修復
    牙齒補得好像掉了,好容易塞食物,打開發現牙齒快要蛀光了------全瓷嵌體修復
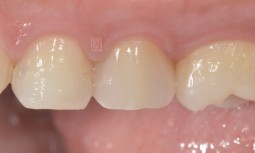
  • 我的牙齒咬破了,感覺牙齦有點痛痛的-----牙冠增長術後,全瓷嵌體修復
    我的牙齒咬破了,感覺牙齦有點痛痛的-----牙冠增長術後,全瓷嵌體修復
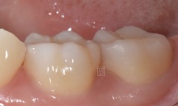
  • 牙齒咬起來怪怪的,有點不舒服------牙齒裂痕,造成牙髓壞死,顯微根管與全瓷嵌體修復
    牙齒咬起來怪怪的,有點不舒服------牙齒裂痕,造成牙髓壞死,顯微根管與全瓷嵌體修復
  • 牙齒偶爾覺得酸酸的,原來蛀了那麼大一個洞------MTA(三氧礦化物)保護牙髓,再用陶瓷嵌體恢復牙齒結構
    牙齒偶爾覺得酸酸的,原來蛀了那麼大一個洞------MTA(三氧礦化物)保護牙髓,再用陶瓷嵌體恢復牙齒結構
  • 牙齒咬起來酸酸的,不是蛀牙,而是牙齒裂了------全瓷嵌體修復
    牙齒咬起來酸酸的,不是蛀牙,而是牙齒裂了------全瓷嵌體修復
  • 以前補銀粉的牙齒咬起來酸酸的-----牙齒裂了,全瓷嵌體修復
    以前補銀粉的牙齒咬起來酸酸的-----牙齒裂了,全瓷嵌體修復
  • 根管治療後怎麼辦?   全瓷嵌體修復
    根管治療後怎麼辦? 全瓷嵌體修復
  • 我的牙齒咬東西好酸啊---全瓷嵌體修復
    我的牙齒咬東西好酸啊---全瓷嵌體修復
  • 天啊!!我把我的牙齒咬裂了---全瓷嵌體修復
    天啊!!我把我的牙齒咬裂了---全瓷嵌體修復
  • 後面牙齒咬起來好痠痛,原來是智齒造成的問題------全瓷嵌體修復
    後面牙齒咬起來好痠痛,原來是智齒造成的問題------全瓷嵌體修復
  • 上顎大臼齒牙齒外翻,牙刷不好放,很難清潔---全瓷嵌體治療
    上顎大臼齒牙齒外翻,牙刷不好放,很難清潔---全瓷嵌體治療
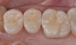
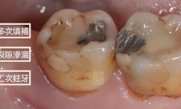
  • 我的牙齒好像乞丐裝,縫縫補補好多次---多次填補再蛀牙
    我的牙齒好像乞丐裝,縫縫補補好多次---多次填補再蛀牙
  • 牙齒咬起來有點痛的---牙齒裂了
    牙齒咬起來有點痛的---牙齒裂了
  • 牙齒咬起來酸酸的---牙齒裂了
    牙齒咬起來酸酸的---牙齒裂了
  • 我咬起來會酸痛,無法用力咬-----利用全瓷嵌體修復牙齒斷裂痕
    我咬起來會酸痛,無法用力咬-----利用全瓷嵌體修復牙齒斷裂痕
  • 醫師,我的牙齒破掉了怎麼辦?------全瓷嵌體修復大範圍蛀牙
    醫師,我的牙齒破掉了怎麼辦?------全瓷嵌體修復大範圍蛀牙

© 2026 美容牙科張凱榮醫師. All Rights Reserved | Design by W3layouts

  • 牙科美容資訊
  • 案例介紹
  • 常見問題
  • 醫師動態
  • 診所資訊
  • 回首頁