• 牙科美容資訊
    • 全部文章
    • 全瓷冠貼片
    • 牙齒美白
    • 全瓷嵌體
    • 人工植牙
    • 健康保健
  • 案例介紹
    • 全部案例
    • 全瓷冠貼片
    • 牙齒美白
    • 全瓷嵌體
    • 植牙全口重建
  • 醫師動態
  • 診所資訊
  • 回首頁

張凱榮醫師

Dr. Chang Kai Jung

牙科美容資訊

全瓷冠貼片

    美白貼片常見13個問題:
    2021-03-15

    美白貼片常見13個問題:

    閱讀更多
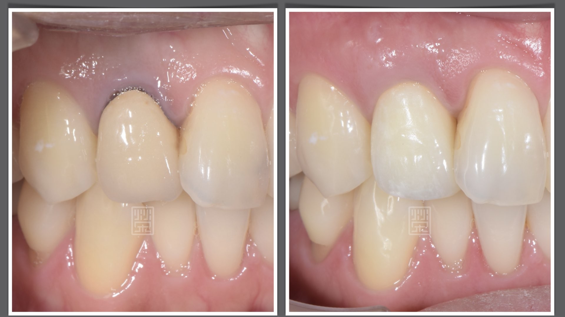
    牙齒變黑了怎麼辦?part V:牙根變色,但內有個大鑄釘,拿下來牙根傷害太大
    2021-02-17

    牙齒變黑了怎麼辦?part V:牙根變色,但內有個大鑄釘,拿下來牙根傷害太大

    閱讀更多
    牙齒變黑了怎麼辦?part IV:瓷牙邊緣氧化,造成顏色變深
    2021-02-17

    牙齒變黑了怎麼辦?part IV:瓷牙邊緣氧化,造成顏色變深

    閱讀更多
    牙齒變黑了怎麼辦?part III:瓷牙顏色不自然,跟旁邊的牙齒顏色不同。
    2021-02-17

    牙齒變黑了怎麼辦?part III:瓷牙顏色不自然,跟旁邊的牙齒顏色不同。

    閱讀更多
  • Prev
  • 1
  • 2
  • 3
  • 4
  • Next

© 2026 美容牙科張凱榮醫師. All Rights Reserved | Design by W3layouts

  • 牙科美容資訊
  • 案例介紹
  • 常見問題
  • 醫師動態
  • 診所資訊
  • 回首頁