• 牙科美容資訊
    • 全部文章
    • 全瓷冠貼片
    • 牙齒美白
    • 全瓷嵌體
    • 人工植牙
    • 健康保健
  • 案例介紹
    • 全部案例
    • 全瓷冠貼片
    • 牙齒美白
    • 全瓷嵌體
    • 植牙全口重建
  • 醫師動態
  • 診所資訊
  • 回首頁

張凱榮醫師

Dr. Chang Kai Jung

案例介紹

  • 榮醫師!!!我的牙齒圖然變黑了怎麼辦?------根管治療與尺內美白
    榮醫師!!!我的牙齒圖然變黑了怎麼辦?------根管治療與尺內美白
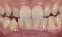
  • 我的牙怎麼突然變黑了!!!---齒內美白
    我的牙怎麼突然變黑了!!!---齒內美白
  • 牙齒美白---牙齒暗沈處理
    牙齒美白---牙齒暗沈處理
  • 牙齒美白---矯正後牙齒亮白處理
    牙齒美白---矯正後牙齒亮白處理
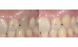
  • 牙齒突然變黑---齒內美白
    牙齒突然變黑---齒內美白
  • 牙齒美白 II
    牙齒美白 II
  • 噴砂美白
    噴砂美白
  • 牙齒美白
    牙齒美白

© 2026 美容牙科張凱榮醫師. All Rights Reserved | Design by W3layouts

  • 牙科美容資訊
  • 案例介紹
  • 常見問題
  • 醫師動態
  • 診所資訊
  • 回首頁