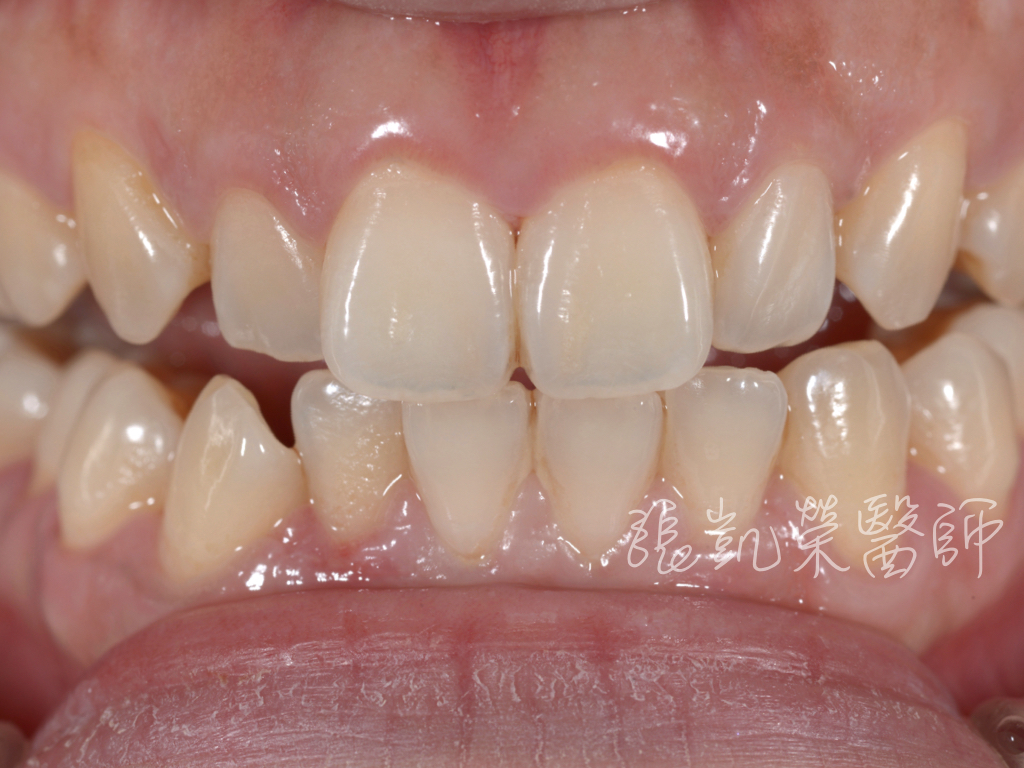
噴砂美白

每天一杯茶、一杯咖啡已是生活中不可缺少的一部分,長時間下來,牙齒上常會有茶垢、色素沈積,這時候您所需要的是噴砂美白,是用30~50 micrometer的氧化鋁微粒,藉由氣壓噴出,把表面茶垢、色素沈積去除,就可以恢復乾淨涼白的牙齒。
噴差美白前
噴差美白前

噴砂美白後
噴砂美白後