我的牙齒好小顆,該怎麼辦呢?------樹脂模擬、全瓷冠修復

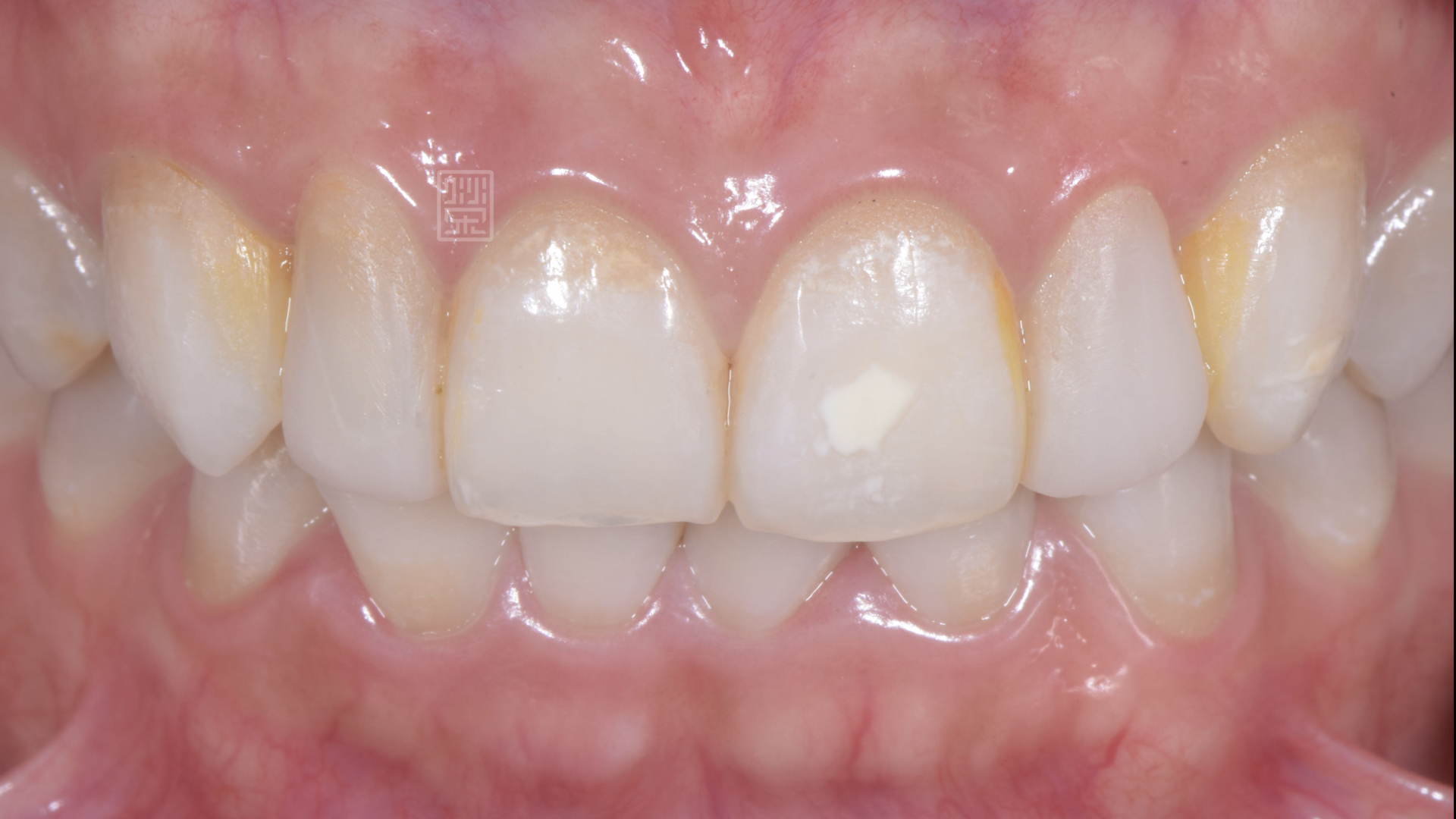
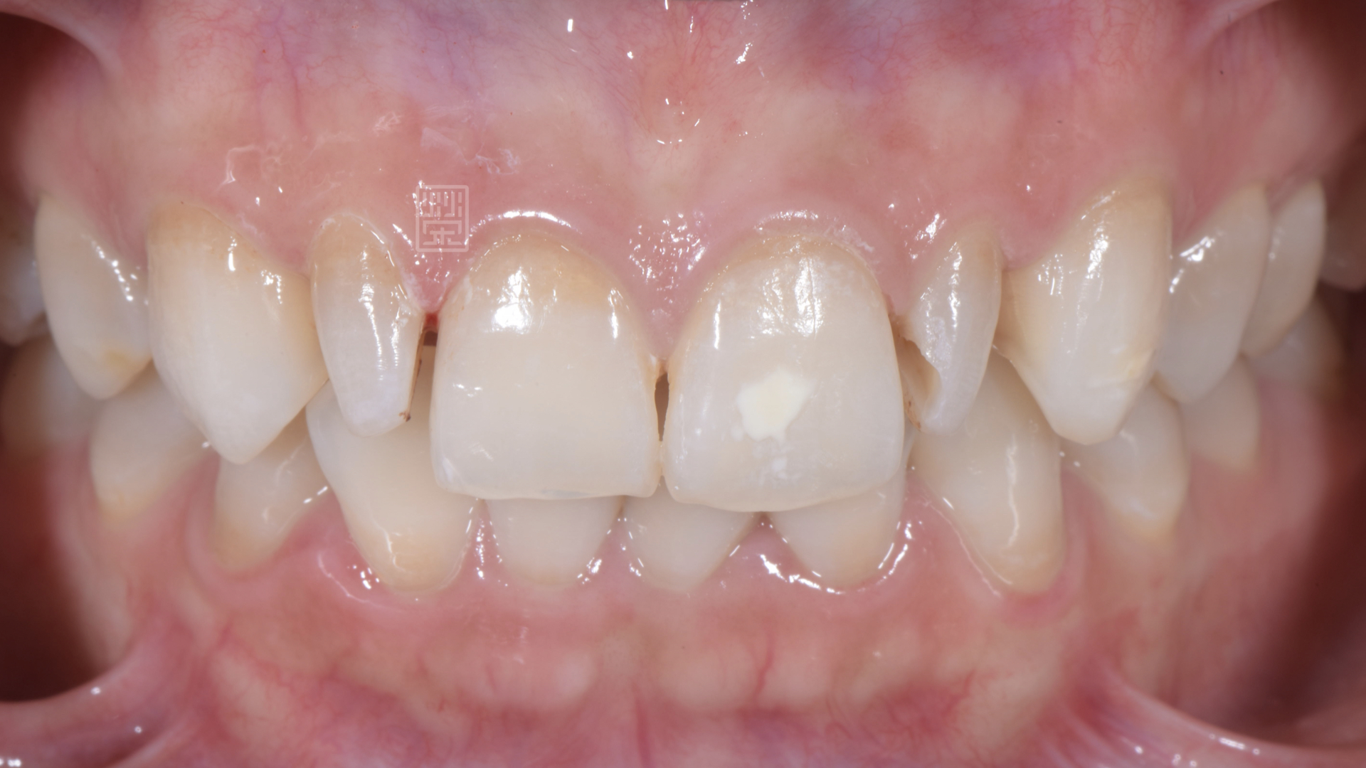
劉小姐側門牙偏小,這就是側門牙錐狀牙,是由於牙齒兩側的發育葉比較小或是沒有發育葉所造成,但是這不影響牙齒的健康狀況,但對於美觀比較有影響。
為了溝通順暢,首先將牙齒蛀牙部分清除,再用樹脂填補並且將牙齒修復至預計型態,有實質的型態位置,可以明確的討論是否需要調整,確定型態長度後,再利用全瓷冠完成。
側門牙錐狀牙,型態比較小且尖
側門牙錐狀牙,型態比較小且尖

側門牙錐狀牙,明顯比旁邊牙齒小
側門牙錐狀牙,明顯比旁邊牙齒小

移除蛀牙
移除蛀牙

牙齒表面酸蝕
牙齒表面酸蝕

臨牙保護後,準備復形側門牙
臨牙保護後,準備復形側門牙

利用矽膠印膜材複製預定的樹脂型態
利用矽膠印膜材複製預定的樹脂型態

對合至口內預備復形
對合至口內預備復形

復形完畢
復形完畢

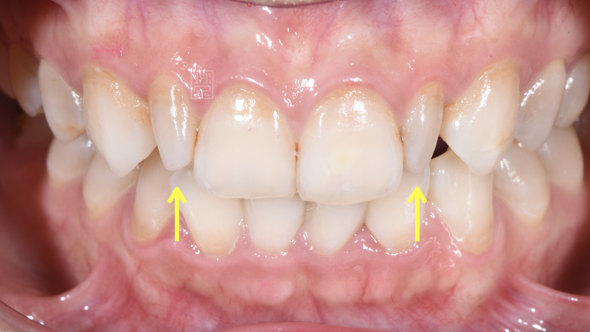
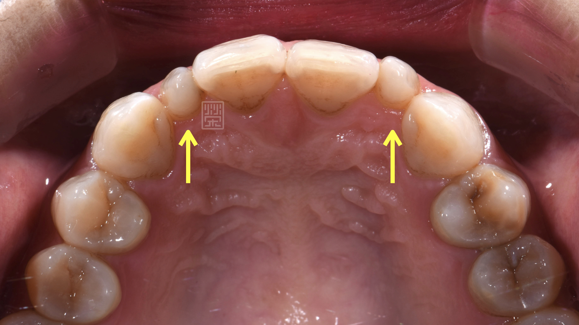
回診檢查
回診檢查

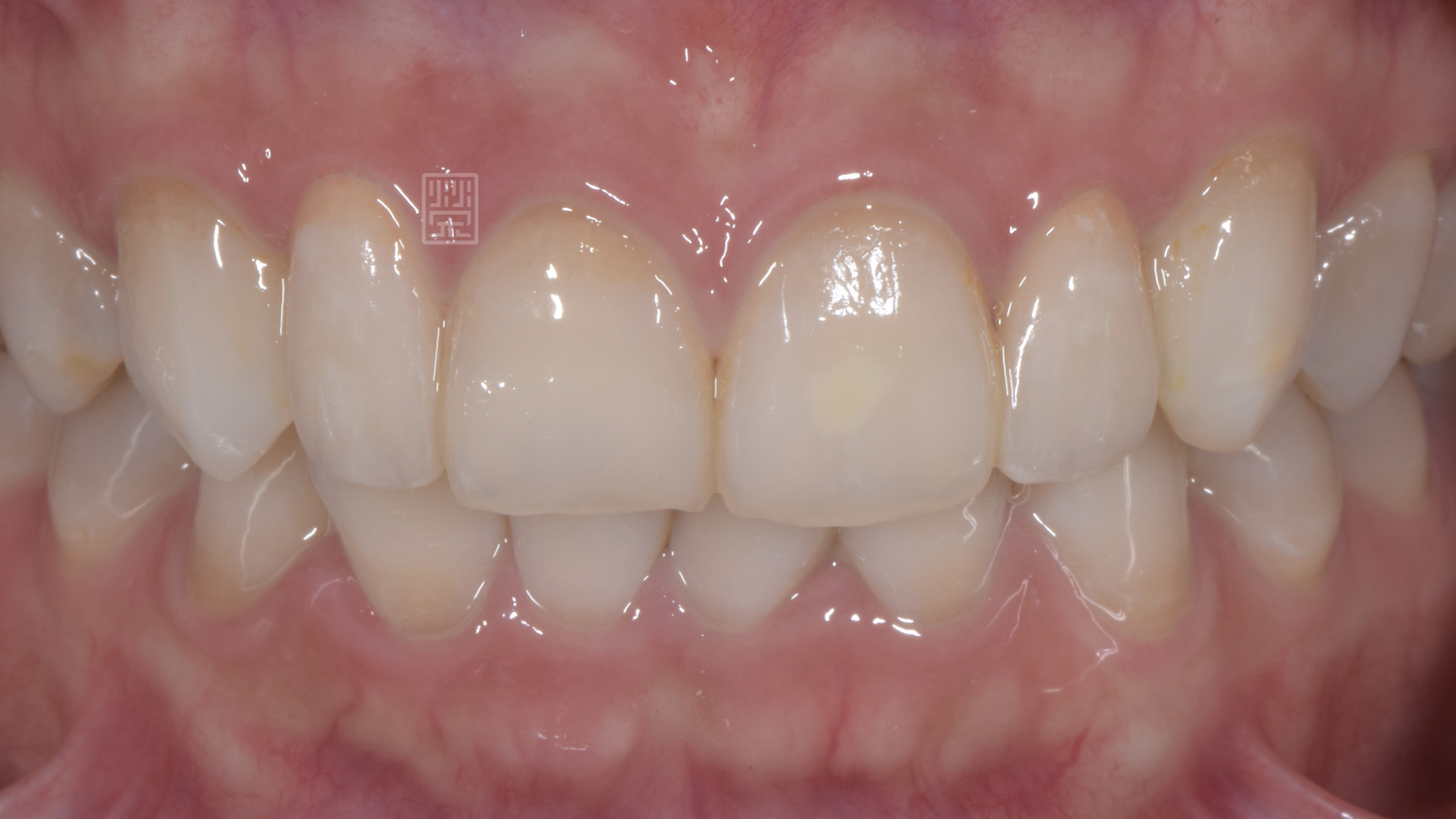
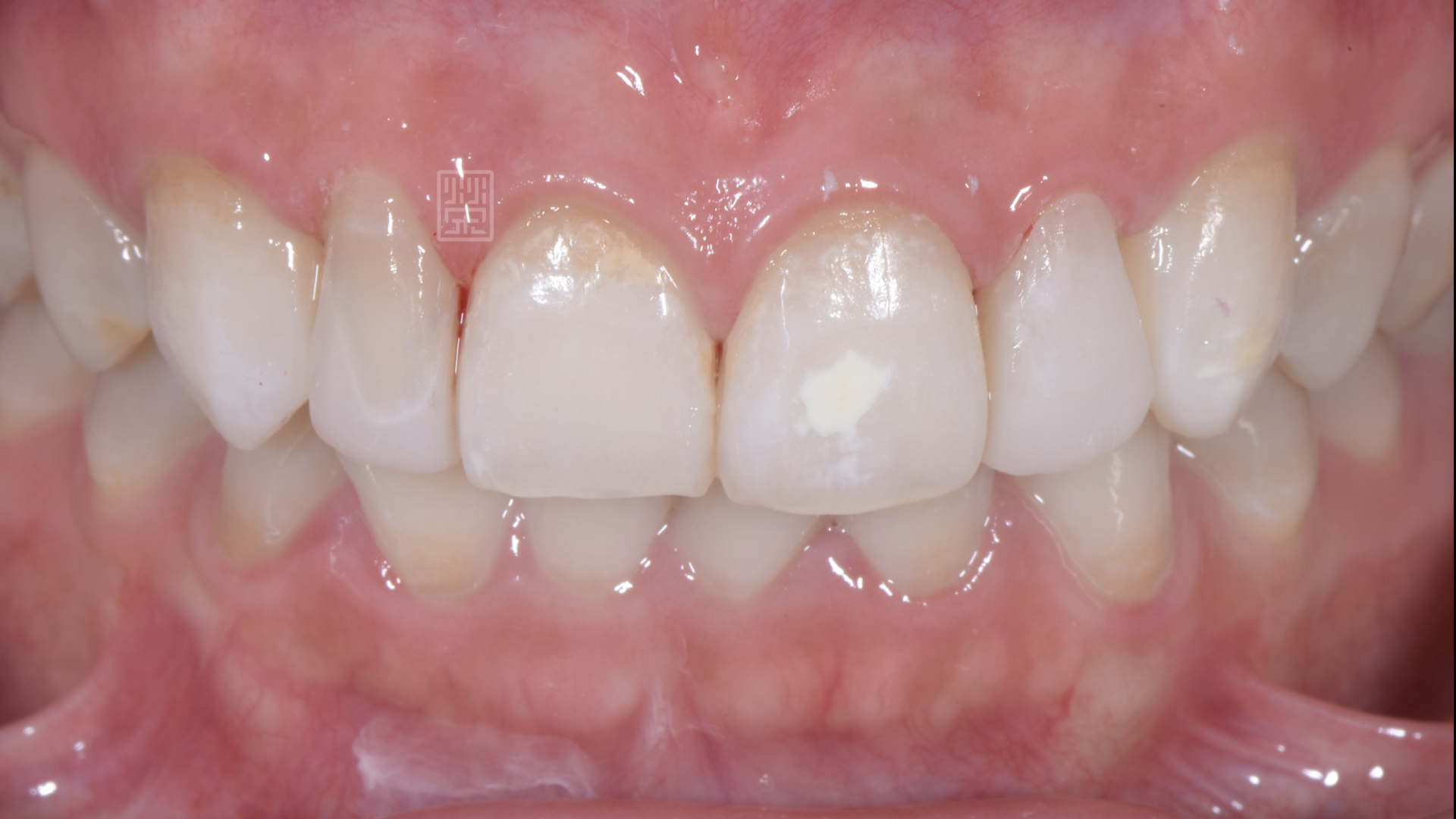
全瓷冠完成
全瓷冠完成