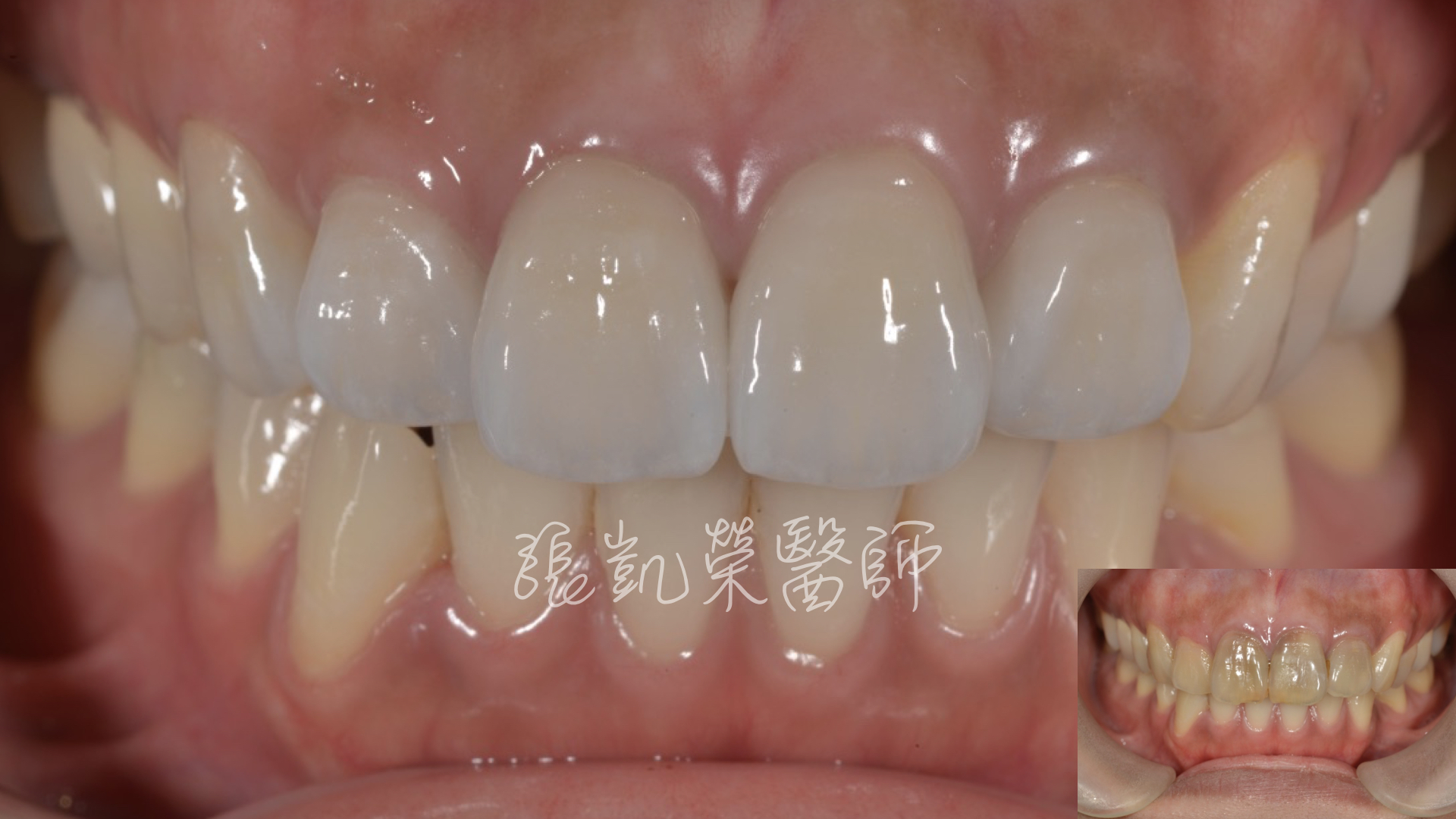
根管治療後牙齒變黃---全瓷冠合併齒內美白

W小姐覺得從小就牙齒黃黃的,本來是預計要做美白。
榮醫師檢查後,發現他牙齒黃黃的是因為小時候牙齒根管治療,牙齒顏色變深,而且根管治療過程牙齒齒質也受到傷害,所以榮醫師就建議針對牙齒變黃的部分進行全瓷冠治療,一來可以保護牙齒,二來也可以改善牙齒顏色美觀,讓W小姐可以不用再為這個多年的黃板牙煩惱了~~