Toggle navigation
牙科美容資訊
全部文章
全瓷冠貼片
牙齒美白
全瓷嵌體
人工植牙
健康保健
案例介紹
全部案例
全瓷冠貼片
牙齒美白
全瓷嵌體
植牙全口重建
醫師動態
診所資訊
回首頁
張凱榮醫師
Dr. Chang Kai Jung
案例介紹
2018-06-24
牙齒美白
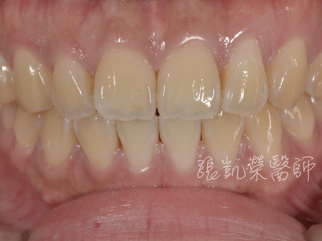
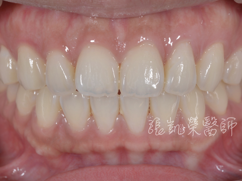
藉由美白藥劑的清潔效應,將牙齒表面清潔,去除珐瑯質表面細微污垢,讓牙齒展現亮白笑容
美白前
美白後
美白前
美白後
SHARE :