牙齒美白---牙齒暗沈處理

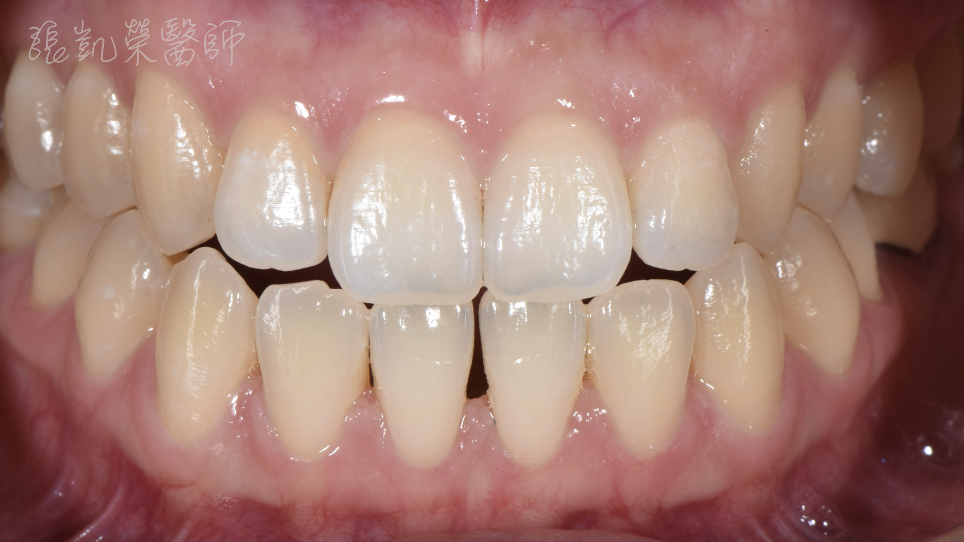
楊小姐是榮醫師多年患者,從一開始的口腔檢查到蛀牙、智齒處理,都是榮醫師的模範生,這天回來定期檢查,跟榮醫師說,他覺得牙齒變得很黃。

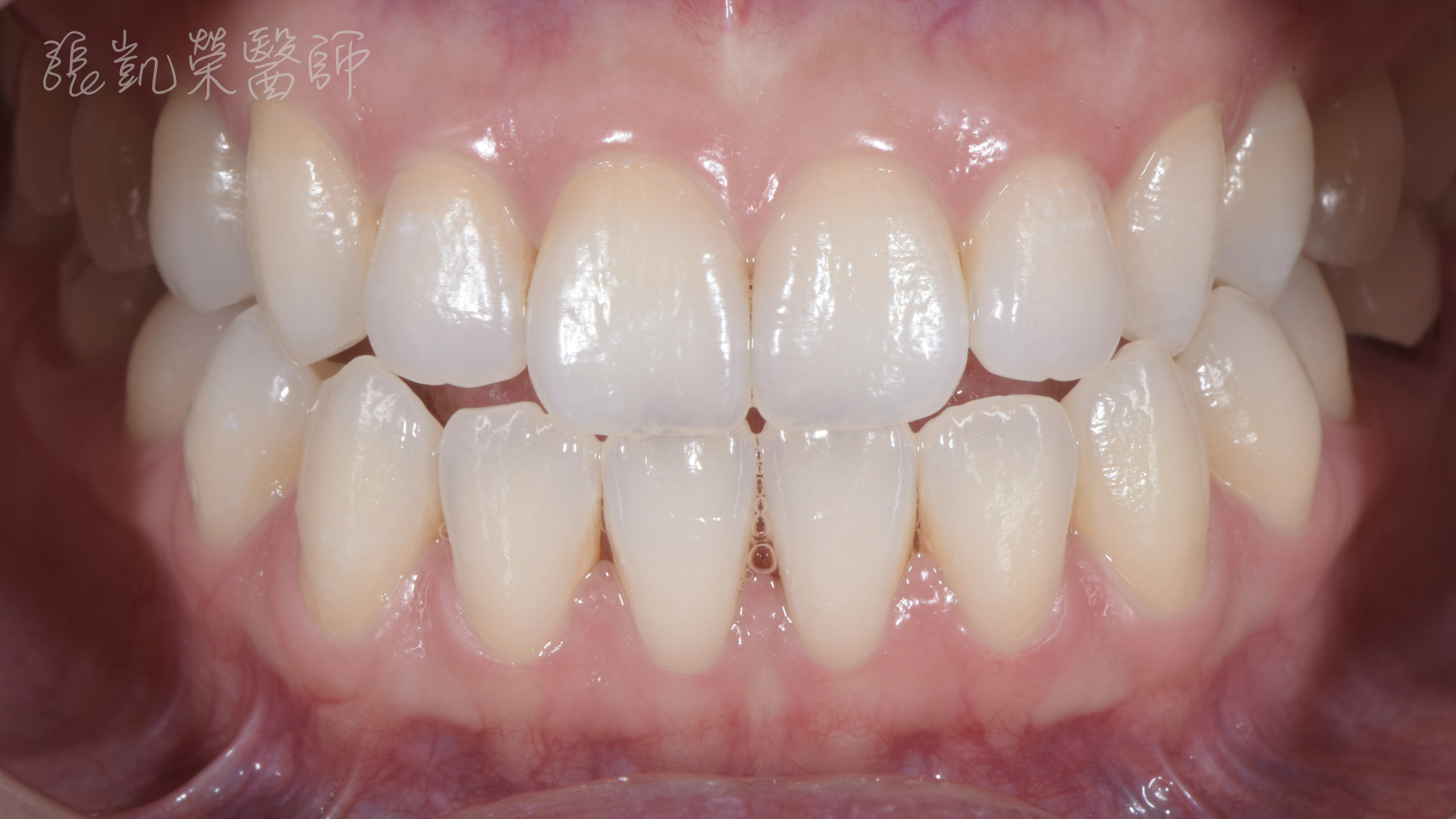
榮醫師檢查後,牙齒都維持很健康,但因為平日飲食,導致牙齒偏黃,榮醫師建議楊小姐美白治療,經過三個禮拜,亮白效果顯著,也讓楊小姐不再為牙齒顏色而煩惱。
美白前
美白前

美白後
美白後