牙齦萎縮變色,牙齒太長----牙齦調整、全口美白、全瓷冠治療

黃小姐初次來榮醫師門診,主要是針對牙齒太長想跟榮醫師討論,感覺牙齒就像兔寶寶一樣,讓他總是不好意思。

檢查結果,因為門牙齒軸關係,造成右邊門牙牙齦萎縮歪斜,加上舊假牙顏色型態不佳,使得門牙看起來特別明顯。

榮醫師將牙齦做些調整,讓萎縮的牙齦長下來些,再將鄰牙稍微修一些牙齦,增加整體和諧感。

等到牙齦穩定與牙齒美白後,換上全瓷冠與貼片,讓黃小姐可以寬心大笑了。

黃小姐看到結果後,向榮醫師說:這樣比自然還自然,我真的很喜歡~~

這樣的回饋,真是讓榮醫師太開心了~~
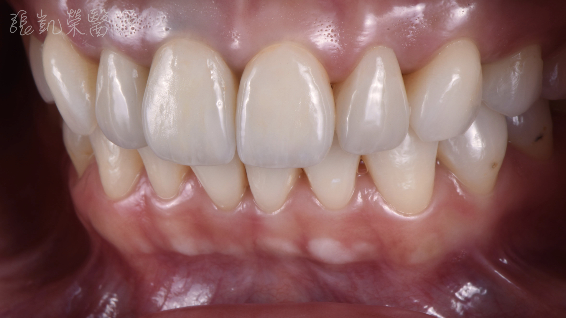
牙齦萎縮,假牙過長
牙齦萎縮,假牙過長

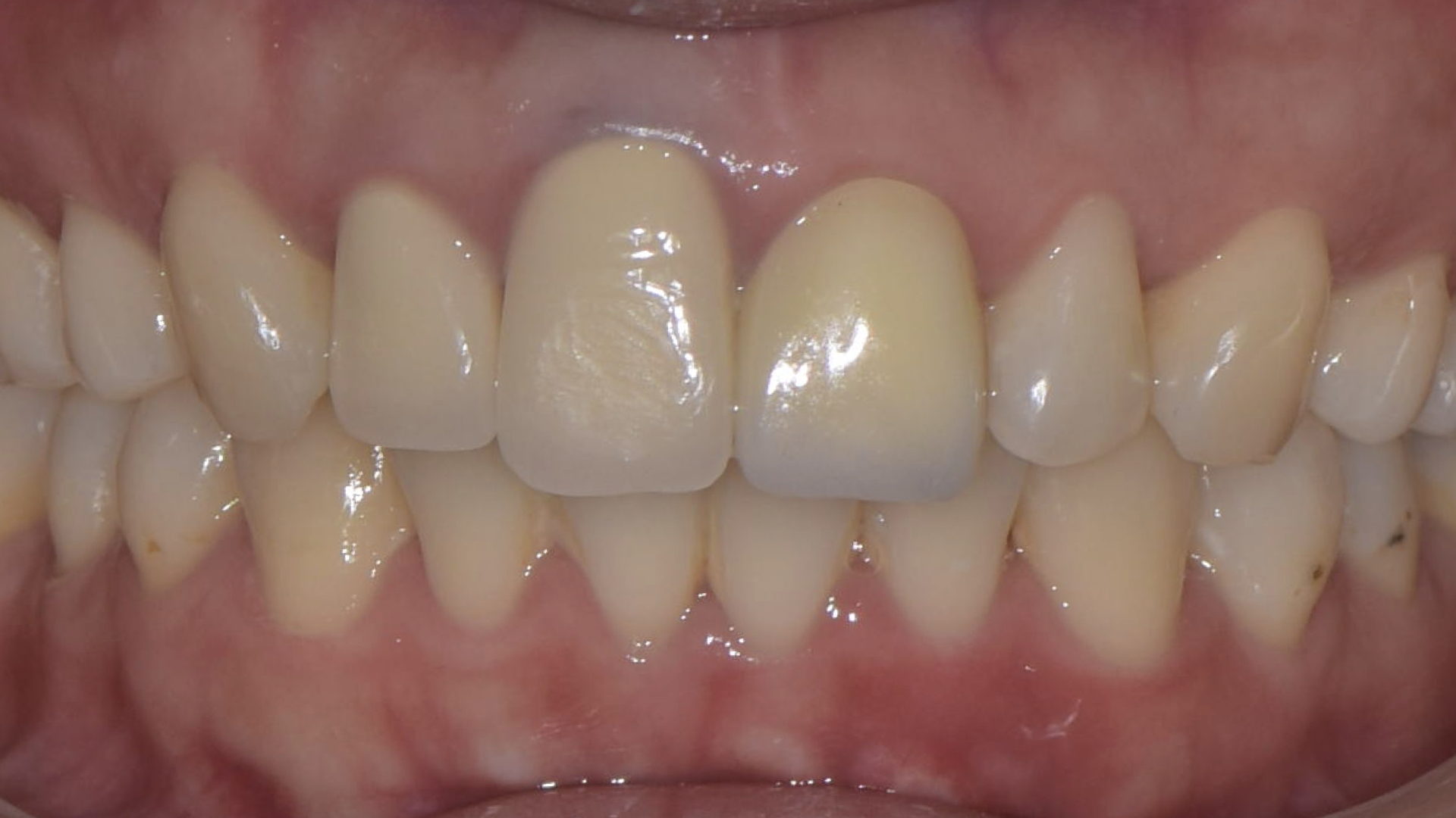
牙根變色
牙根變色

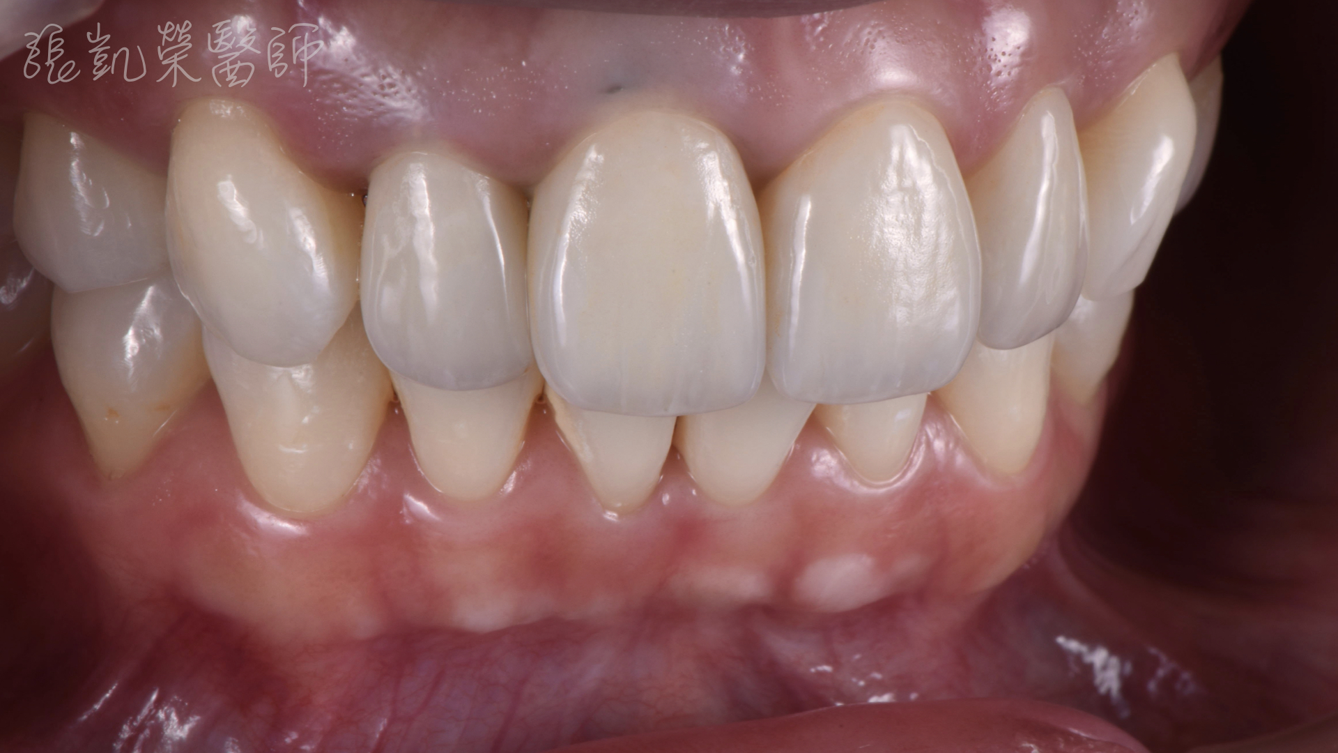
全瓷冠貼片完成
全瓷冠貼片完成

全瓷冠貼片完成
全瓷冠貼片完成

網站照片.005全瓷冠貼片完成
網站照片.005全瓷冠貼片完成