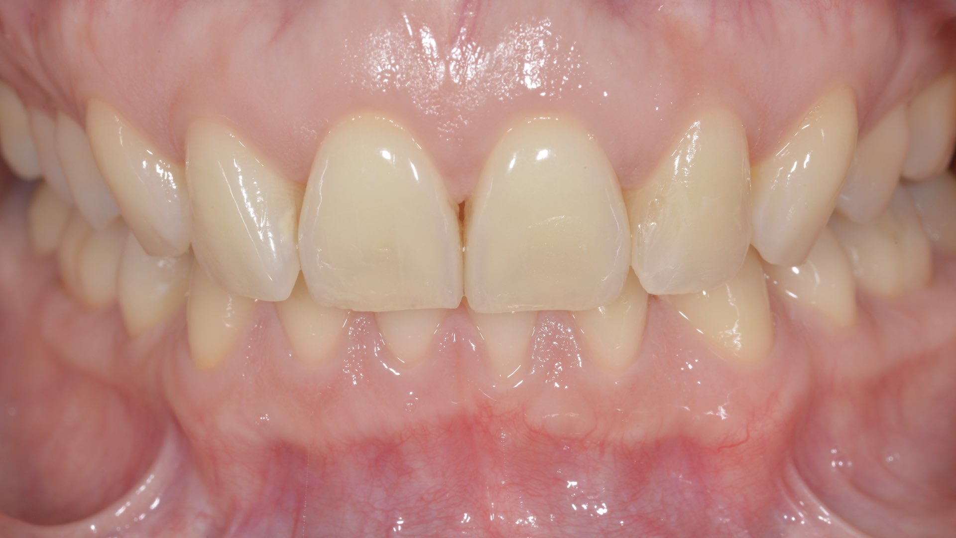
我的牙齒怎麼洗都是黃黃的————全口美白貼片

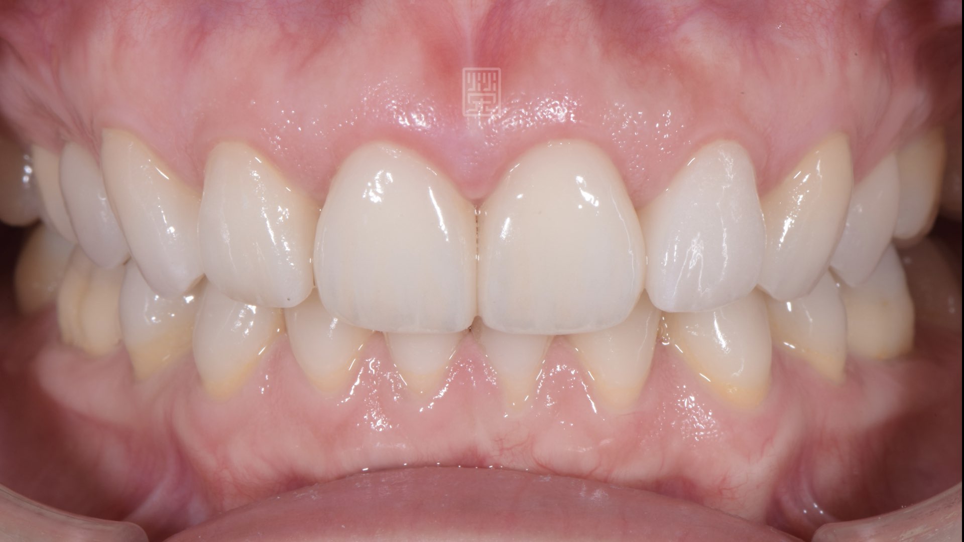
王小姐一直覺得牙齒黃黃的,經過洗牙美白效果有限,決定用全瓷貼片來改善,不單只有上顎,連下顎也要一起處理,經過精密設計貼片空間與位置,降低對牙齒的修磨範圍,將貼片完成,讓王小姐不再會有害怕牙齒變黃的恐懼感囉~~
牙齒偏黃
牙齒偏黃



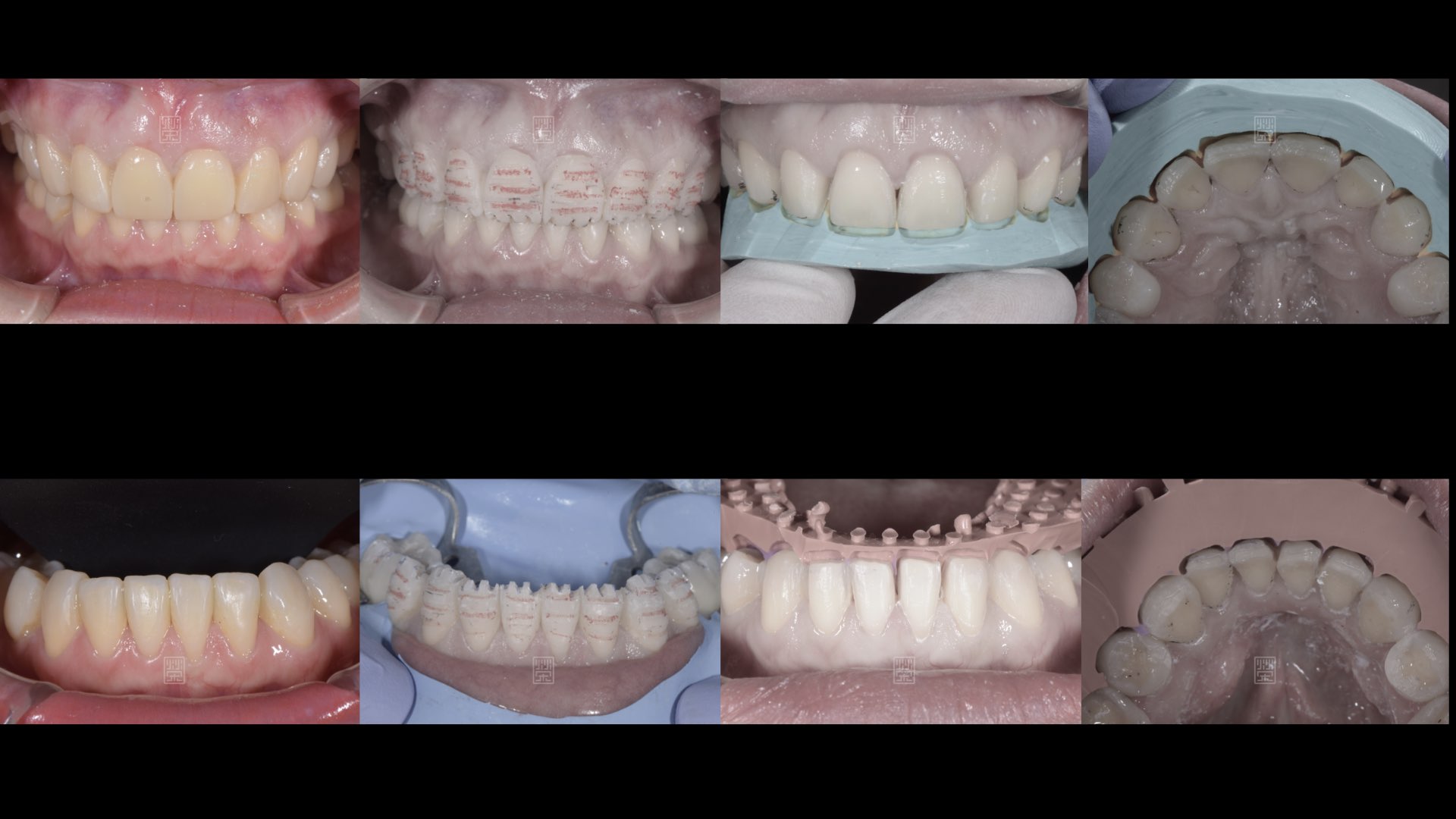
治療流程與精確修磨設定
治療流程與精確修磨設定



網站照片.116
網站照片.116