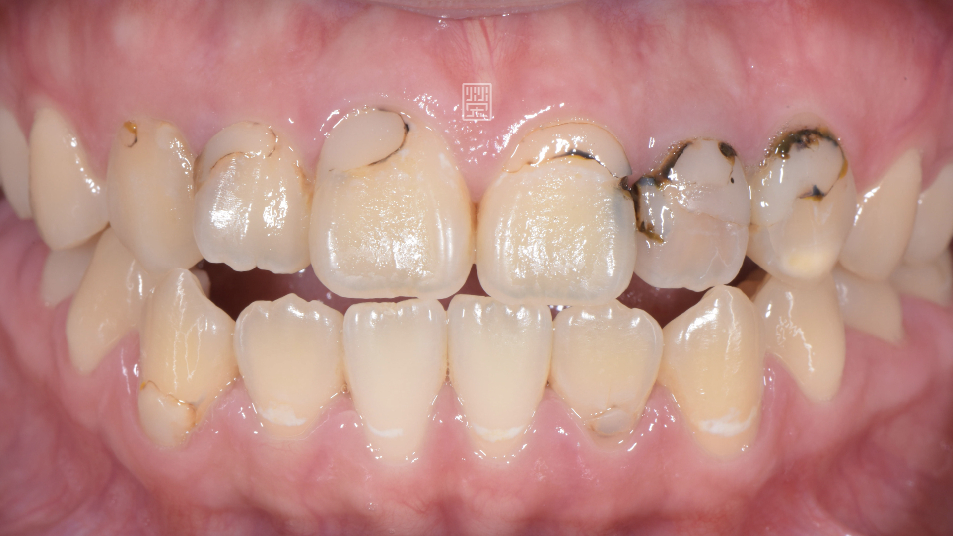
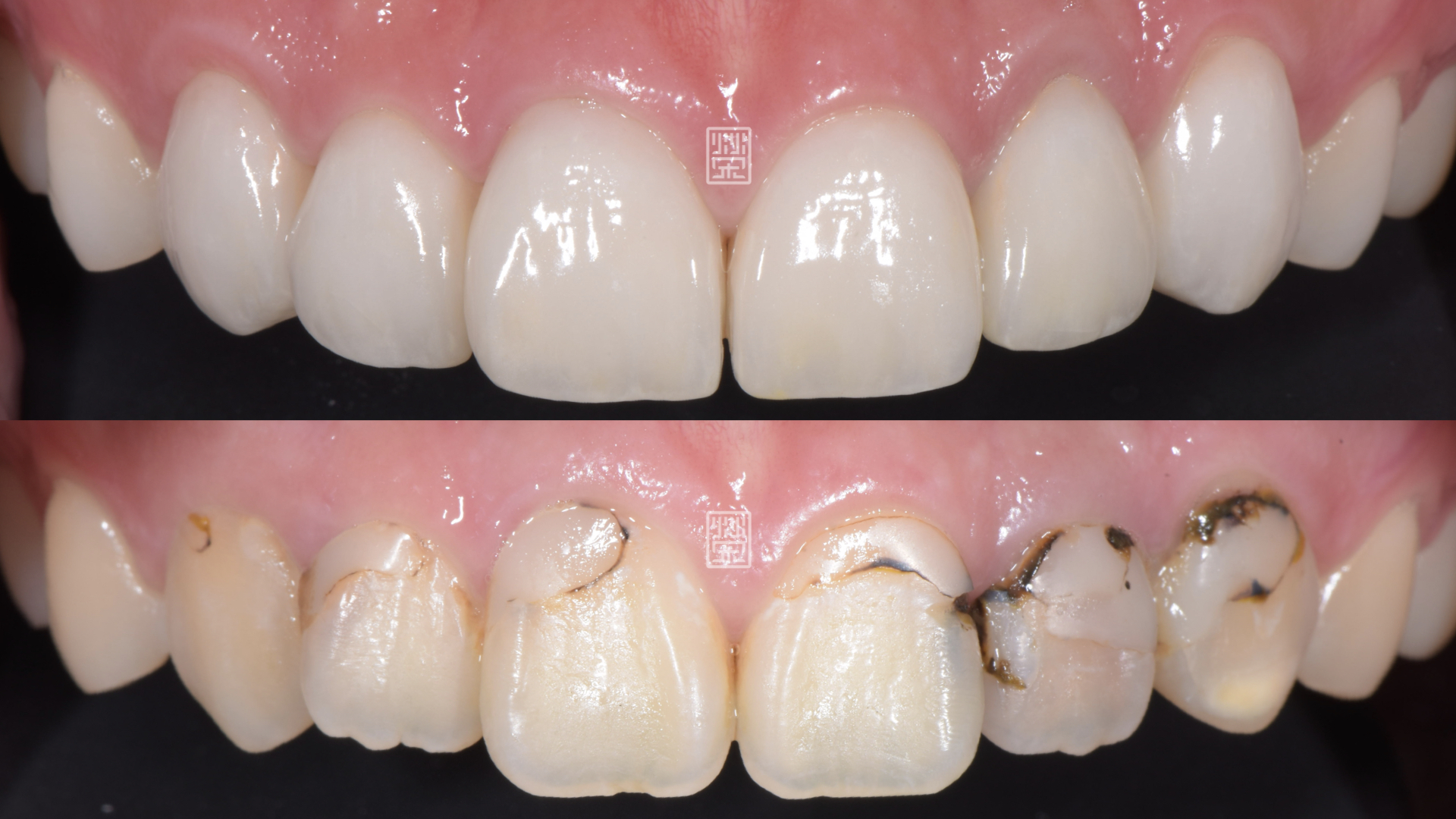
檢查後,除了牙齒顏色比較深外,舊的樹脂填補所造成的變色與二次蛀牙,是主要造成牙齒美觀較差的主要原因。
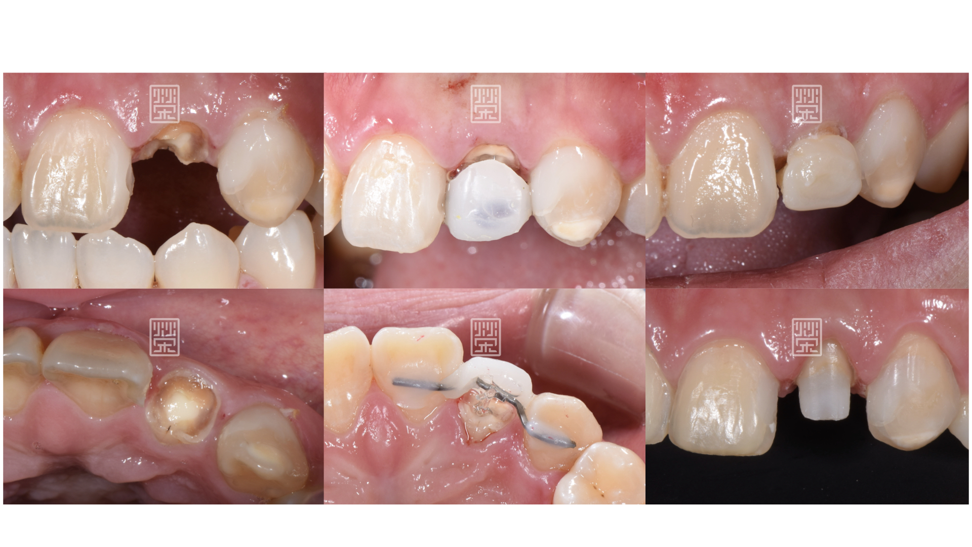
當榮醫師把側門牙的蛀牙拿乾淨後,發現先前蛀牙太嚴重了,造成整個牙齒都不見了,建議局部矯正,將牙齒拉出來,再放上纖維柱釘,可以讓全瓷冠力量可以均勻地傳遞下去。
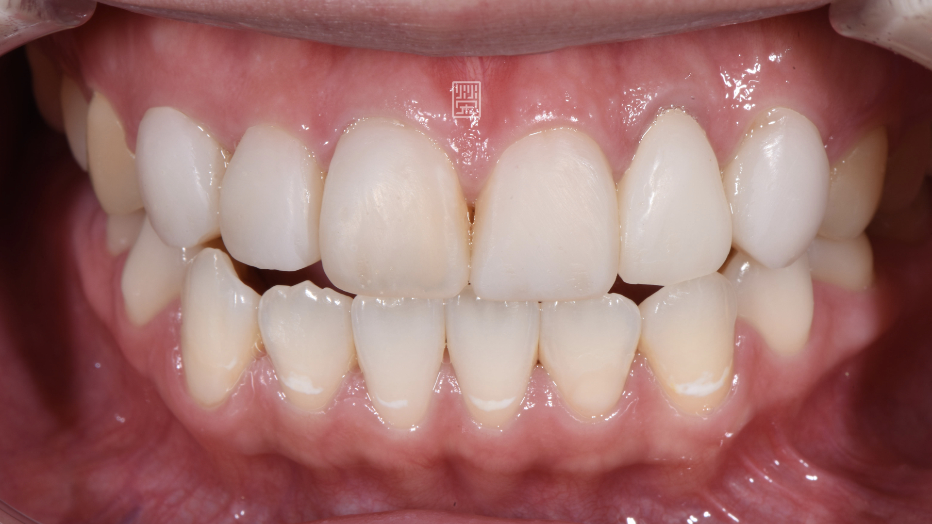
與林小姐溝通完型態顏色後,先完成下顎居家美白,上顎用樹脂模擬,測試發音與功能,確認沒問題後,再換成貼片與全瓷冠。

笑起來的時候看到牙齒黑黑的

樹脂顏色變色,並且有蛀牙

側門牙蛀牙嚴重

矯正拉出牙齒

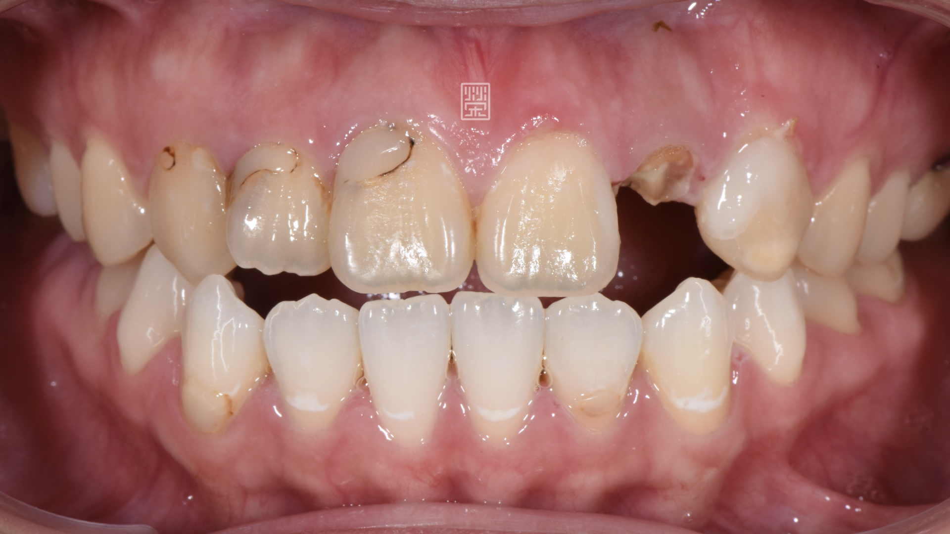
下顎牙齒美白

臨時樹脂模擬

測試發音美觀

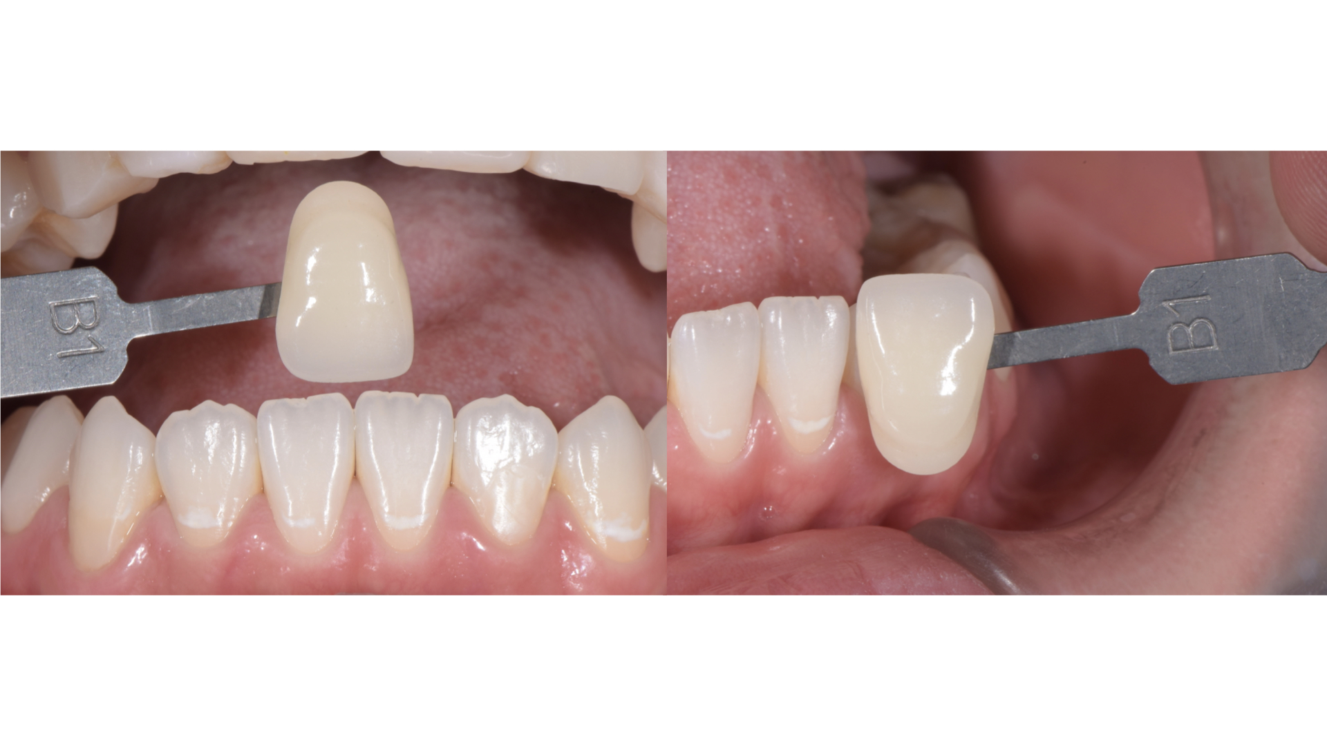
比色

雙層貼片全瓷冠

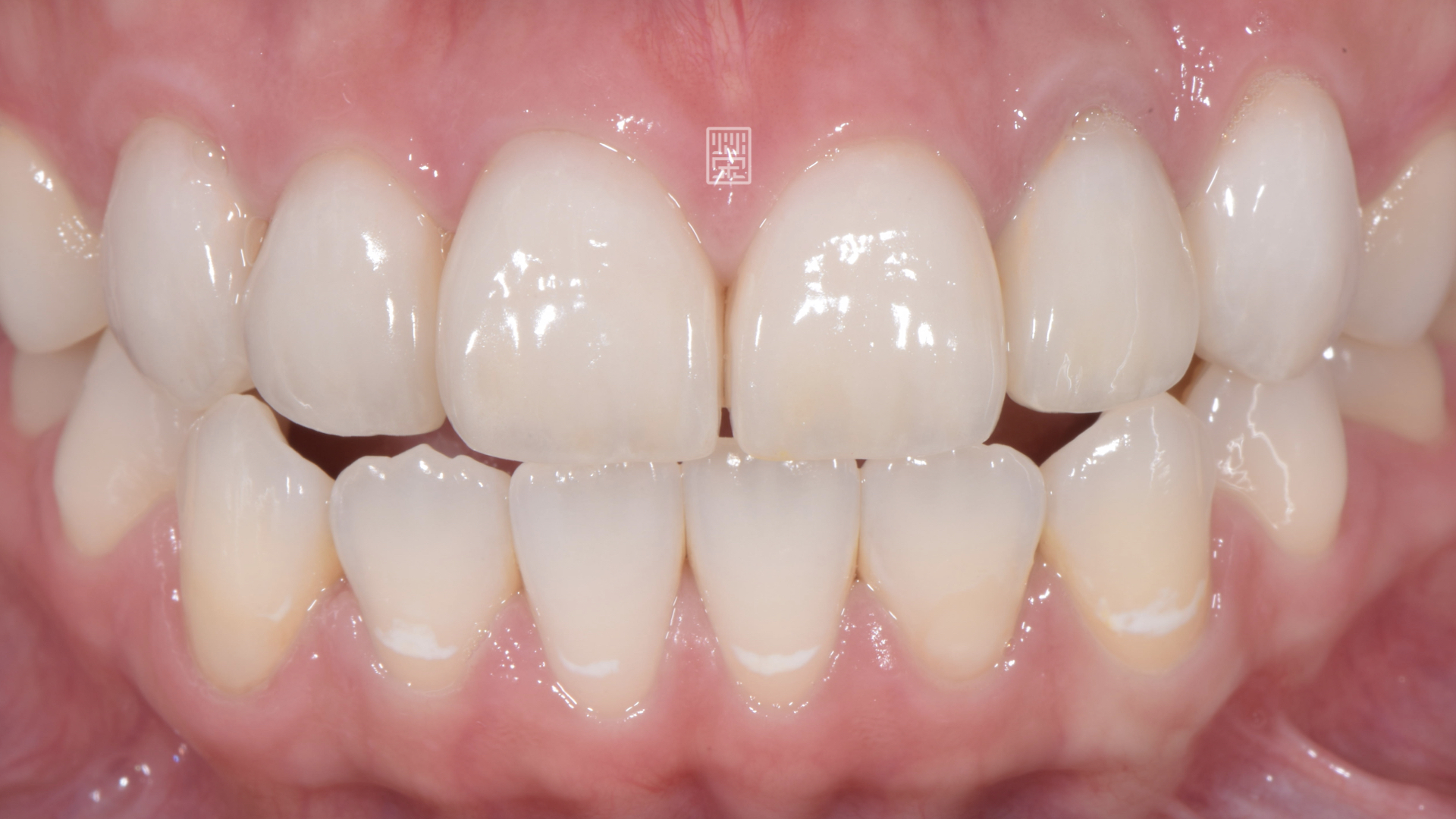
甜美的笑容❤️~~

