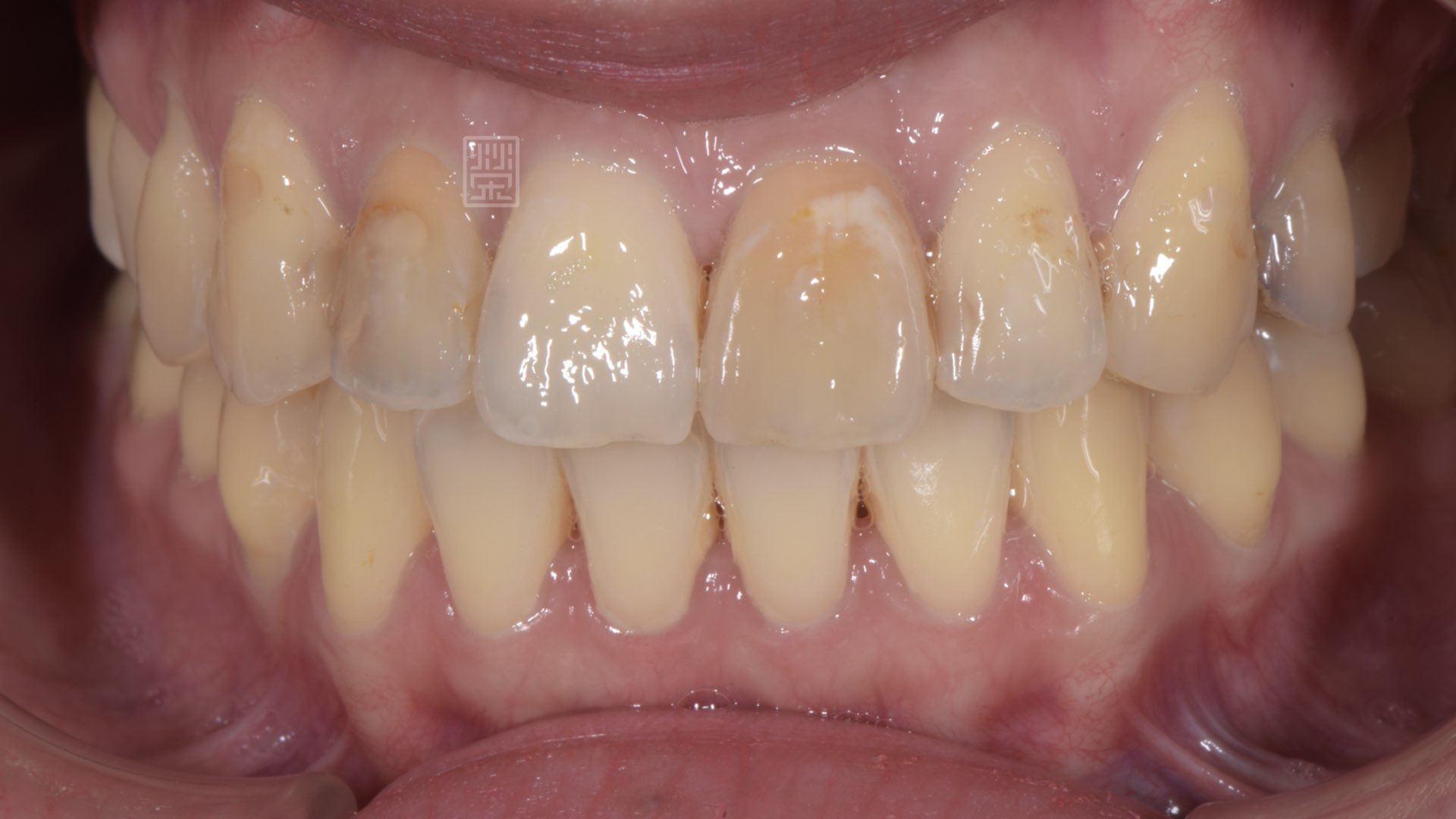
根管治療後的牙齒,需要以全冠覆蓋,保護牙齒結構,但是牙齒變色的部分,就比較需要花費一些心思。
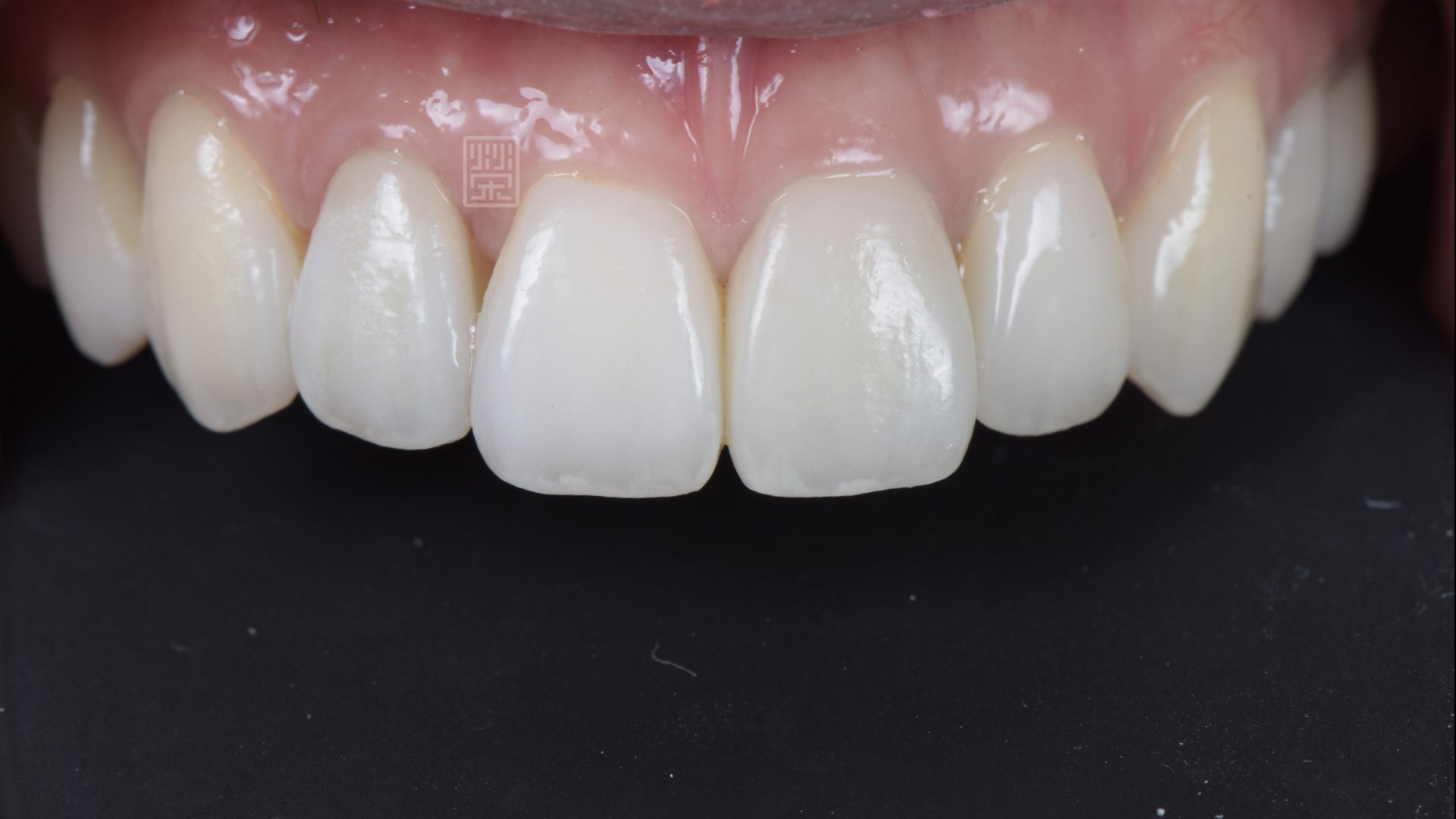
榮醫師小學堂:雖然相同顏色材質,但厚度不同時,光線折射與反受後的表現也會有差異,而且牙齒支台顏色不同,全瓷冠貼片因自然通透度較高,所以牙齒體色會顯現出來。
所以榮醫師會先用氧化鋯內冠將根管後的牙齒顏色與製作貼片的鄰牙支台顏色校正,之後在一起將貼薄瓷貼片,這樣除了顏色亮度都會變得比較ㄧ至,讓笑容更加自然美麗。

根管治療後牙齒變色

根管治療後牙齒變色

根管治療後牙齒變色

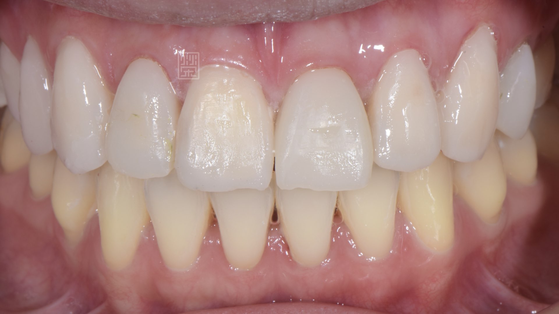
臨時貼片

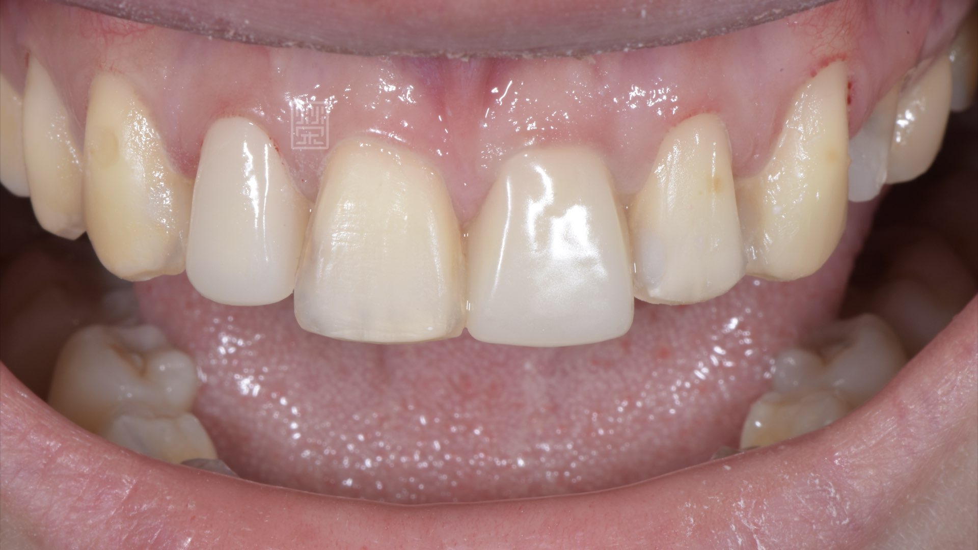
牙齒修磨後

氧化鋯內冠顏色校正

橡膠皮帳隔濕促進貼片黏著穩定

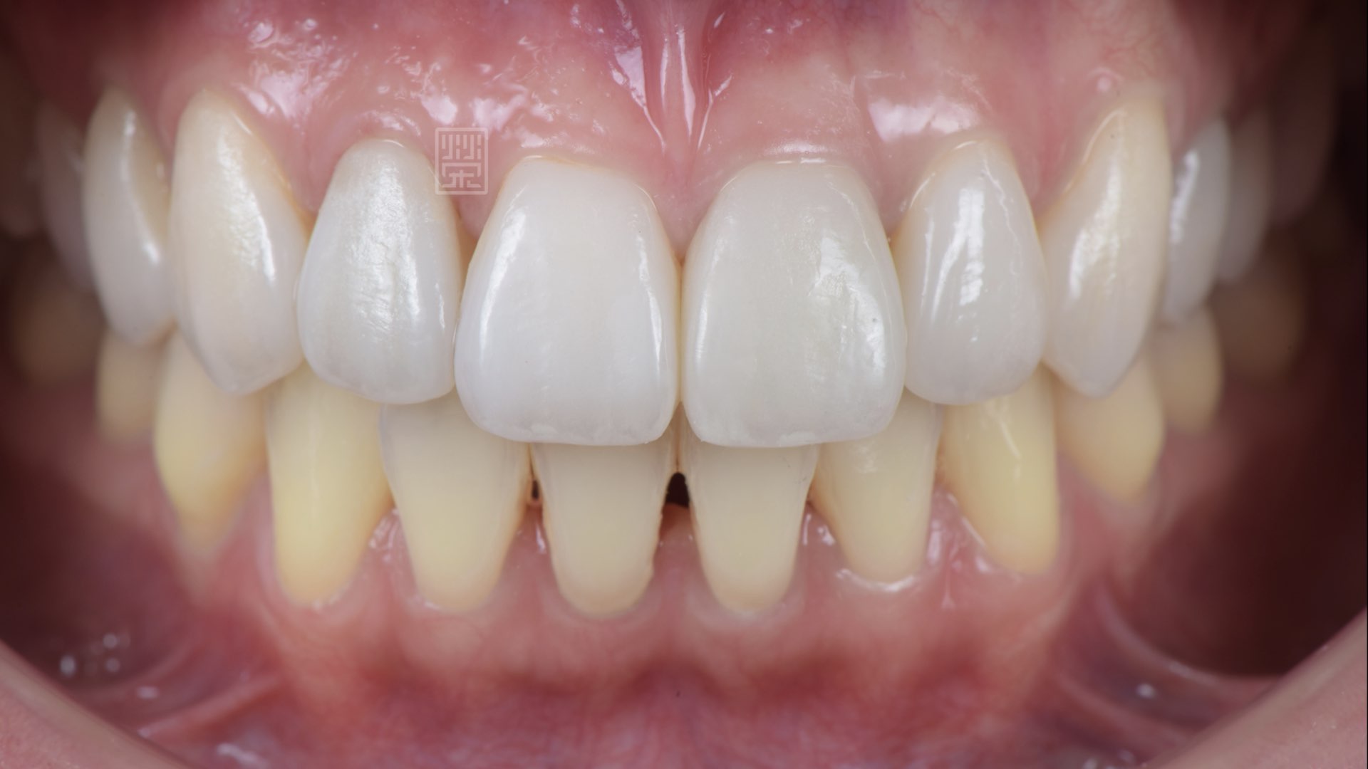
全瓷冠貼片完成

全瓷冠貼片完成

全瓷冠貼片完成

全瓷冠貼片完成

全瓷冠貼片完成