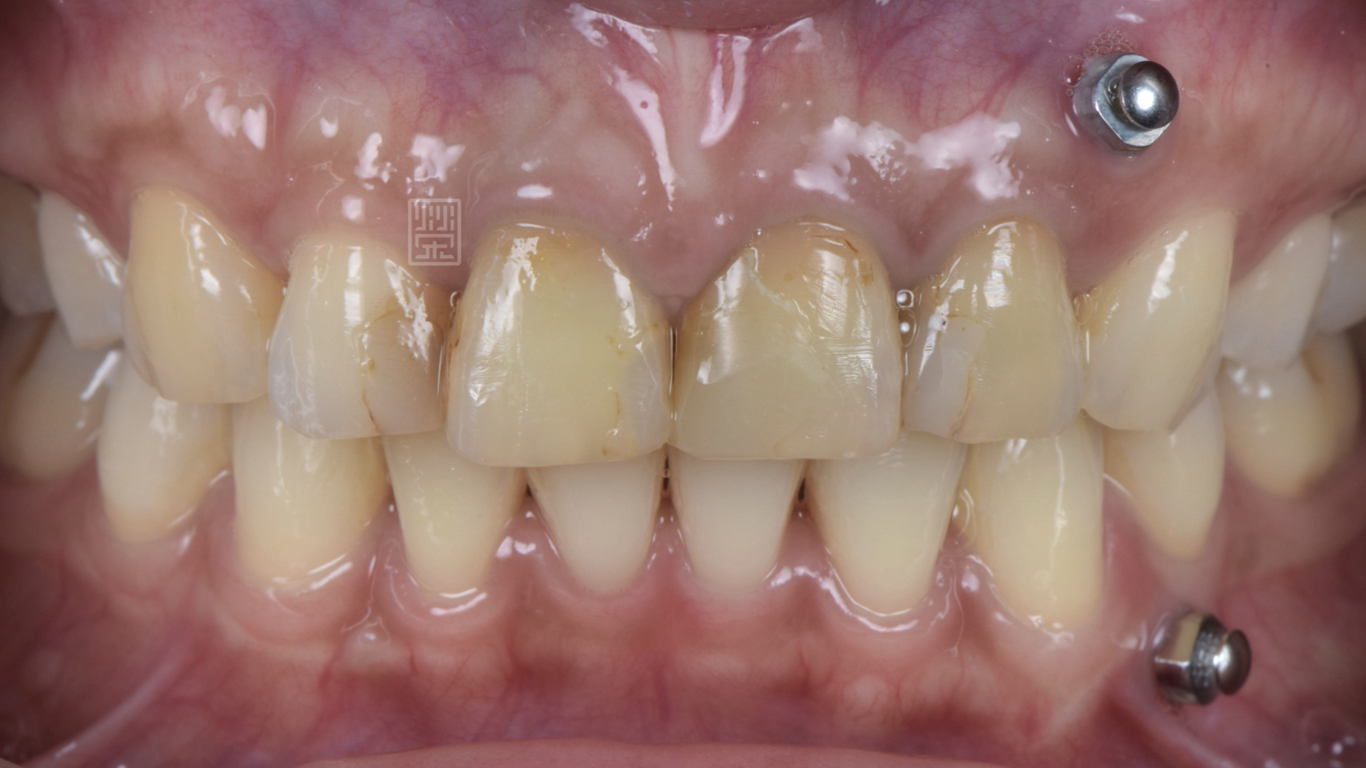
陳小姐完成矯正治療,牙齒排列整齊,但是因為根管治療後,牙齒顏色變深,想要將根管治療的牙齒用全瓷冠美白。
榮醫師診斷後,發現除了門牙因為根管治療後變色,側門牙也因為大範圍樹脂填補變色,建議以四顆門牙作為治療方向,利用數位微笑模擬,將門牙拉長一些,能夠更順著下唇線,讓門齒切端的曲線更符合微笑曲線。
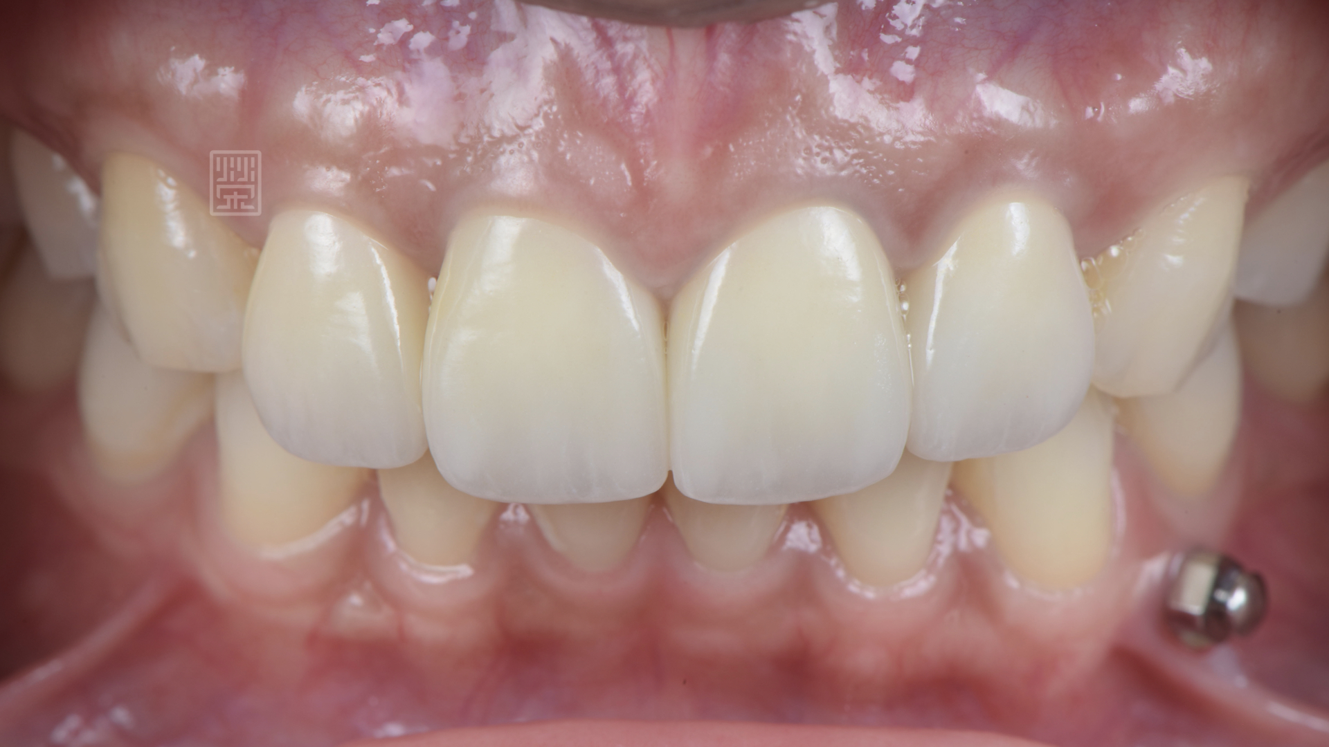
榮醫師小學堂:門牙齒列中,因為結構關係,犬齒顏色通常是最深的,所以門牙全瓷冠貼片顏色選擇上,會受犬齒顏色所限制,所以利用美白將犬齒亮白提升,可以提升整體牙齒亮白效果。
與陳小姐溝通,因為犬齒比較黃,所以門牙顏色會受限,因此先做牙齒美白,讓犬齒顏色變亮白,最後在完成全瓷冠與貼片。

根管治療與樹脂填補後,牙齒顏色偏黃

門齒長度偏短,曲線較平

數位微笑模擬,將牙齒加長,更符合微笑曲線

美白後,犬齒提升亮白顏色

全瓷冠貼片完成

微笑曲線

全瓷冠貼片完成

全瓷冠貼片完成