牙齒變色與假牙不一致、樹脂變色---全瓷冠貼片修復

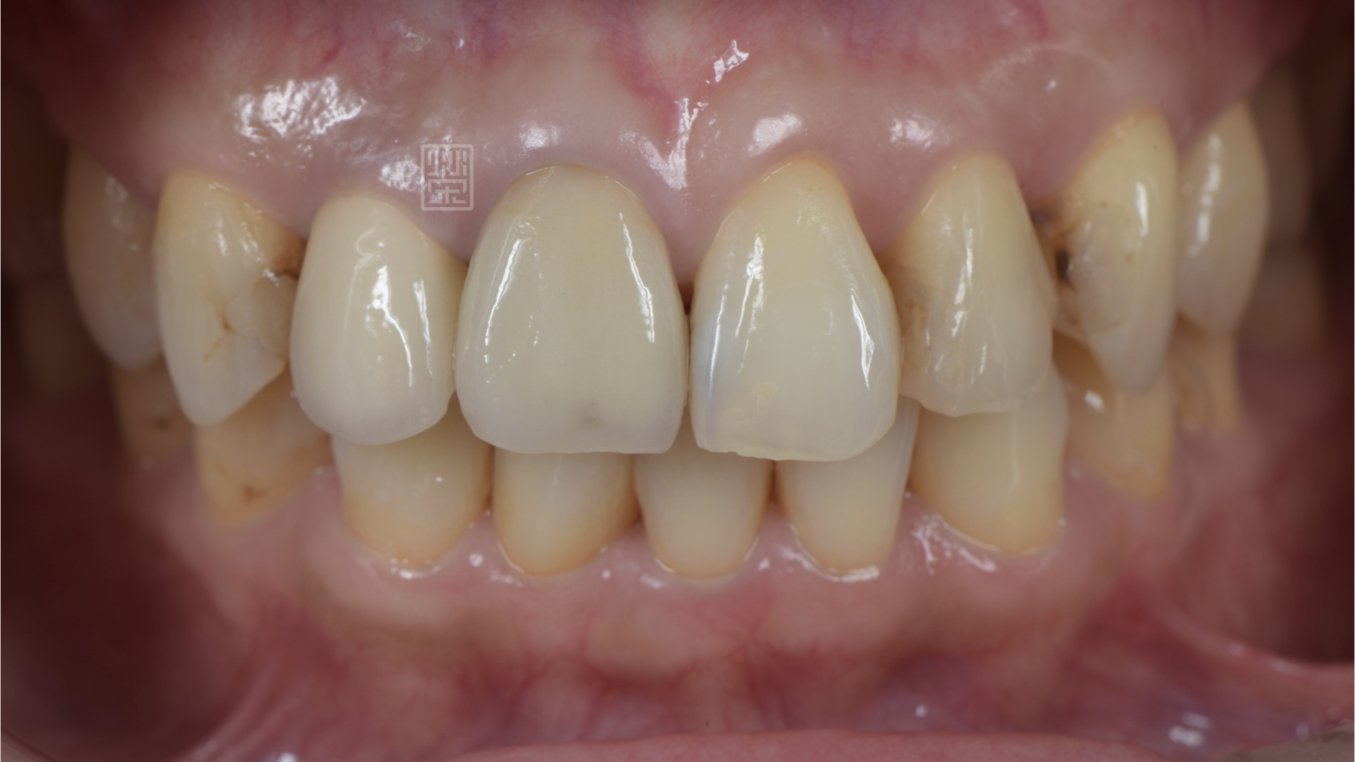
曾小姐因為填補樹脂變色、與就假牙顏色不同苦惱許久,來到榮醫師門診,檢查後預計以全瓷冠與貼片修復治療,但是將前牙蛀牙移除後,齒質受傷嚴重,為了保護牙齒結構,將牙齒改成全瓷冠。
但好的美觀前牙,一定要有穩定健康的後牙支撐,曾小姐後牙也有多處嚴重蛀牙,將小範圍用樹脂填補,大範圍用全瓷嵌體修復,恢復穩定健康的功能與美觀。
牙齒多處變色
牙齒多處變色

牙齒多處變色
牙齒多處變色

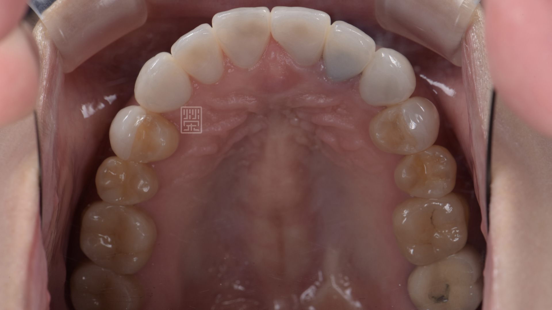
上顎後牙多處蛀牙
上顎後牙多處蛀牙

下顎後牙多處蛀牙
下顎後牙多處蛀牙

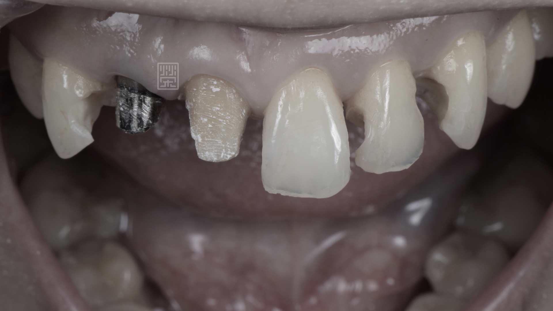
前牙蛀牙清除後齒質受損嚴重
前牙蛀牙清除後齒質受損嚴重

前牙蛀牙清除後齒質受損嚴重
前牙蛀牙清除後齒質受損嚴重



遮色全瓷冠
遮色全瓷冠

後牙全瓷嵌體修復
後牙全瓷嵌體修復

後牙全瓷嵌體修復
後牙全瓷嵌體修復

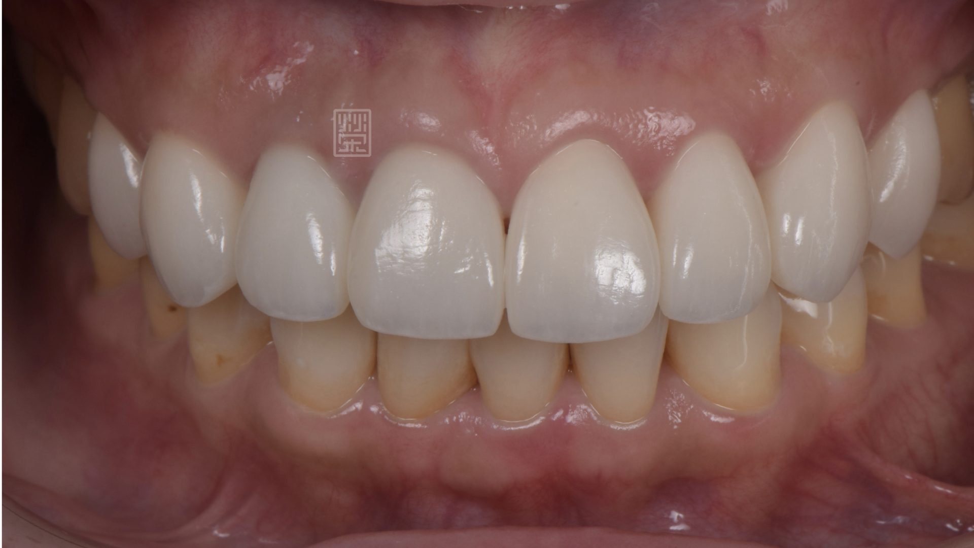
全瓷冠完成
全瓷冠完成

全瓷冠完成
全瓷冠完成

全瓷冠與後牙嵌體完成
全瓷冠與後牙嵌體完成

全瓷冠與後牙嵌體完成
全瓷冠與後牙嵌體完成

網站照片 II.018
網站照片 II.018

黑牙根遮色
黑牙根遮色