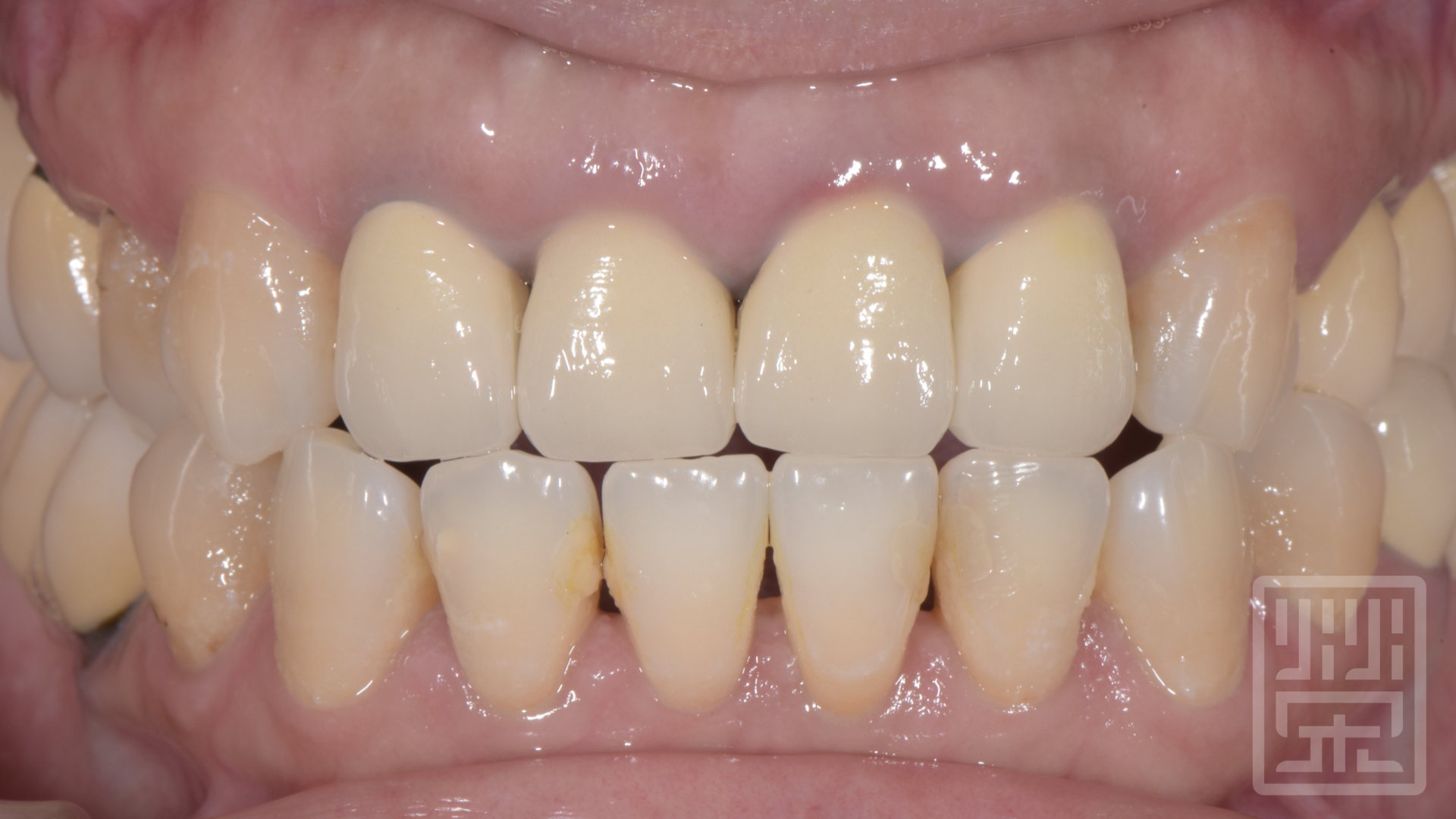
李小姐對於就假牙的型態很不滿意,包含牙齒形狀、顏色、排列等,導致他都不敢大笑。
對於前牙美學笑容,榮醫師還是會數位微笑模擬與患者溝通,對於長度、弧度、排列有明確的方向可以參考,確定方向後,再溝通全瓷冠貼片白亮透明度與顏色,最後能讓李小姐可以開心的大笑。

牙齒笑起來平平的,顏色黃

牙齒笑起來平平的,顏色黃

牙冠邊緣變色,牙齒黑三角縫

利用數位微笑模擬,將牙齒長度調整,符合微笑曲線

利用數位微笑模擬,將牙齒長度調整,符合微笑曲線

全瓷冠與貼片完成

全瓷冠與貼片完成

全瓷冠與貼片完成

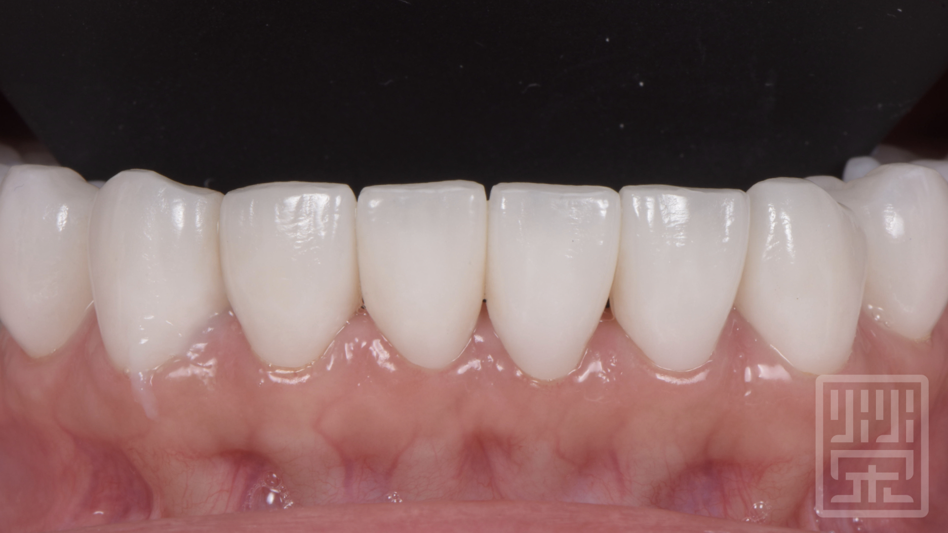
符合微笑曲線的全瓷冠排列

曲線的全瓷冠排列