吳小姐覺得笑起來門牙像哭臉且暴暴的,想要藉由矯正與全瓷冠改善這個問題。
榮醫師檢查後,發現舊假牙有幾個問題:
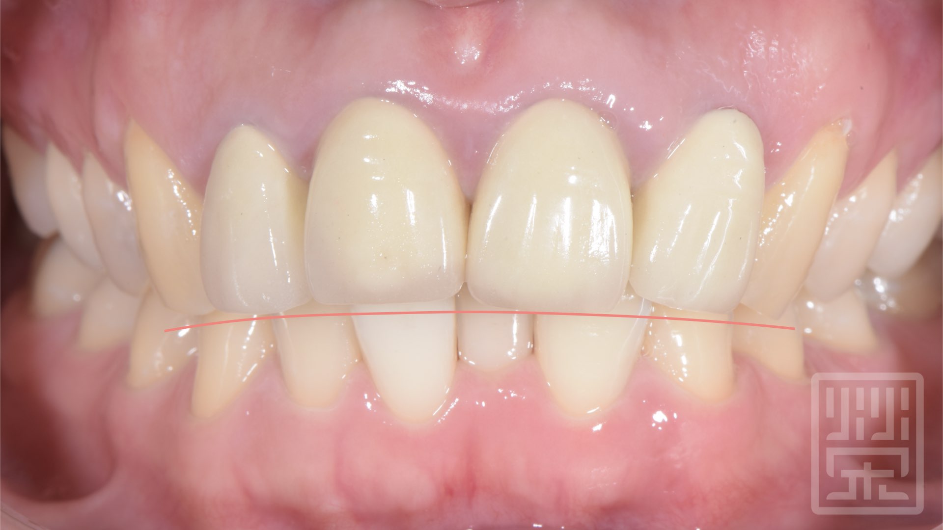
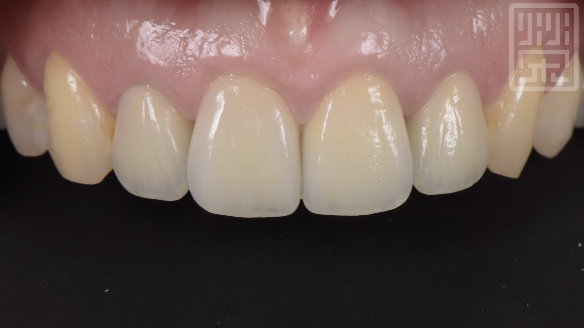
1.牙齒呈現倒凹的『反微笑曲線』
2.牙齒比例不佳
3.牙冠太厚
過去常常藉由全冠來改善牙齒不整齊、牙齒暴的狀況,但是礙於咬合的狀況,常常會產生反微笑曲線、清潔不易、牙齒比例不正確的狀況。
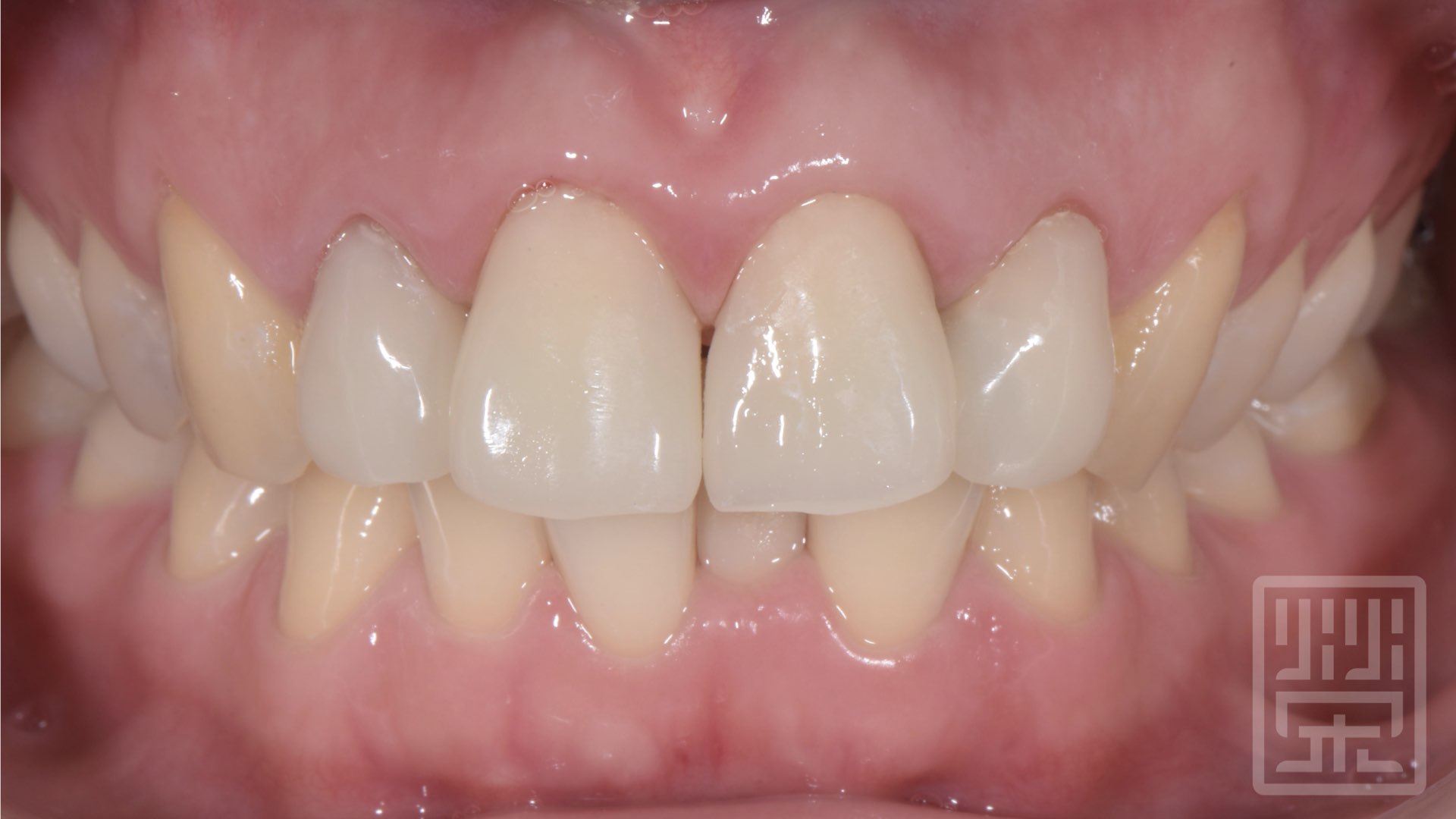
因此,在矯正之前,榮醫師會需要把舊假牙換成臨時牙冠,並且藉由牙根走向與舊照片紀錄,『猜測』原本牙齒的型態與排列。
再將結果交給矯正醫師,這樣有助於矯正醫師給予牙冠與牙根正確的力量,加速將牙齒排列到正適當的位置。
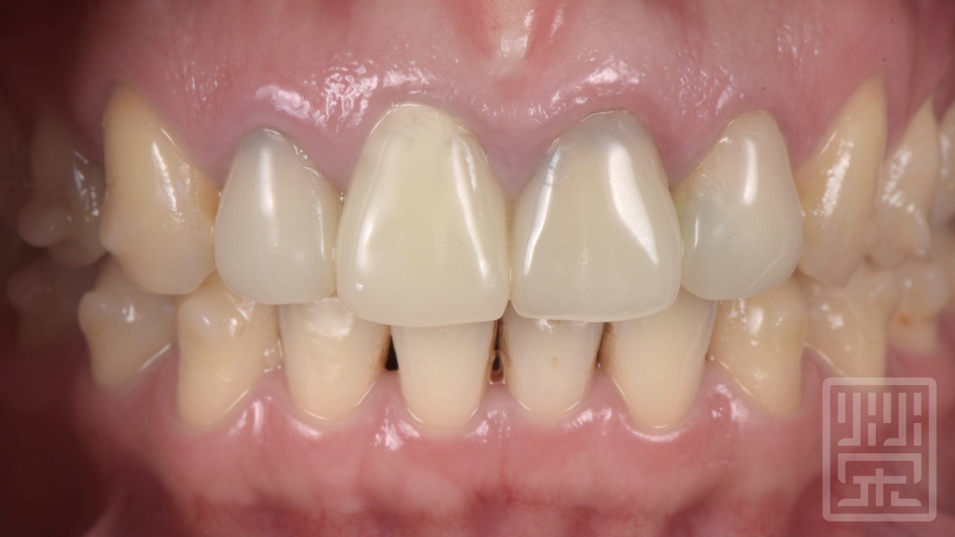
等到矯正結束後,就如同排列整齊的牙齒,只需要將臨時牙冠更換成全瓷冠就大功告成了。

牙齒呈現反微笑曲線,呈現倒凹狀

牙齒呈現反微笑曲線,呈現倒凹狀

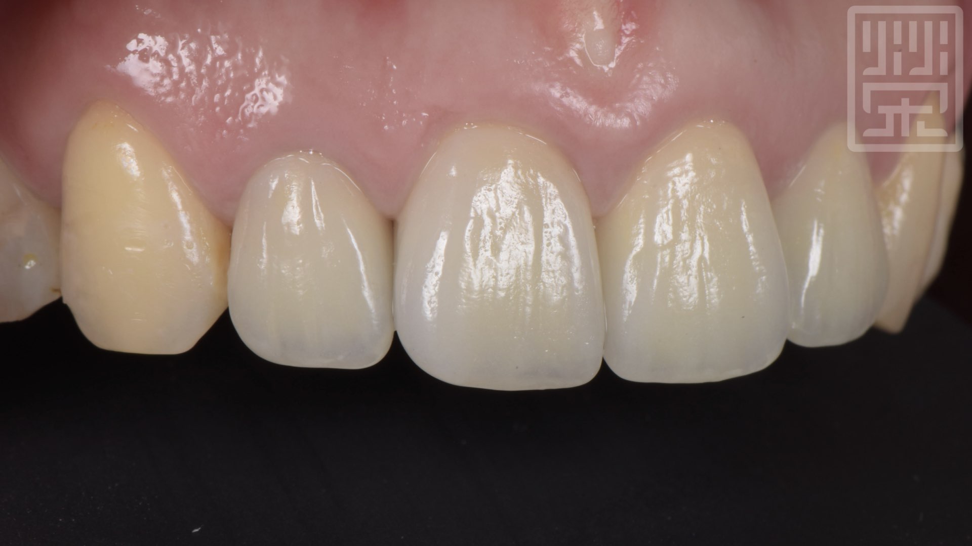
更換臨時假牙,並且模擬原先牙齒型態

更換臨時假牙,並且模擬原先牙齒型態

更換臨時假牙,並且模擬原先牙齒型態

矯正結束後將牙齒排列至適當位置

矯正後已經完成適當的微笑曲線

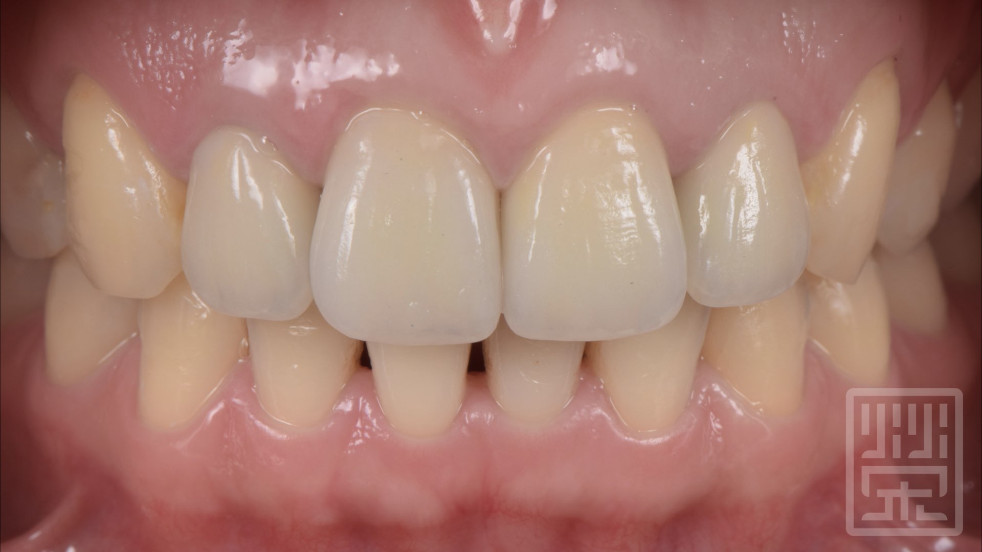
全瓷冠完成

全瓷冠完成

全瓷冠完成

全瓷冠完成

全瓷冠與微笑曲線完成