林小姐矯正後發現舊門牙假牙與貼片顏色相差很大,型態比例也不美觀,榮醫師檢查後發現,是全瓷貼片與瓷貼附金屬冠因為材質不同,光線反射下產生不同的透射,造成兩者有明顯的差異。
檢查牙齒後,牙髓都是健康的狀態,只需要控制好全瓷冠與貼片的空間,設計適當的長度與型態,重新製作全瓷冠與貼片,就大功告成囉。

門牙顏色不同

門牙顏色不同

門牙顏色不同

門牙偏小、長度不一樣

隔濕下黏著

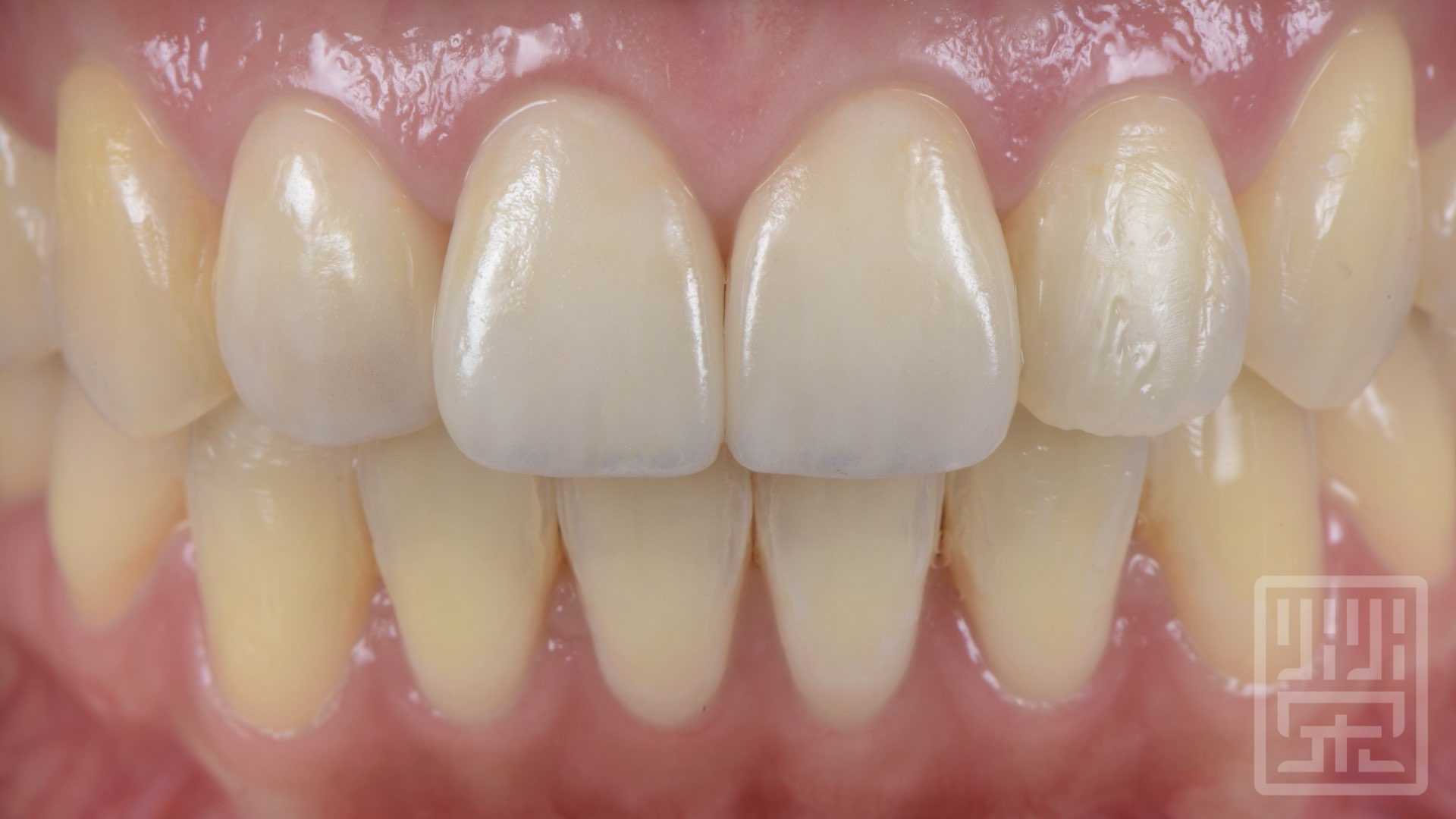
全瓷冠貼片完成

全瓷冠貼片完成

全瓷冠貼片完成

全瓷冠貼片完成
林小姐矯正後發現舊門牙假牙與貼片顏色相差很大,型態比例也不美觀,榮醫師檢查後發現,是全瓷貼片與瓷貼附金屬冠因為材質不同,光線反射下產生不同的透射,造成兩者有明顯的差異。
檢查牙齒後,牙髓都是健康的狀態,只需要控制好全瓷冠與貼片的空間,設計適當的長度與型態,重新製作全瓷冠與貼片,就大功告成囉。








