吳小姐來診時,正在矯正中,因為牙齒大小關係,矯正醫師建議用門牙貼片調整,評估後分析空間大小,請吳小姐轉交矯正醫師,將空間留給榮醫師處理;約莫一年後,吳小姐回診,針對門牙空間矯正醫師先用樹脂維持著空間。
榮醫師診察後,決定先針對側門牙空間用樹脂修復,讓吳小姐看一下型態是否滿意,吳小姐看完結果,覺得門牙稍微小一些,所以在正式貼片設計上讓門牙再明顯一些,搭配電腦設計模擬,給吳小姐滿意的美容微笑貼片。

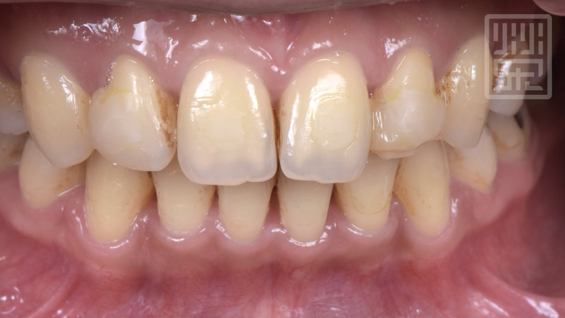
牙齒偏小,齒縫不適合關起來

矯正後把牙縫用樹脂固定住

矯正後把牙縫用樹脂固定住

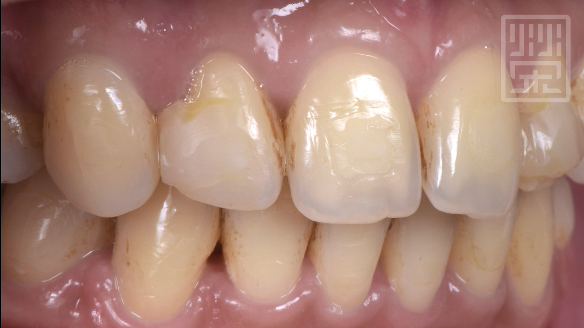
用樹脂改變牙齒型態

用樹脂改變牙齒型態

數位設計牙齒與臉型搭配

數位設計牙齒

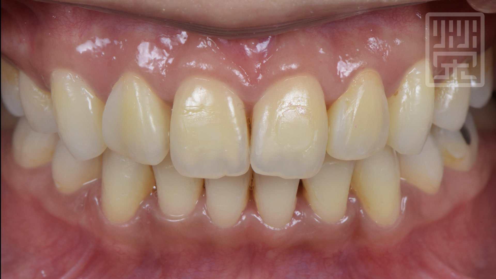
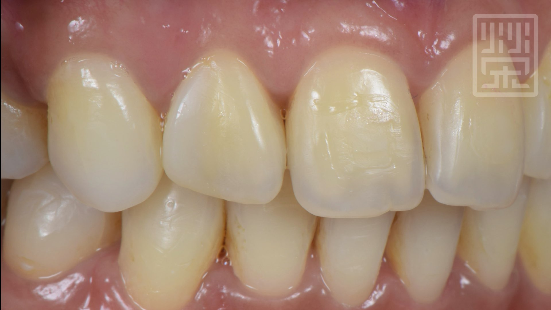
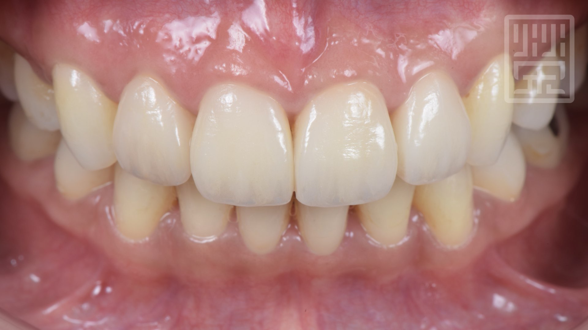
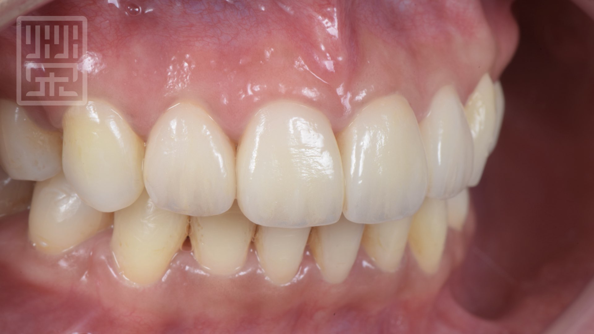
全瓷貼片全瓷冠完成

全瓷貼片全瓷冠完成

全瓷貼片全瓷冠完成