高小姐一直覺得多年前的假牙,看起來有點『呆呆的』,加上長期下來舊瓷冠邊緣有些變色,來榮醫師門診評估。
診斷後發現,主要是牙齦萎縮與牙根變色,加上門牙的長度不適合,所以讓整體笑容感覺沒精神。
與高小姐討論後,榮醫師建議將門齒長度增加,讓門牙切端的弧形連線與下唇弧形線平行,也就是我們常說的微笑曲線,搭配和諧的顏色,讓高小姐的笑容充滿精神。

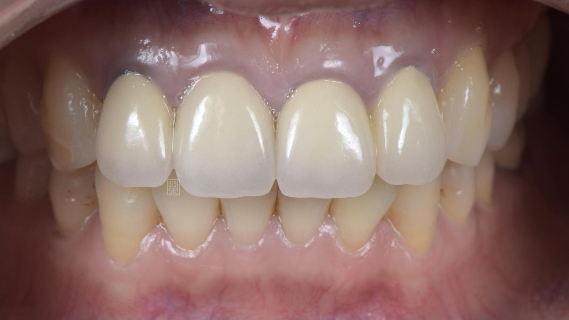
全瓷冠邊緣變色

四顆門牙切端太平,曲度不足

藉由數位微笑模擬,實際型態與高小姐溝通

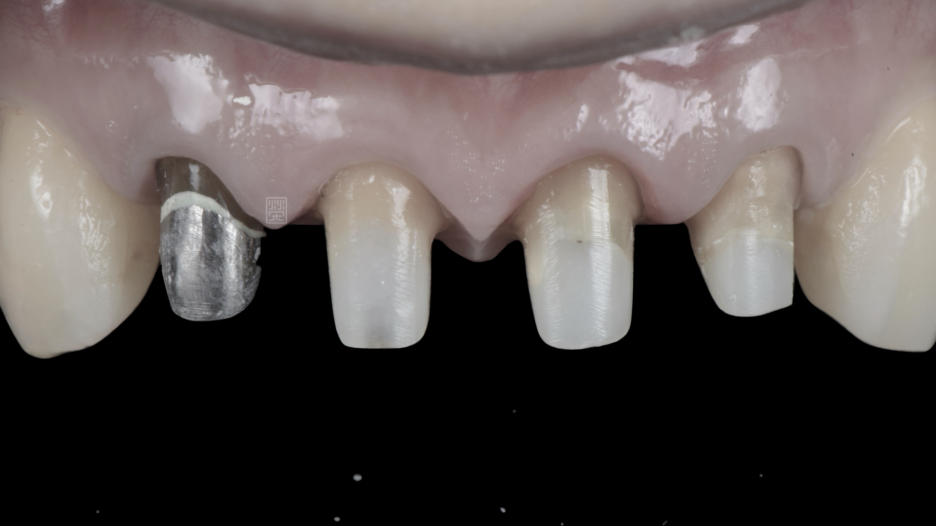
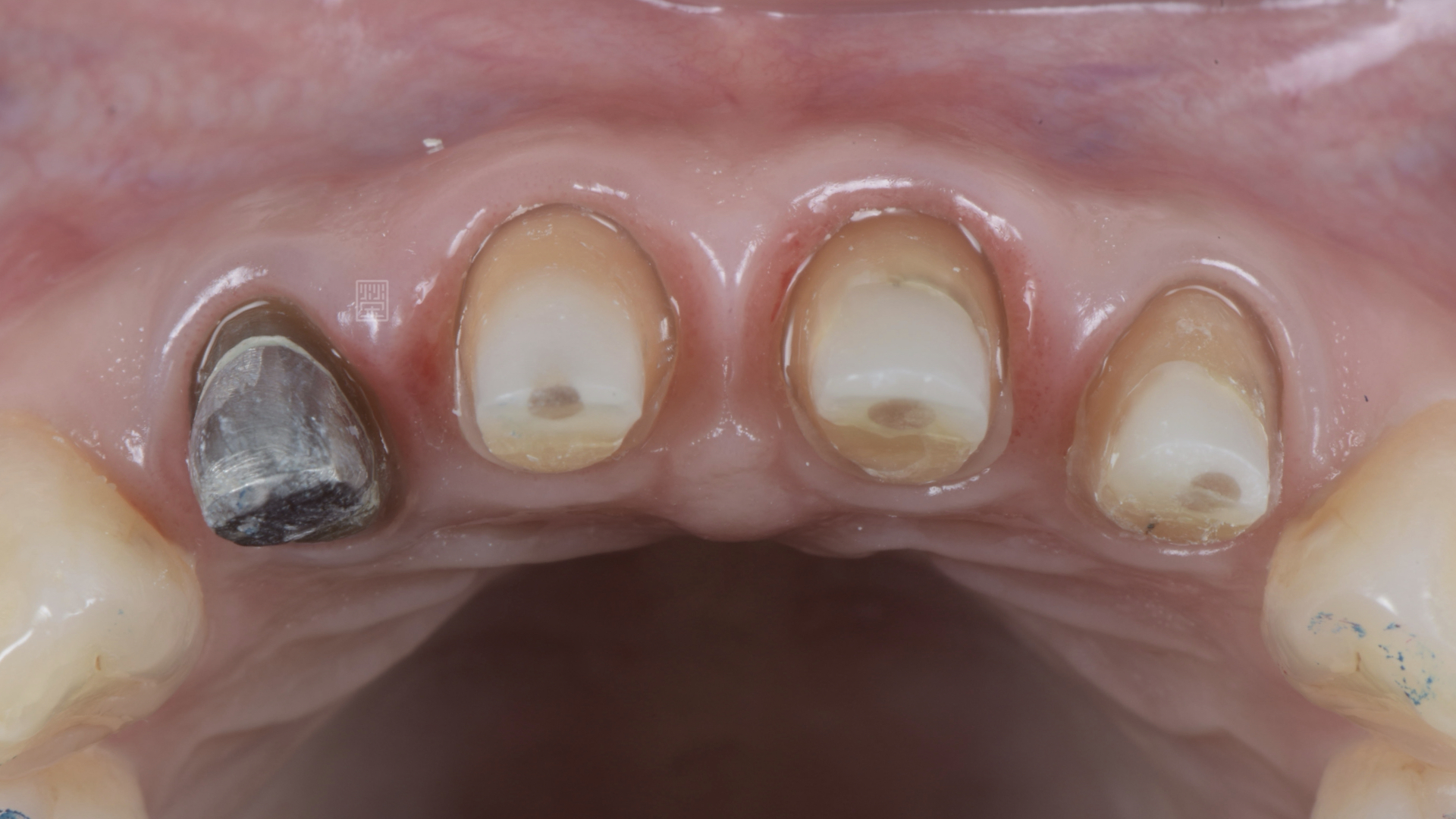
把邊緣放到牙齦下減少黑邊的產生

把邊緣放到牙齦下減少黑邊的產生

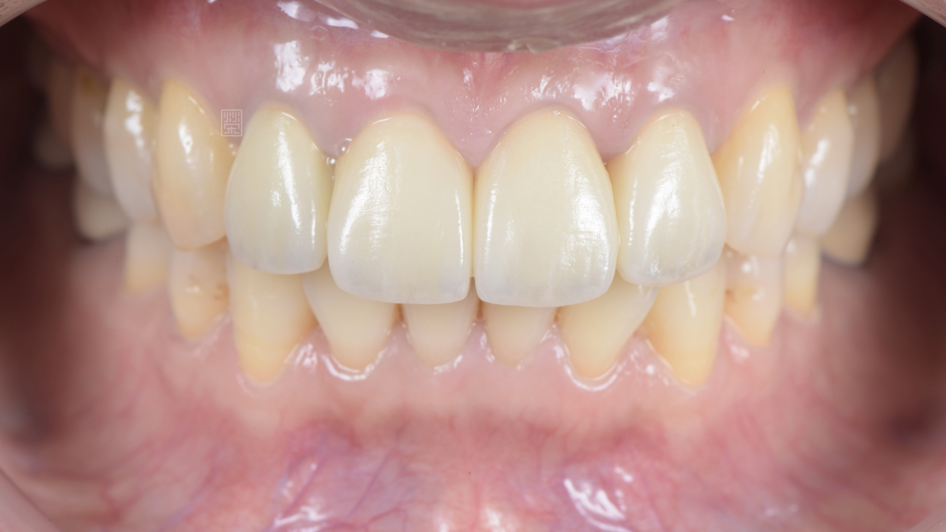
門牙全瓷冠完成

和諧燦爛的笑容

和諧燦爛的笑容