榮醫師檢查後,主要發現有幾個問題:
1.舊假牙邊緣變黑的。
2.門牙比例太短。
3.門牙齒色不和諧。
4.牙齦透出變色黑牙根來。
所以榮醫師給的治療計畫是,牙齦修整,將牙根變色處理,全瓷冠邊緣放到比較深的位置遮蓋住黑牙根,但意外總是會發生,因為右側側門牙牙齒缺損部分太深,導致牙齒變得較長,榮醫師利用假牙型態的調整,讓牙齦順著外型回彈生長,加上門牙的牙冠增長,讓整體態、長度、顏色達到一個和諧的狀況。

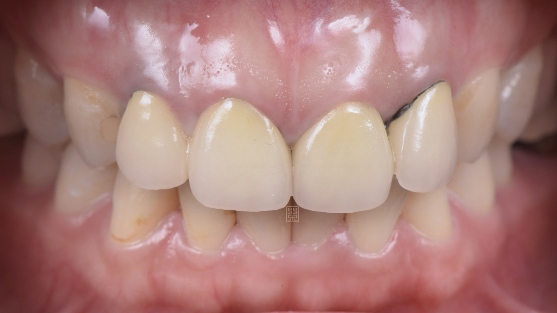
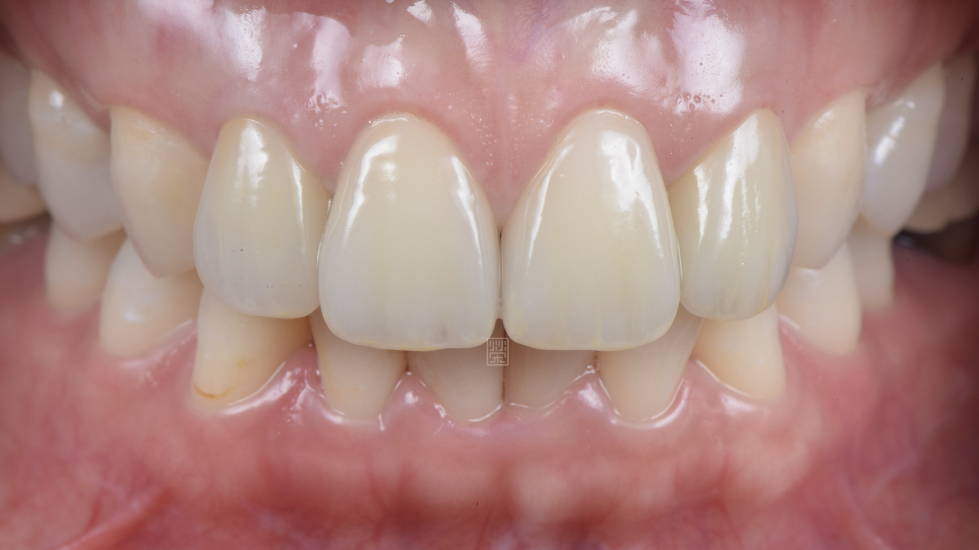
門牙偏短、假牙與牙齦露出黑色暗影

門牙偏短、假牙與牙齦露出黑色暗影

現有門牙比例是90%,依照患者的外型身高建議調整至75%

右側側門牙牙齦變黑,左側側門牙假牙邊緣變黑

右側側門牙根黑影透出牙齦

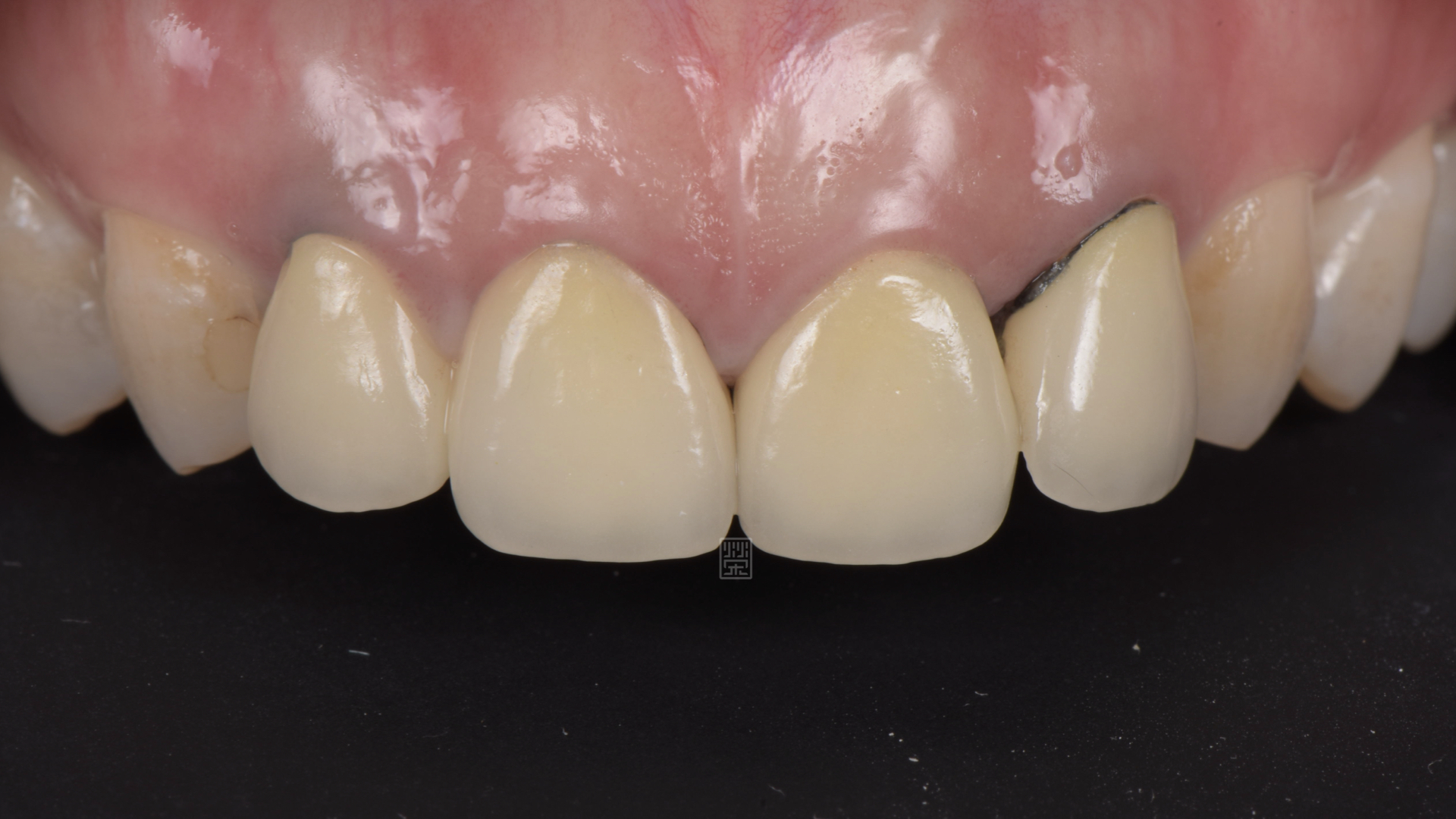
清除完舊牙冠發現右側側門牙齲齒過身造成牙齒偏長

清除完舊牙冠發現右側側門牙齲齒過身造成牙齒偏長

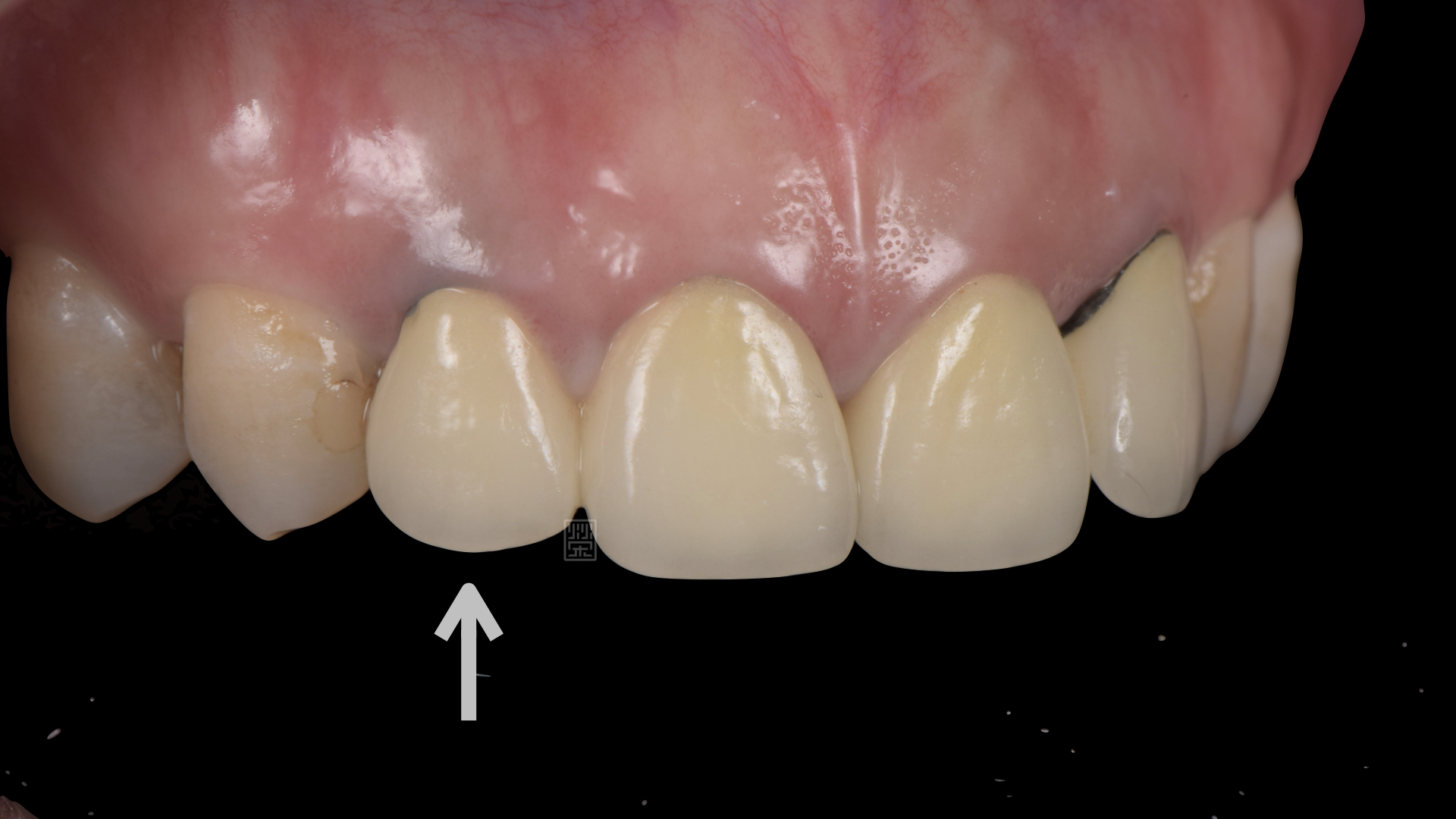
將臨時假牙調整並且門牙牙冠增長,讓整體和諧

門牙拉長後整體比例較佳

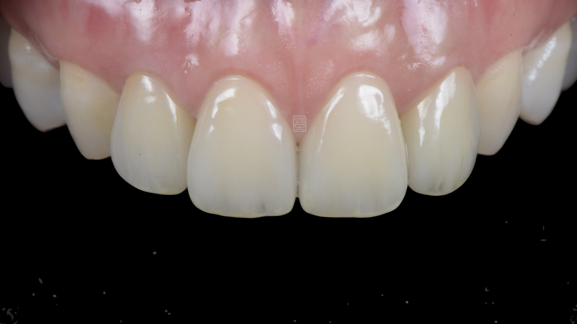
術前牙齦變黑,將全瓷冠邊緣深埋牙齦,將變色部分遮蓋

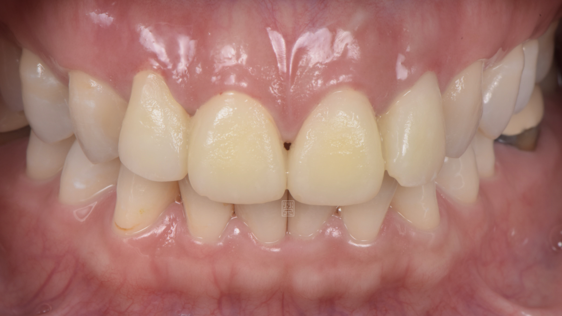
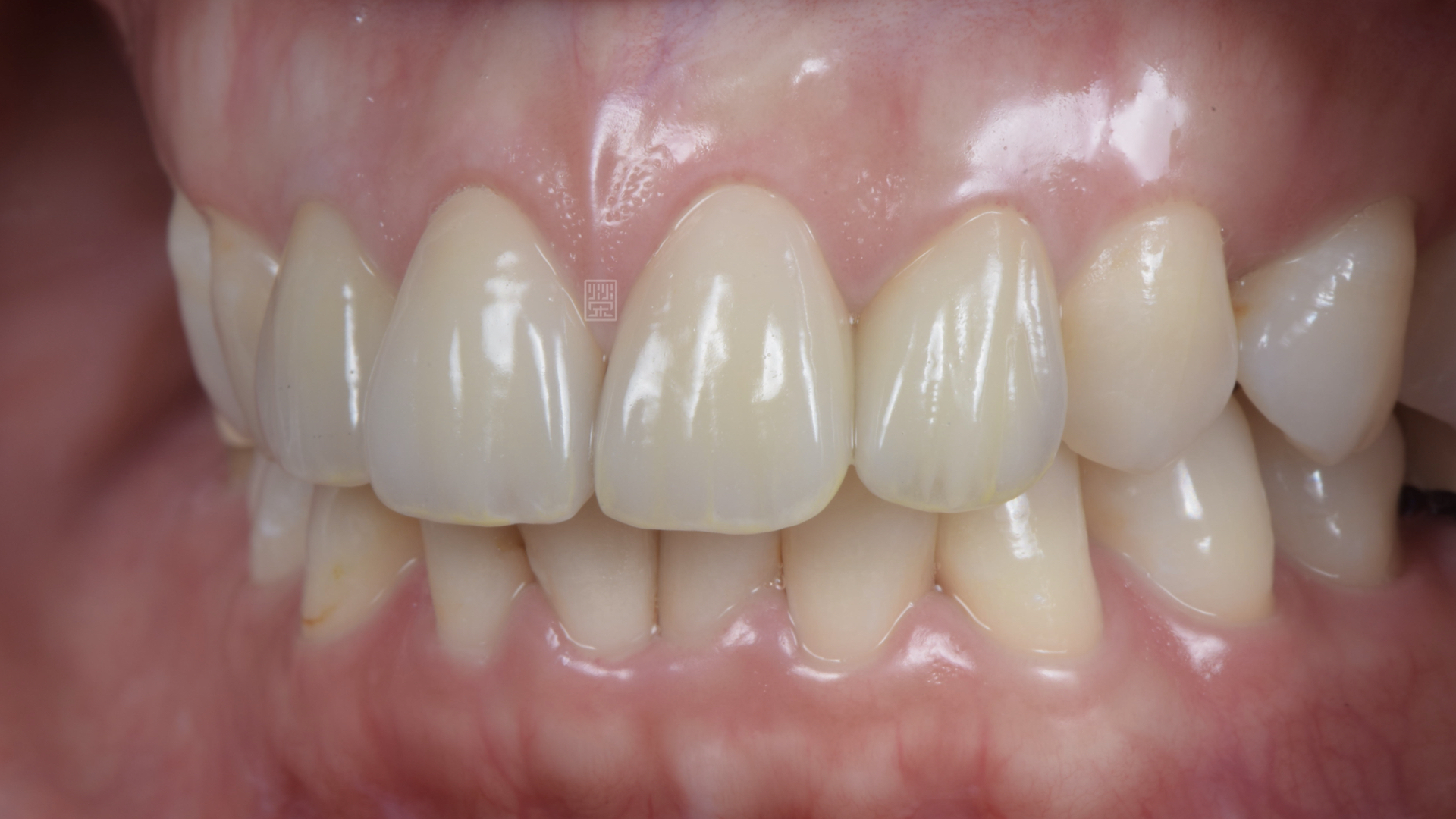
術後整體顏色、型態、位置和諧美麗

術後整體顏色、型態、位置和諧美麗

術後整體顏色、型態、位置和諧美麗

術後整體顏色、型態、位置和諧美麗