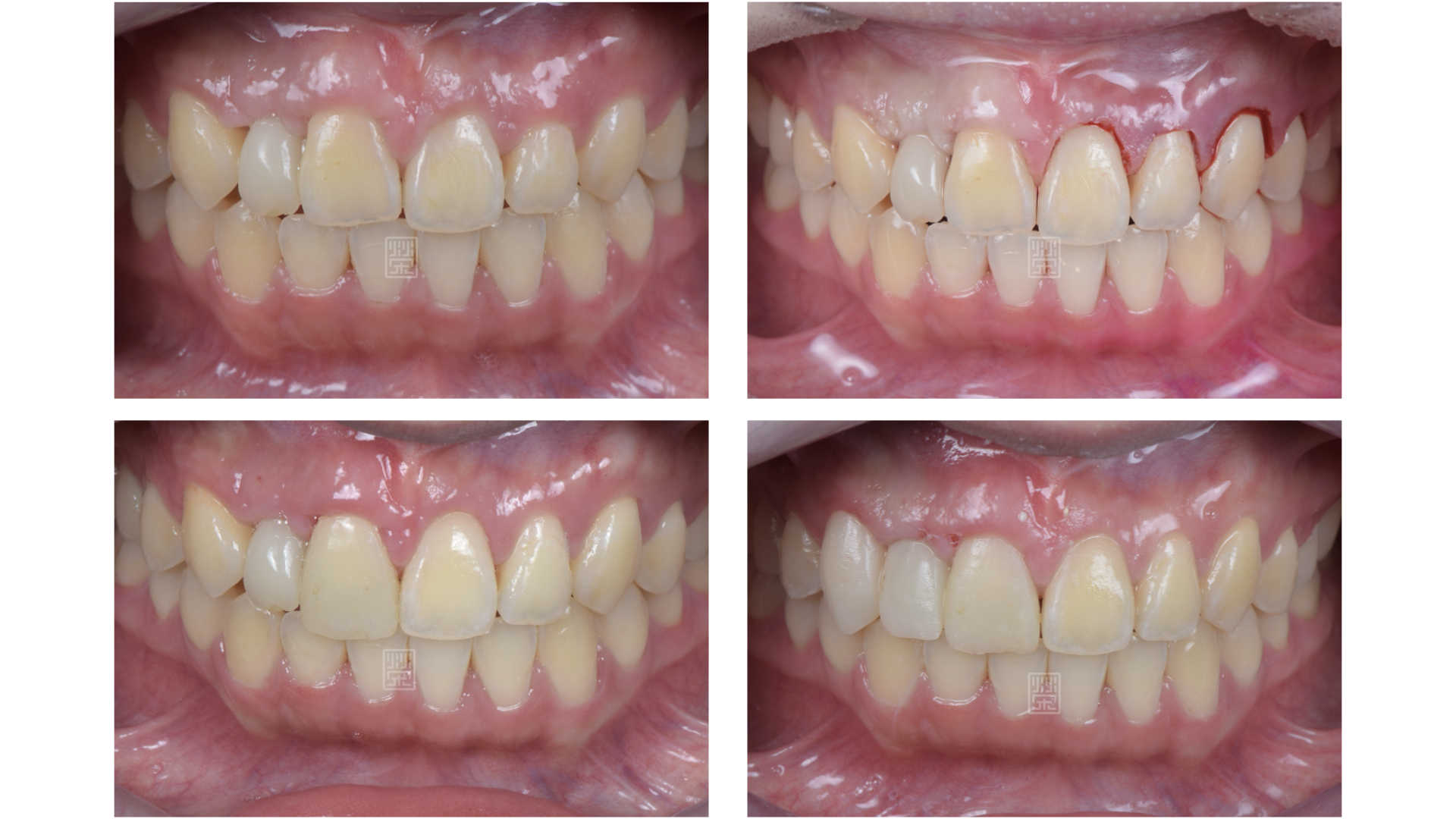
姚小姐在國中時因為車禍外傷,造成右側門牙位置撞偏,右側側門牙撞飛,之前也想過處理,諮詢過許多醫師,不是覺得太複雜,就是建議直接牙齒拔除都用植牙來處理。
後來找到榮醫師配合的矯正張馨文醫師與口腔外科吳禕凡醫師,決定配合矯正、手術、贋復(假牙)一起幫他改善。
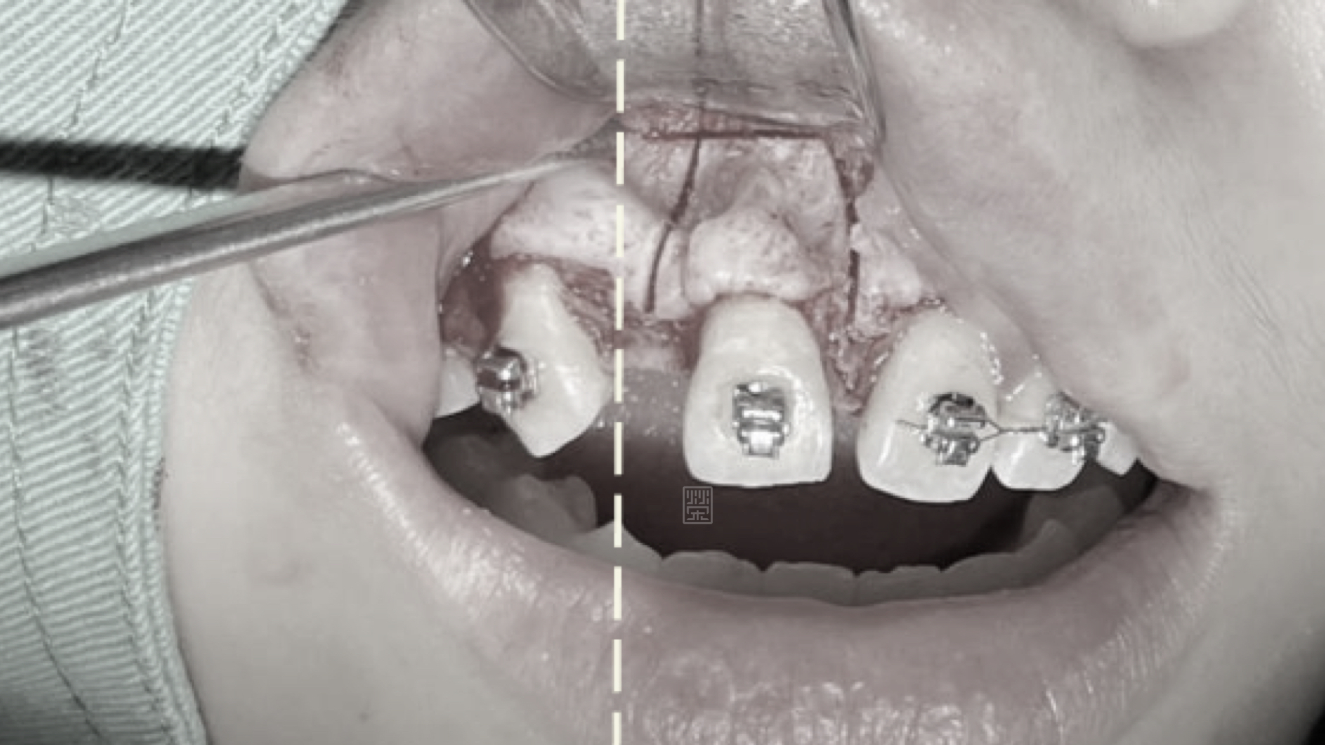
首先張馨文醫師先將牙齒重新排列,但是在門牙的部分因為先前外傷關係,牙齒發生沾黏的狀況,牙齒移動度很小,吳禕凡醫師藉由皮質骨手術加上術後立即施力,將門牙拉至中央位置,並且給側門牙植牙適當空間。
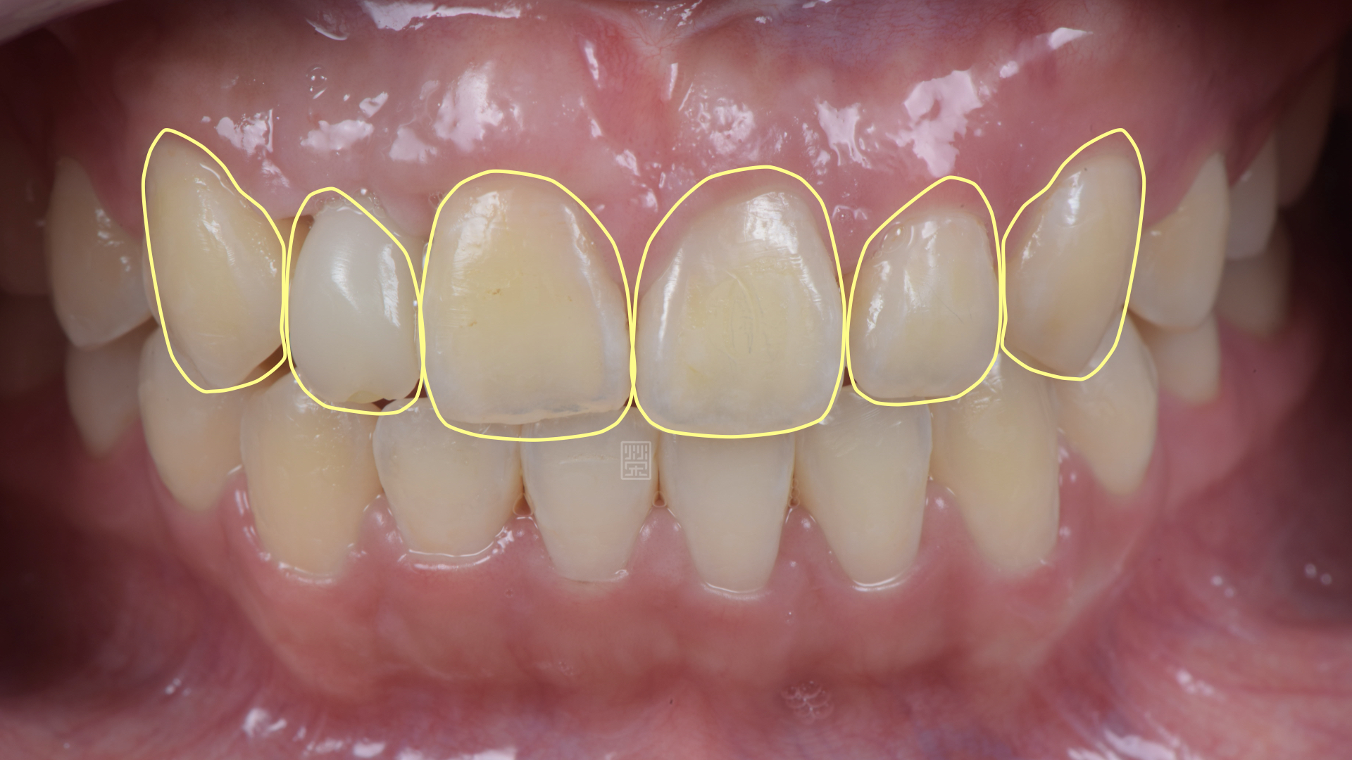
由於門牙本身偏短,藉由微笑分析,決定由牙冠增長術與改變牙齒長度讓門牙達到更好的比例與對稱性,加上側門牙植牙牙齦的調整,並且將右側犬齒用全瓷冠恢復犬齒導引,達到保護性咬合,對未來咬合性穩定性更有幫助。

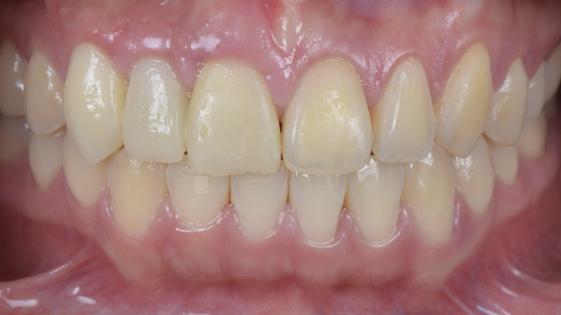
全瓷冠位置、牙齦線位置評估

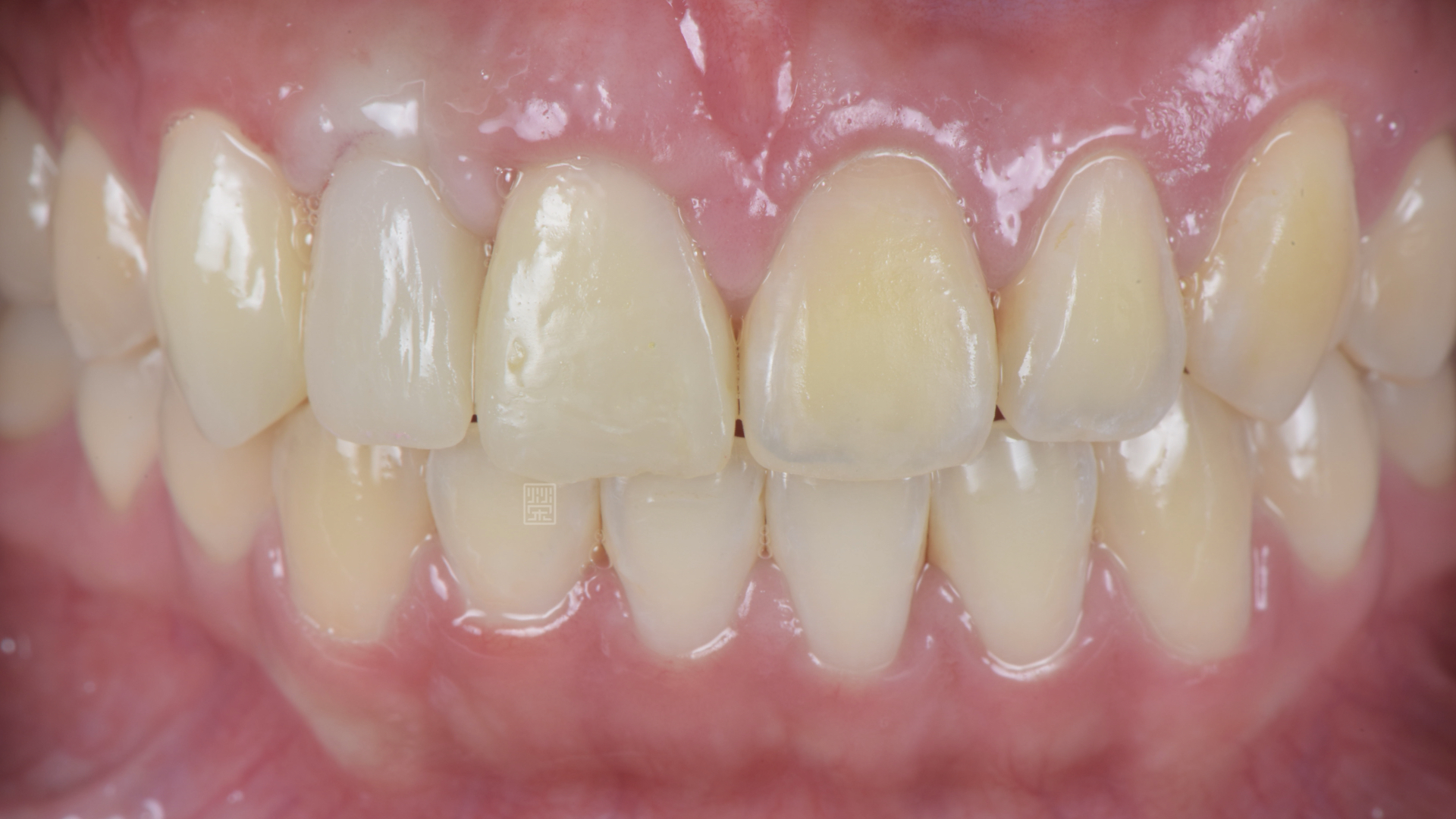
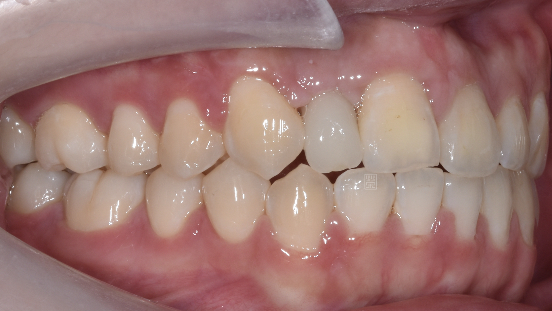
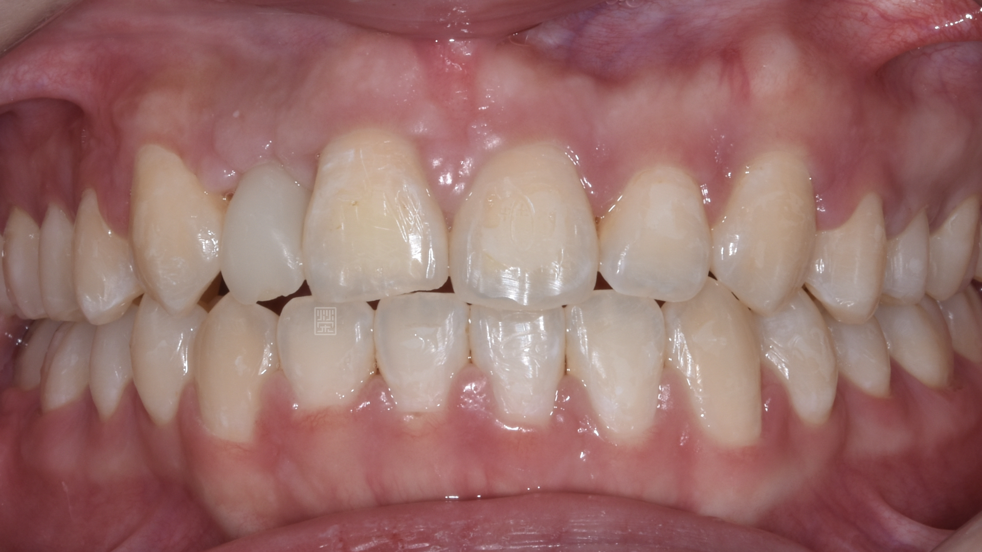
全瓷冠、植牙全瓷冠完成

全瓷冠、植牙全瓷冠完成

全瓷冠、植牙全瓷冠完成

全瓷冠、植牙全瓷冠完成

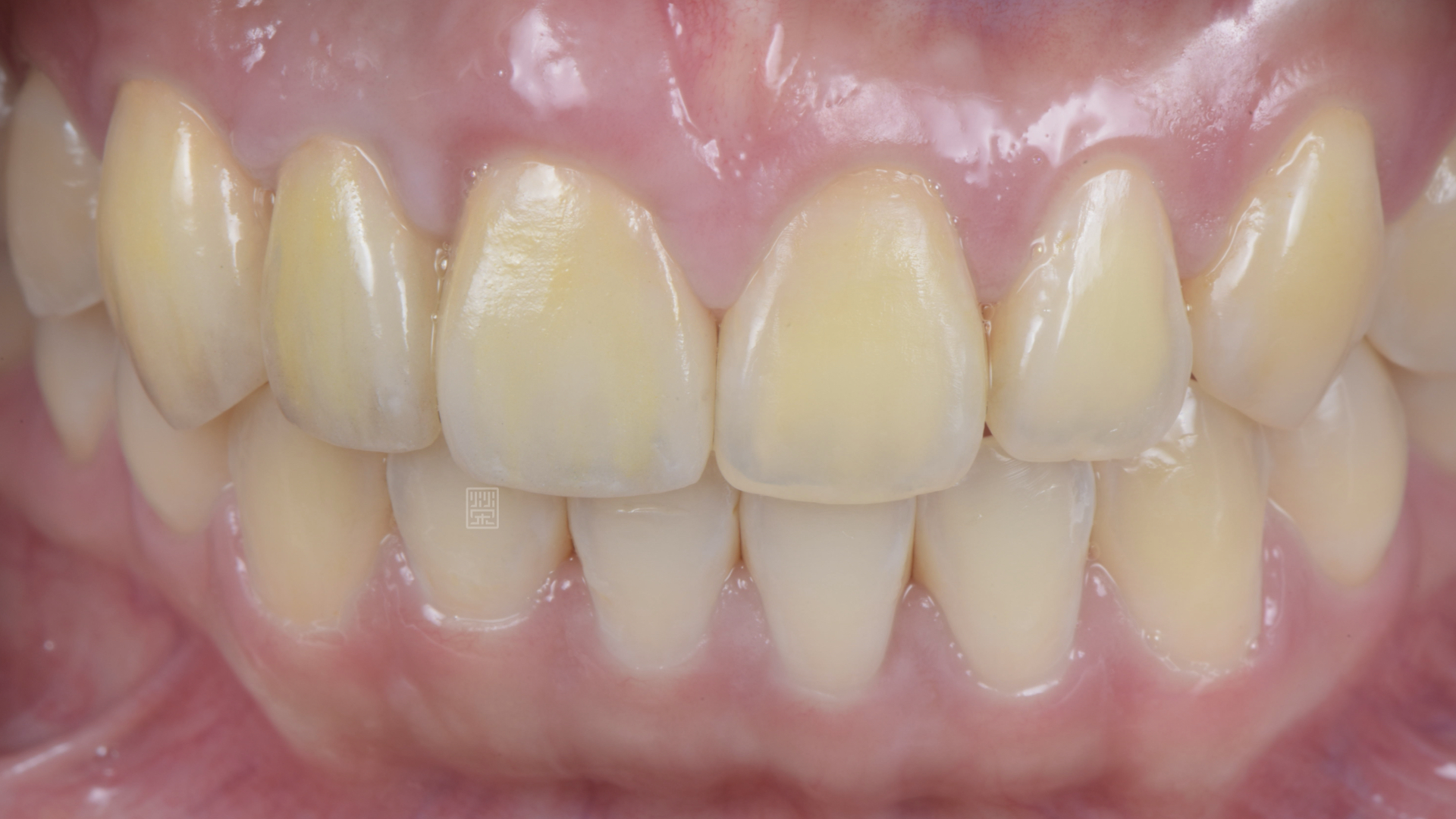
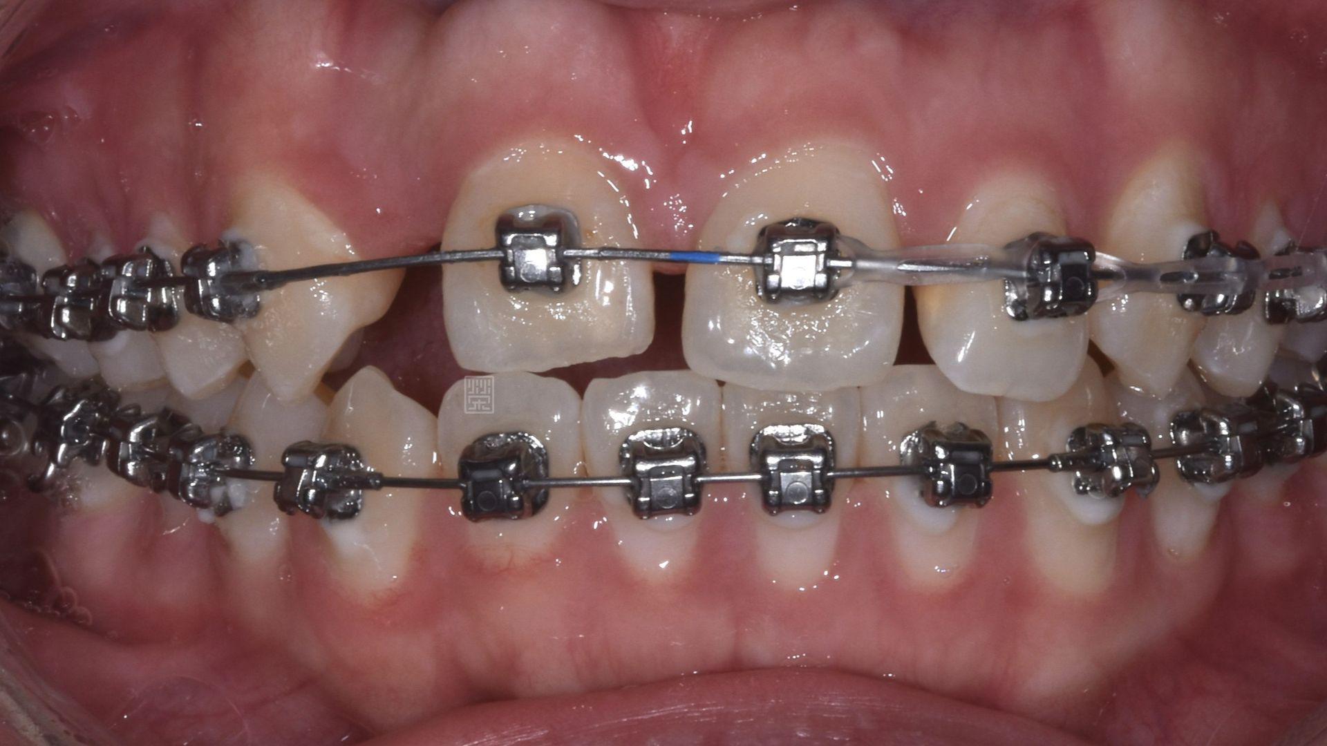
臨時牙冠穩定

植牙牙齦調整

植牙牙齦調整

牙齦調整、臨時牙冠調整

全瓷冠位置、牙齦線位置評估

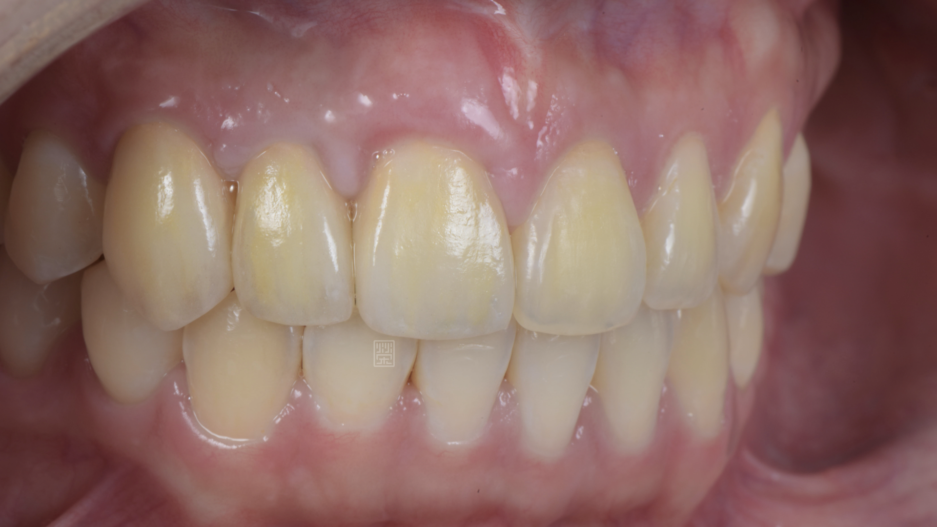
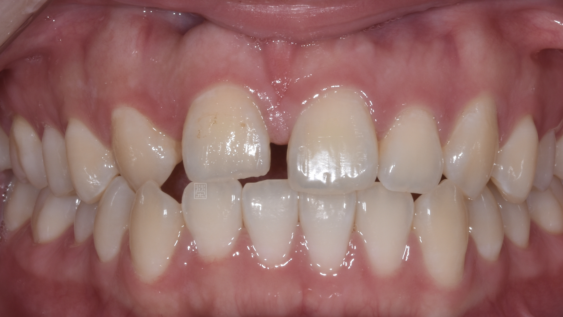
治療前牙齒因車禍有縫且缺牙

側門牙牙齒植牙

側門牙牙齒植牙

矯正移出側門牙空間

矯正移出側門牙空間

皮質骨切開手術增加牙齒移動

矯正時因牙齒沾黏骨頭無法移動

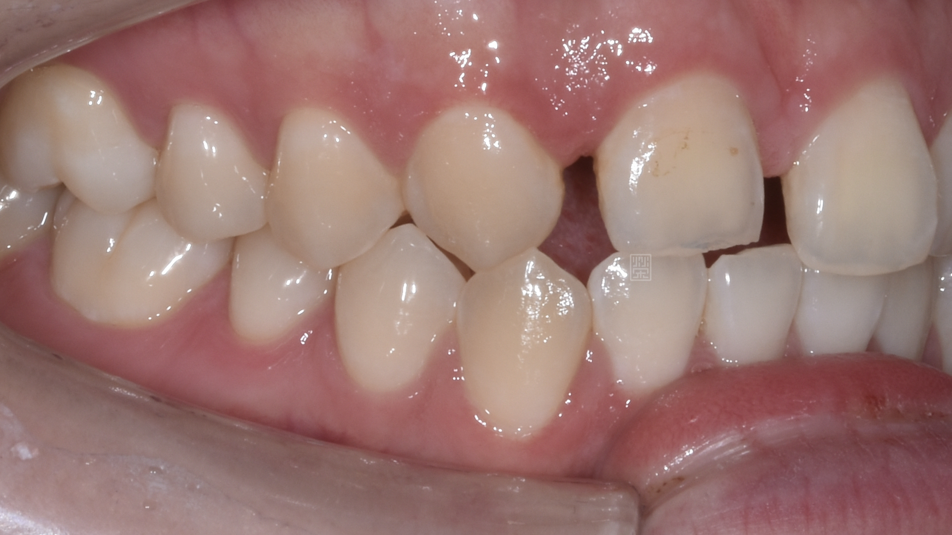
長期缺牙側門牙空間不足

治療前牙齒因車禍有縫且缺牙