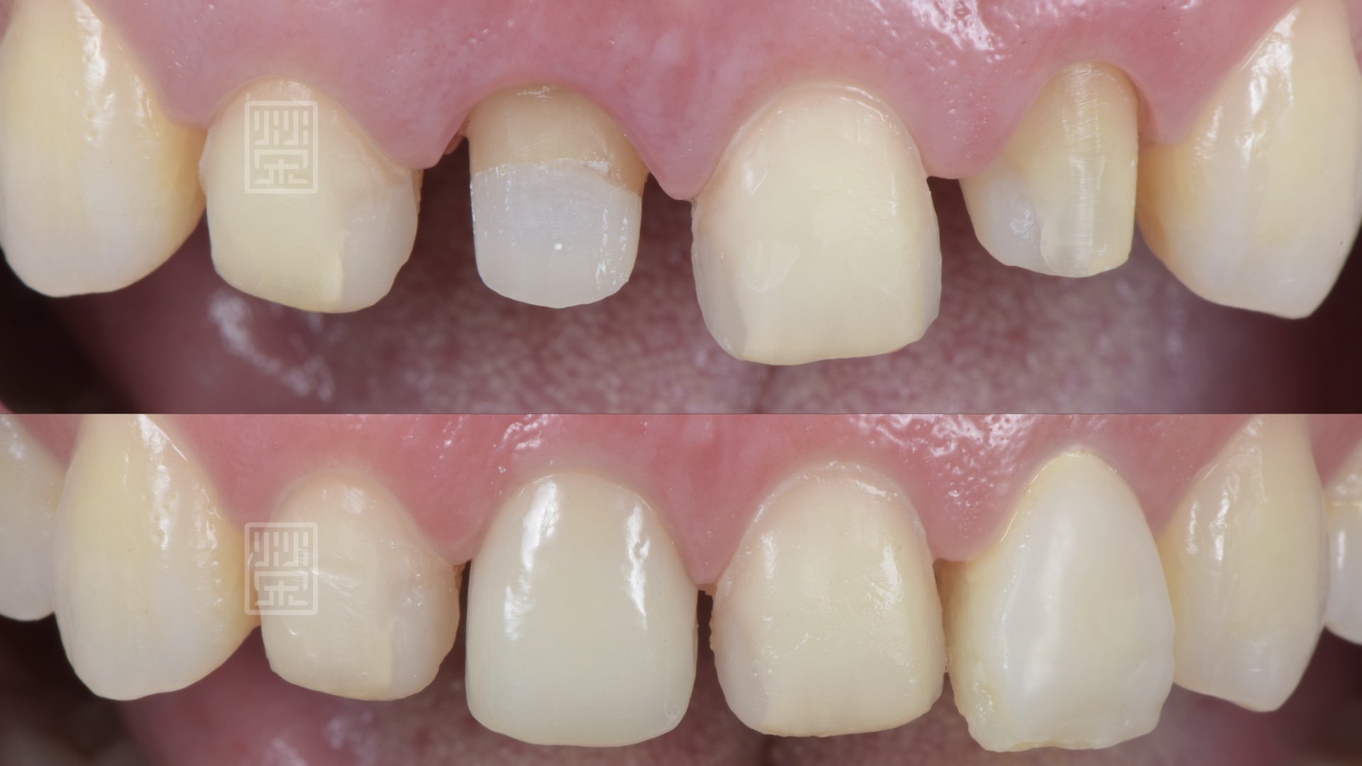
黃小姐矯正後,因為以前的舊假牙覺得不美觀,來榮醫師診間諮詢。
檢查完後,發現幾個問題:
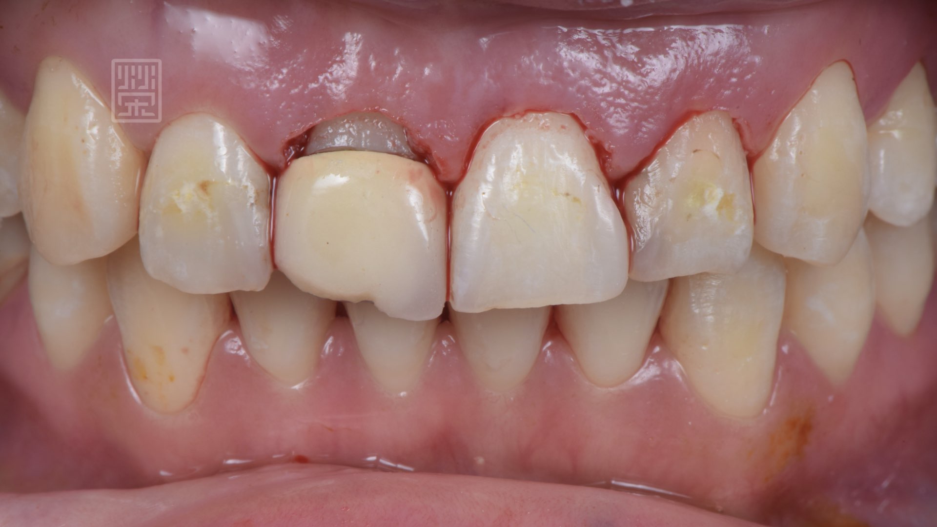
1.舊牙冠顏色不和諧
2.舊牙冠破裂
3.門牙牙齦高低不一
4.舊樹脂填補變色
5.牙齒切端破裂
為了改善牙齒大小比例,先將做牙冠增長術,將牙齒大小調整至適當,牙齒美白,再製作全瓷冠與貼片。

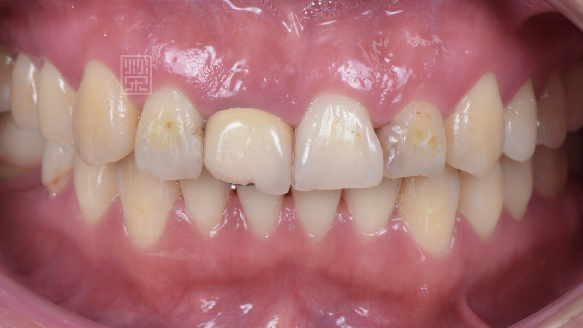
笑容露出牙齒時,牙齒大小不一

牙齦高低不一,填補樹脂變色,牙齒切端磨損

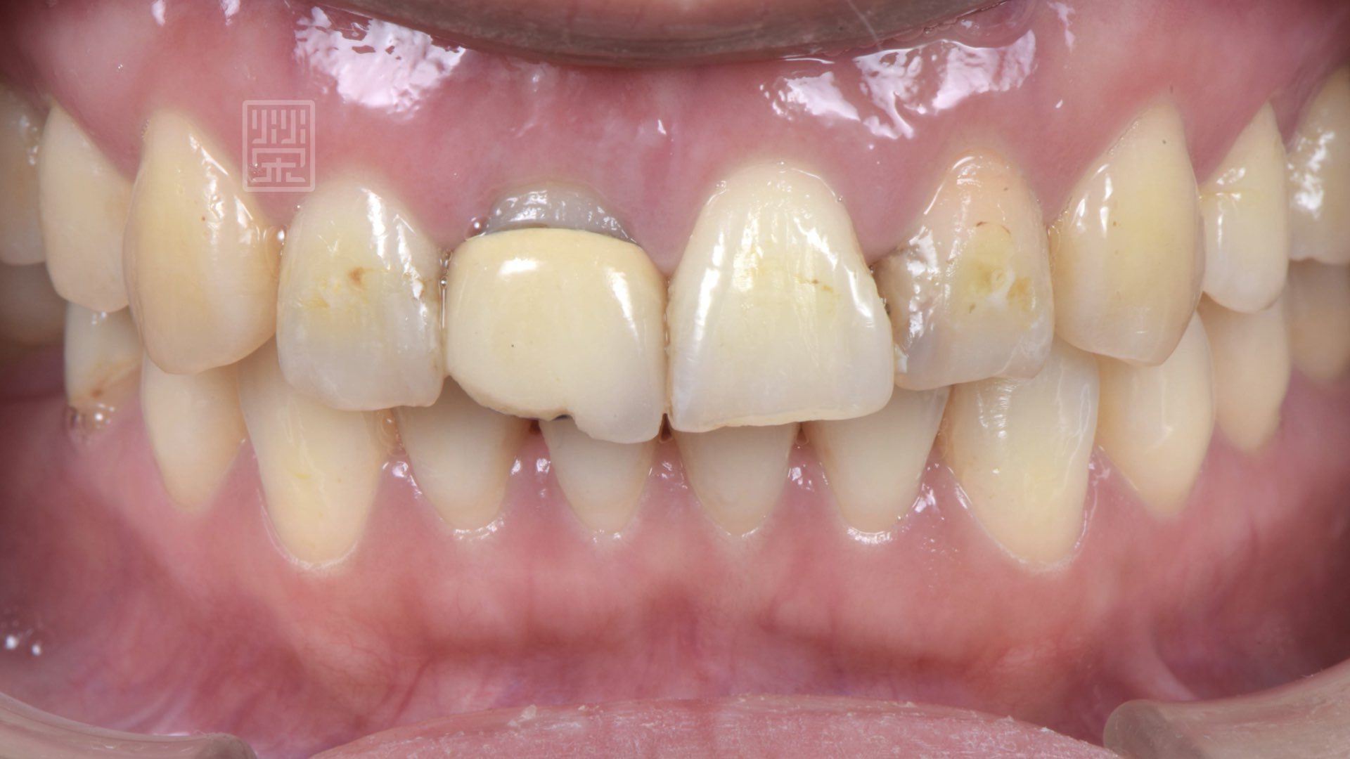
牙冠增長數

牙齦恢復後準備做牙齒美白

美白後置換臨時假牙

利用雙層冠遮蔽變色牙根

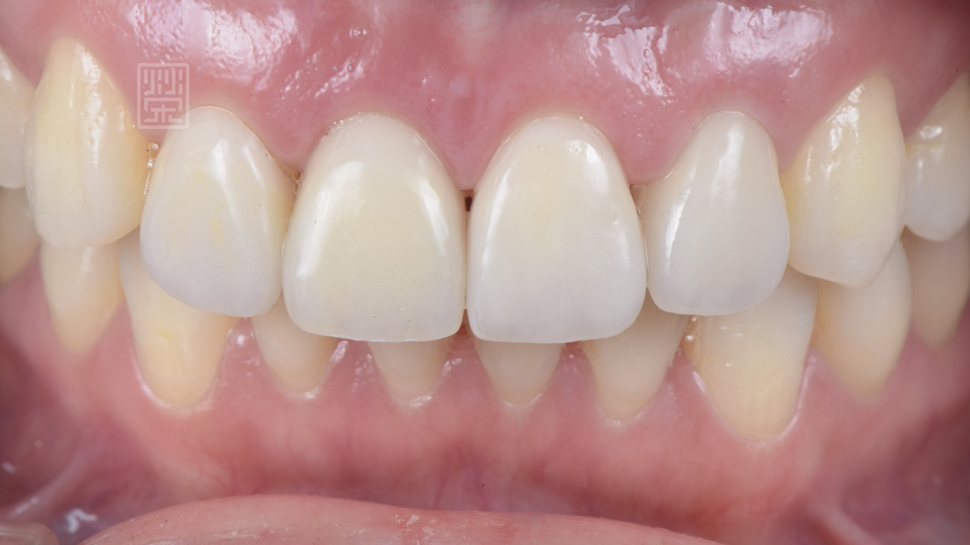
全瓷冠貼片試戴

完整隔絕口內濕氣,達到完整貼片黏著效果

雙層冠貼片

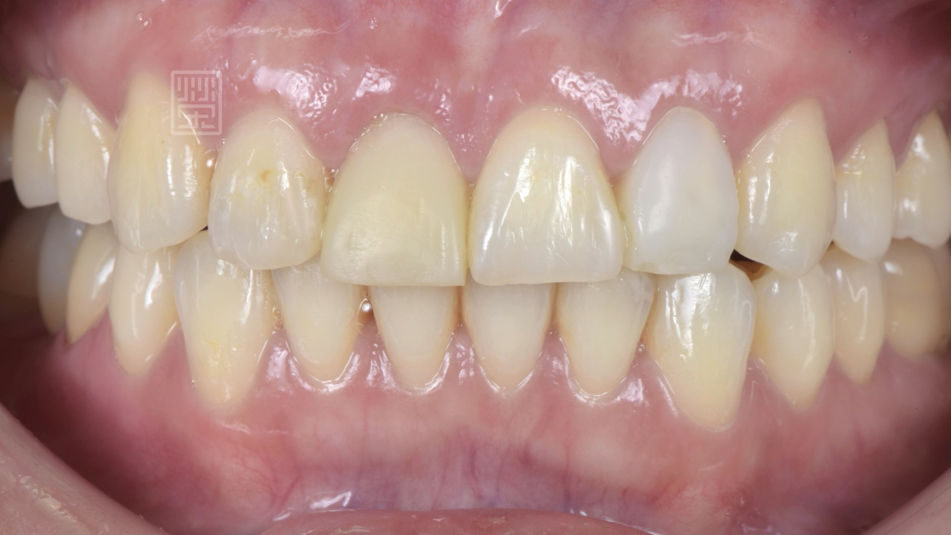
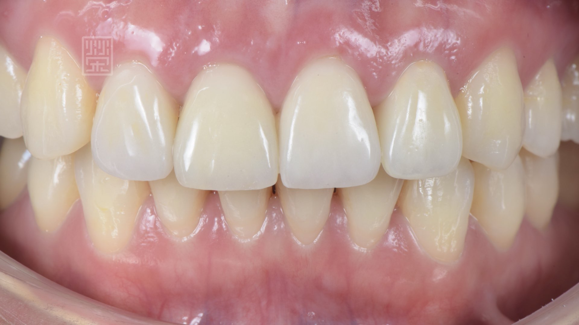
治療完成

和諧一致的牙齒