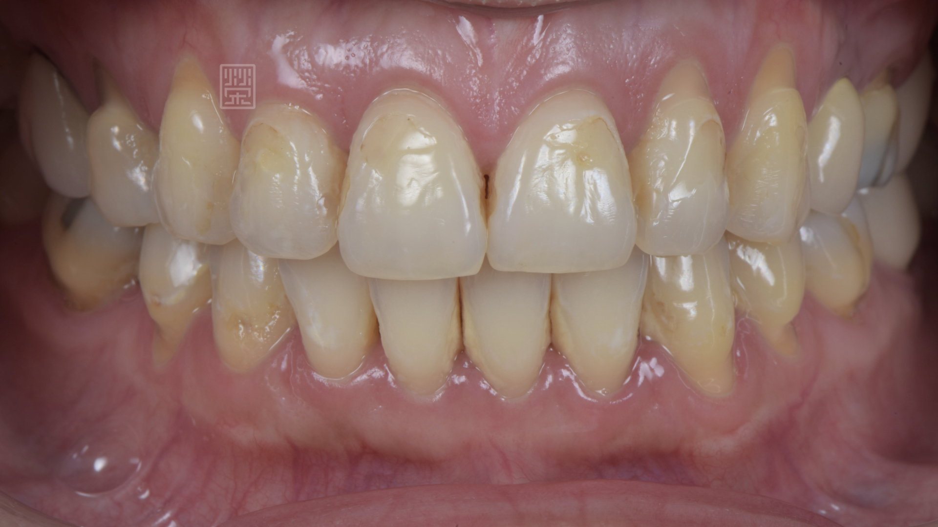
羅小姐因為牙齒齒色偏黃,一直覺得牙齒不好看,雖然經歷過矯正,但總覺得笑起來不是這麼美觀。
榮醫師檢查後,發現除了牙齒有多處樹脂填補之外,中門牙的長度稍微不同,而且切端微笑曲線稍微平一些,還有部分牙齦退縮。
首先先將過去的舊樹脂清除,確定已清除齲齒,再者靠近神經部分的缺損,也用牙髓覆蓋保護劑填補起來,減少術後牙齒敏感跟牙髓傷害。
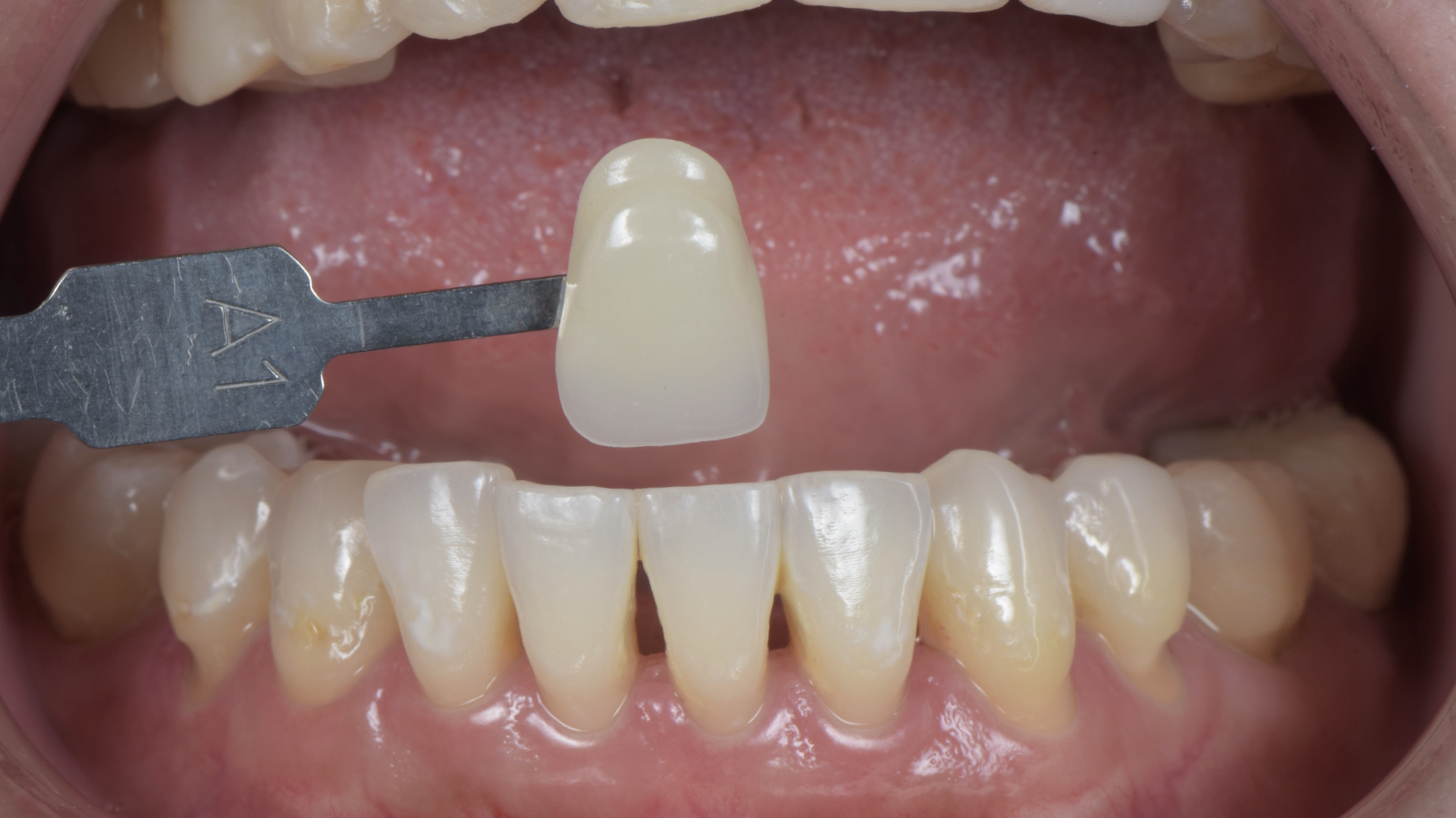
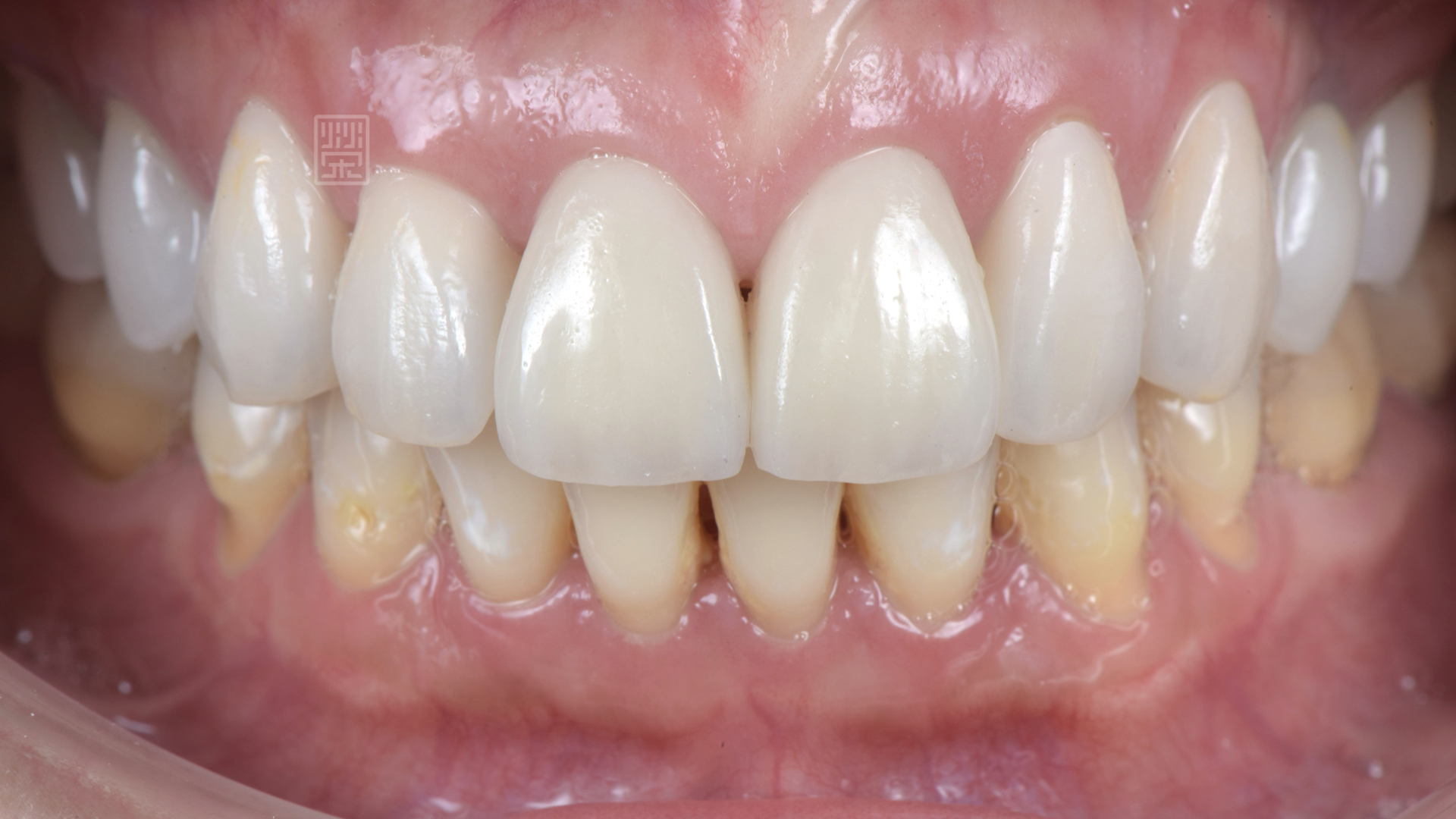
與羅小姐溝通切端長度(微笑曲線後),也討論了牙齒顏色,預計比下顎門牙再白一個色階,大約是自然齒色最白的顏色,確定後就開始牙齒修磨與最終貼片印製,完成亮白的貼片與自信美觀的笑容。

門牙稍微長短不一,齒色不是非常亮白

矯正後牙齦稍微退縮

矯正前先把蛀牙與舊天補物清除,確認齲齒病灶已經治療完成

參考下顎牙齒顏色作為上顎貼片的參考

牙齒比色

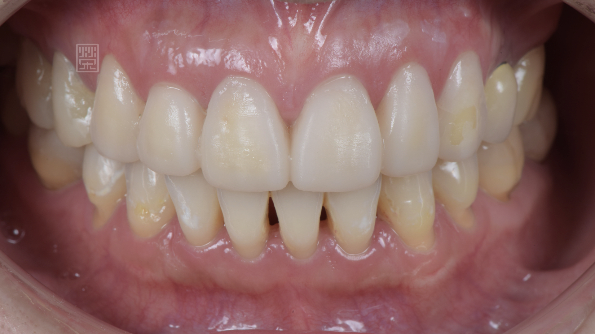
臨時貼片製作

黏著步驟酸蝕、隔濕、黏著貼片

貼片完成

牙齒亮白提升