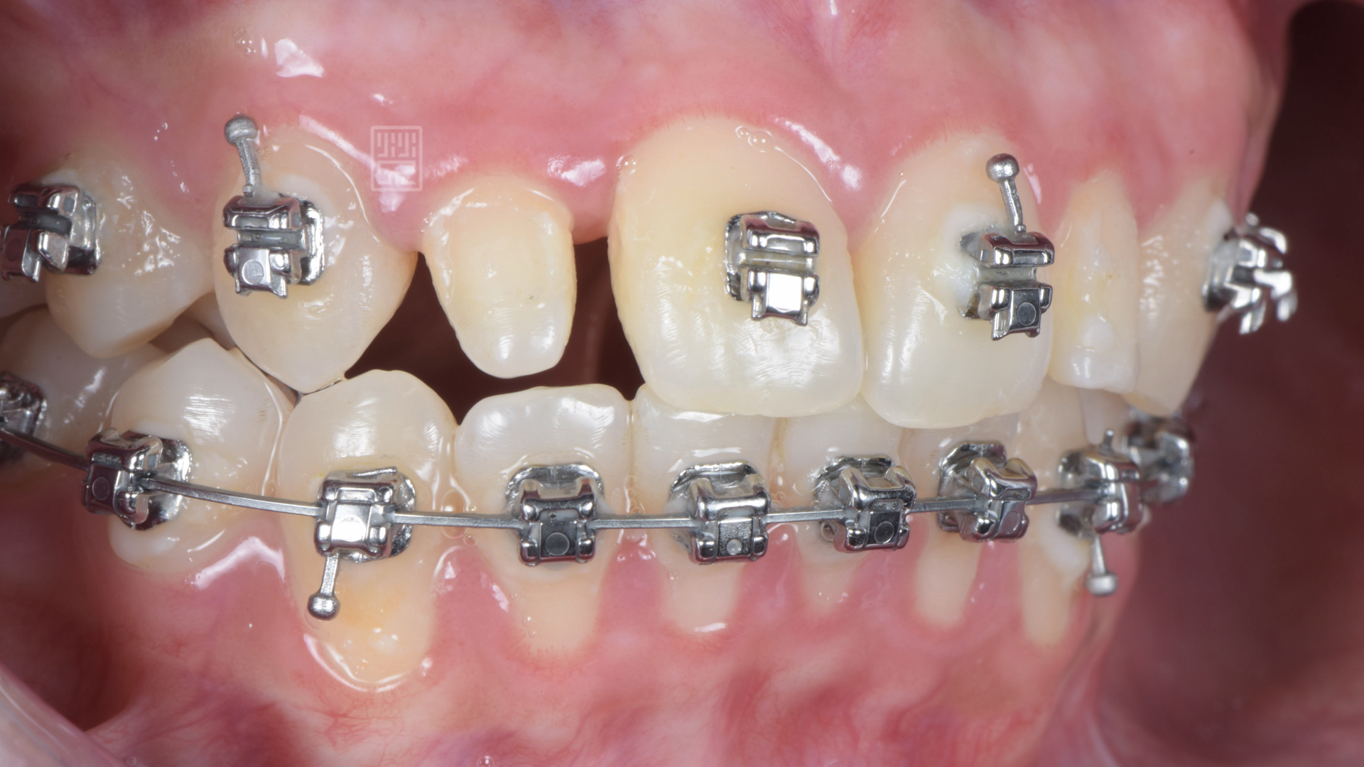
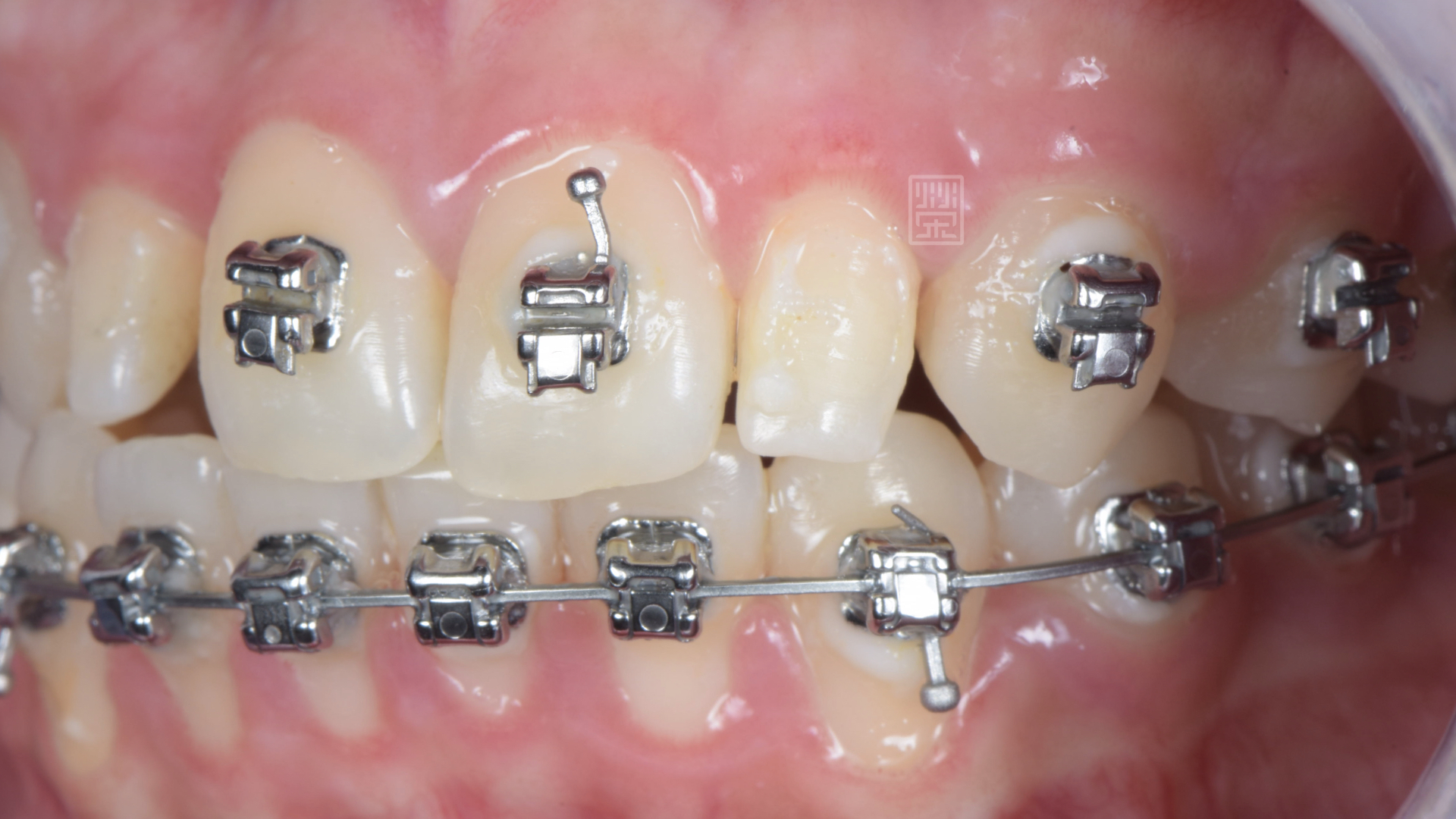
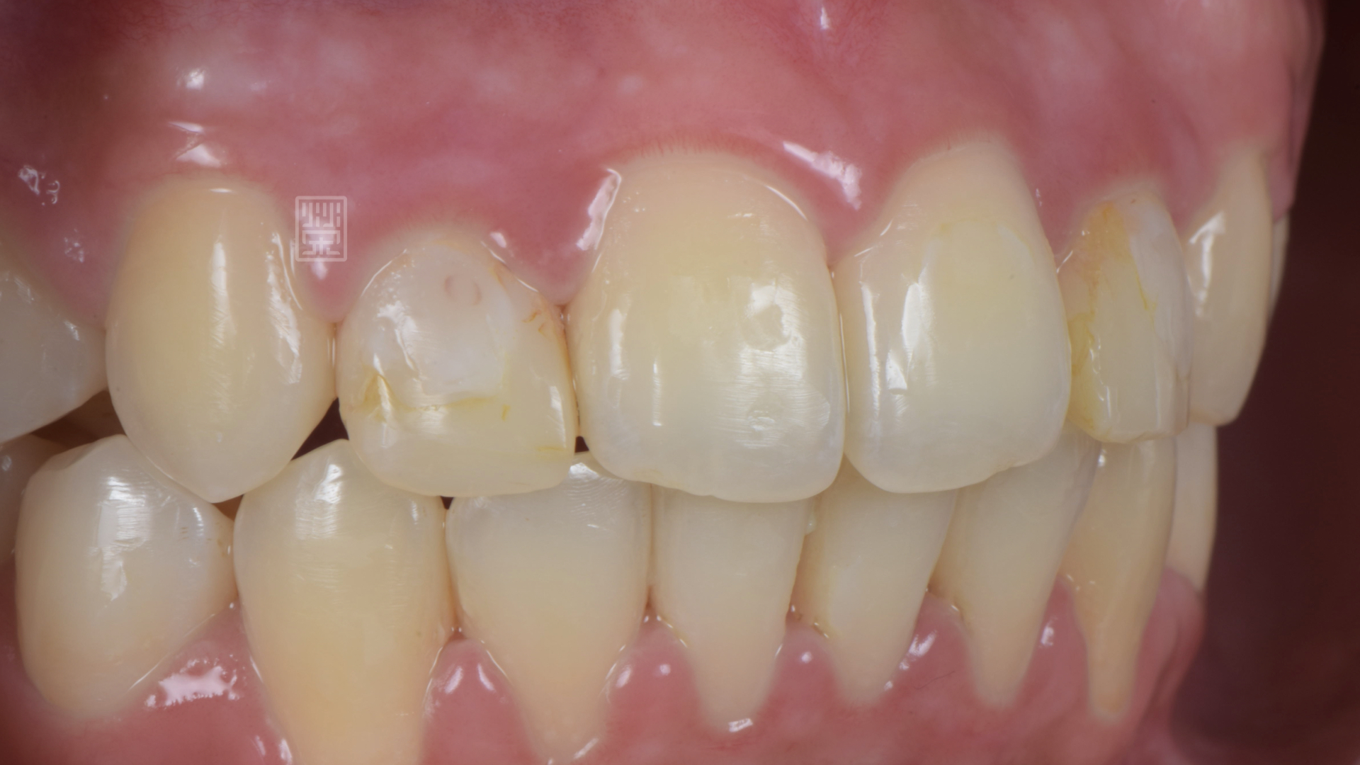
許小姐是榮醫師配合矯正醫師的患者,因為有先天錐狀牙,所以上顎側門牙看起來就比較小,跟旁邊的牙齒不協調,所以在矯正中期,榮醫師會先把適當的大小用樹脂先填補起來,給矯正醫師做型態、位置的參考,等到矯正結束後,再用全瓷冠恢復型態,讓整體狀況更穩定。

側門牙偏小,矯正醫師將空間保留下來

側門牙偏小,矯正醫師將空間保留下來

側門牙偏小,矯正醫師將空間保留下來

側門牙偏小,矯正醫師將空間保留下來

側門牙偏小,矯正醫師將空間保留下來

側門牙偏小,矯正醫師將空間保留下來

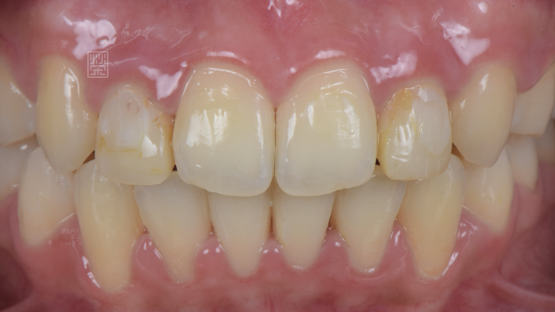
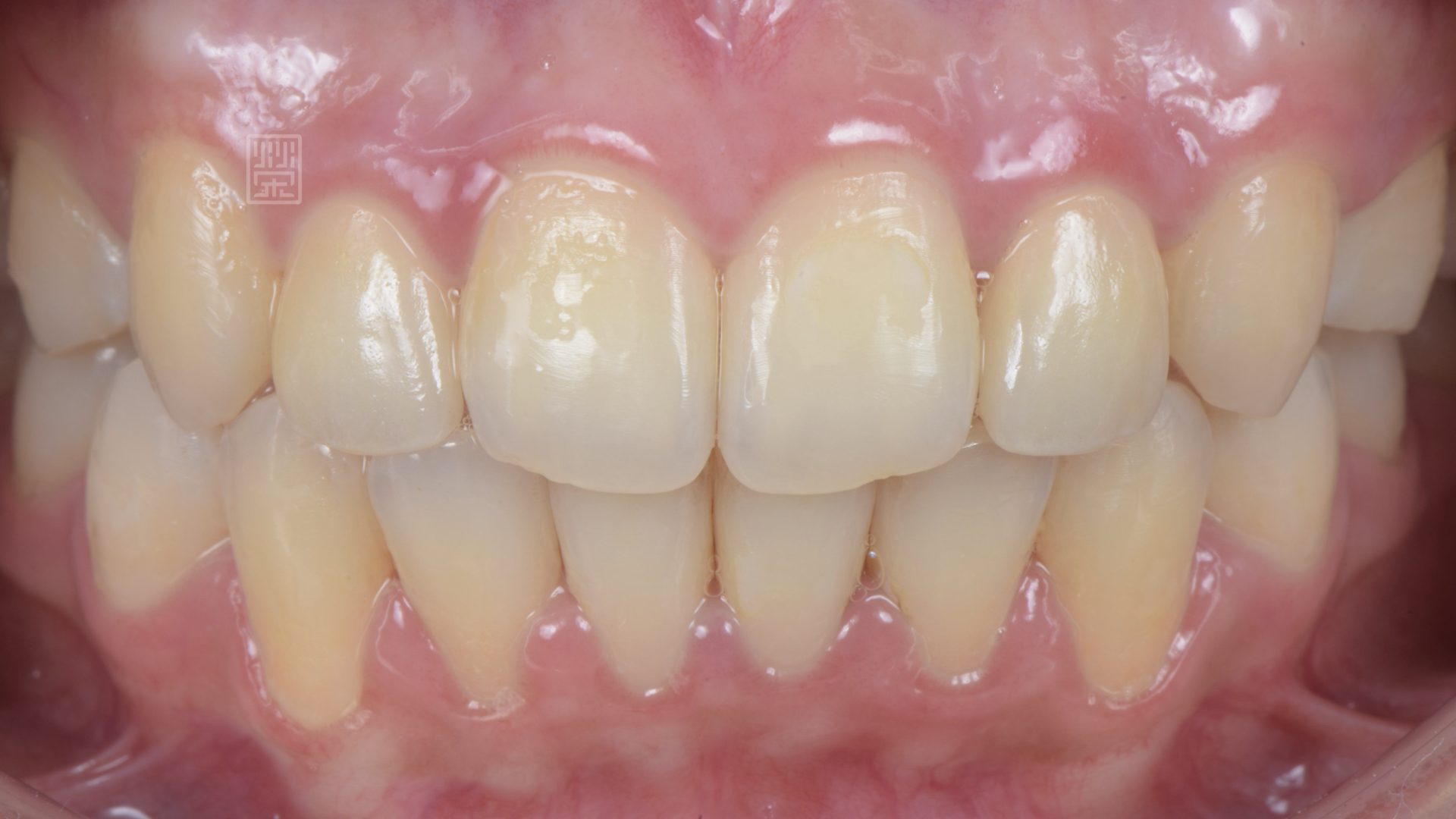
全瓷冠製作前比色

用偏光片協助顏色分析

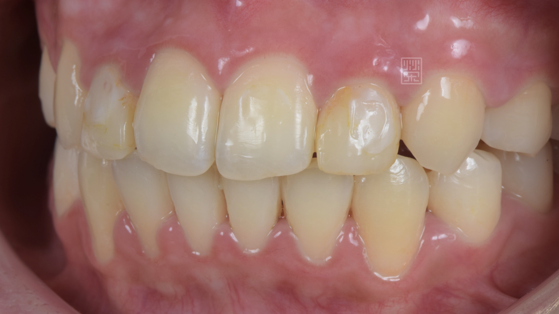
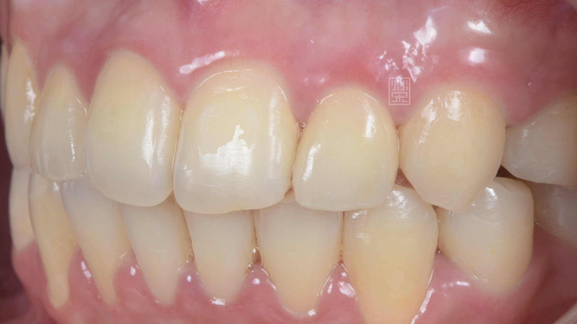
側門牙全瓷冠完成

側門牙全瓷冠完成

側門牙全瓷冠完成