經由檢查後,除了變色的牙齒外,鄰接牙牙齒也有破裂,加上黃小姐覺得牙齒有點暴,想藉由貼片一起改善。
因為貼片希望對牙齒的修磨調整越小越好,減少術後感的機會,所以對於比較暴的牙齒,型態的修正需要比較謹慎,修磨後,榮醫師先用臨時假牙跟黃小姐溝通型態豐隆度,確定後再複製給技師,可以將細節放到全瓷冠與貼片裡。

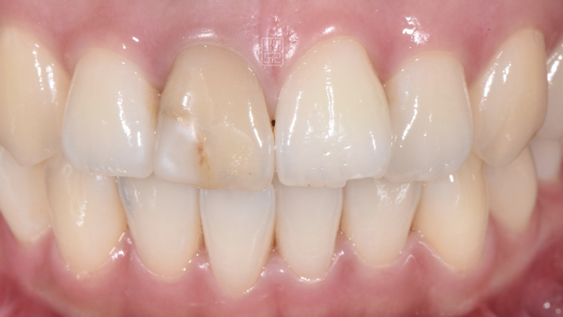
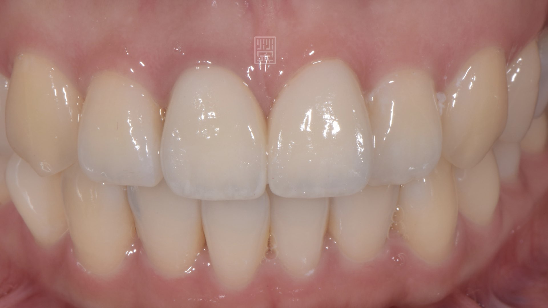
門牙變色

樹脂邊緣變色,與周圍顏色不和諧

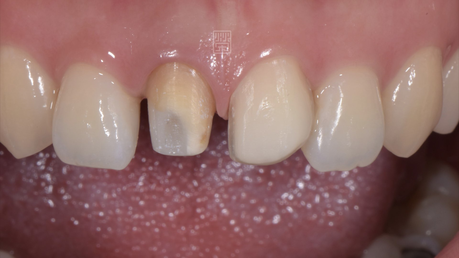
全瓷冠與貼片修磨

臨時假牙測試型態與豐隆度

雙層全瓷冠與貼片

內冠試色

雙層全瓷冠與貼片試色

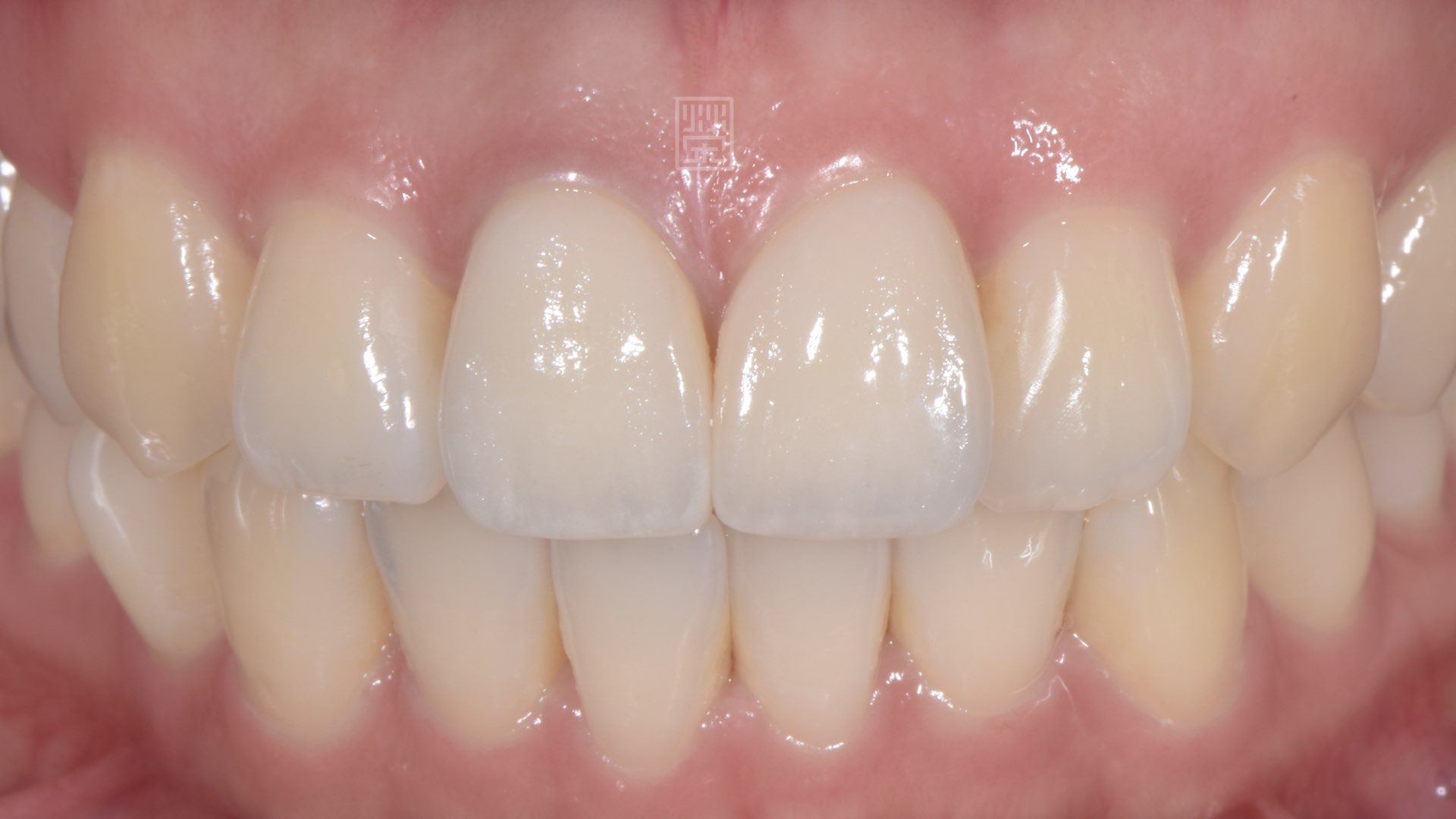
將雙層全瓷冠黏著固定

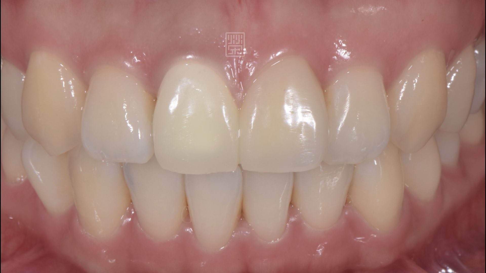
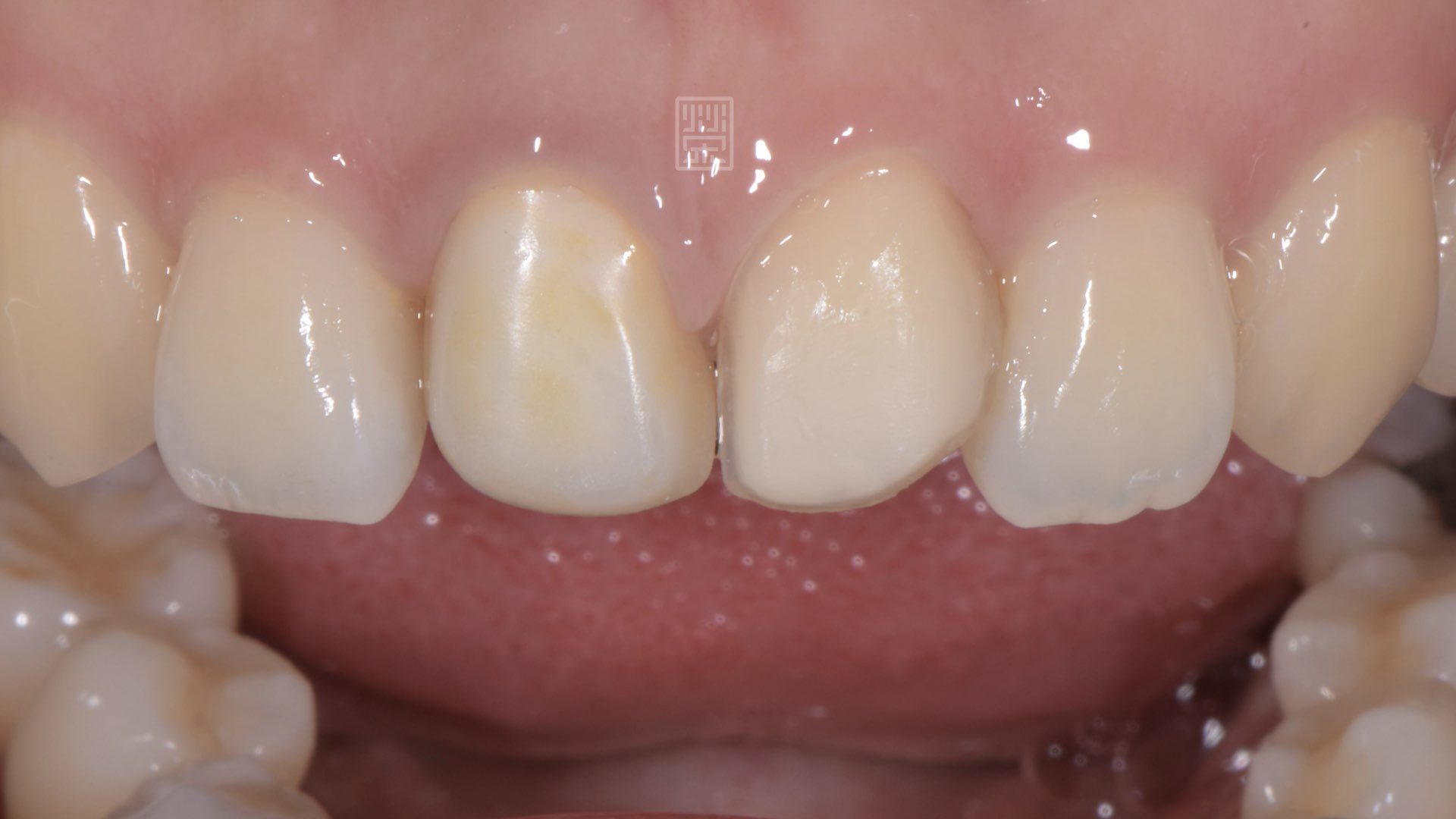
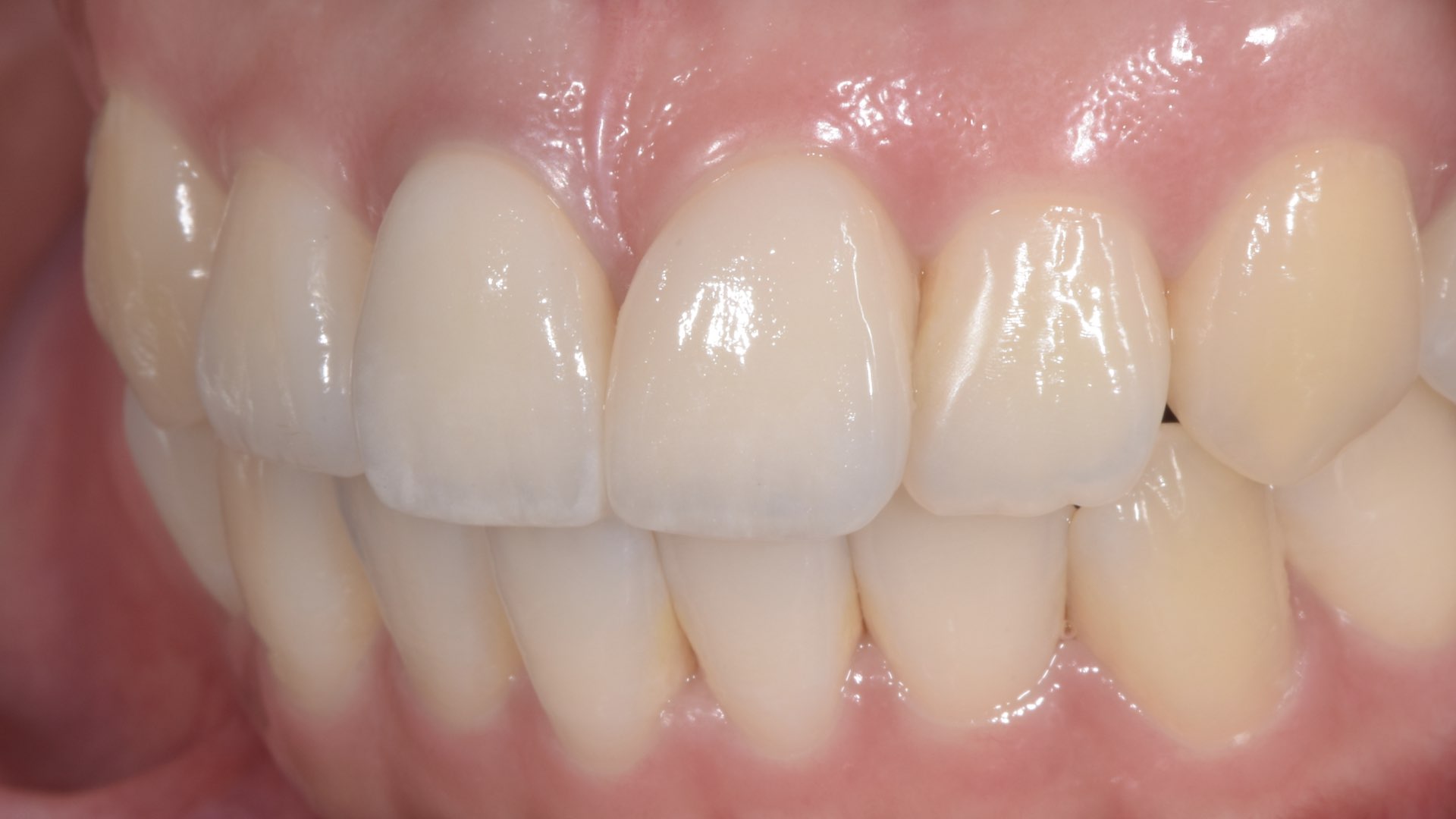
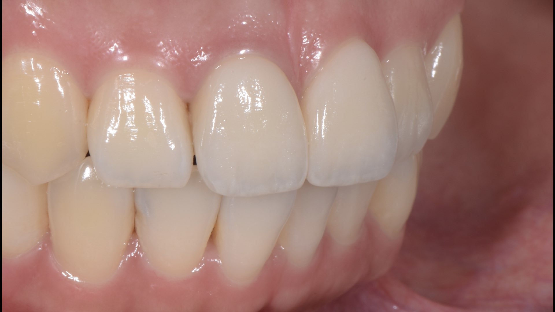
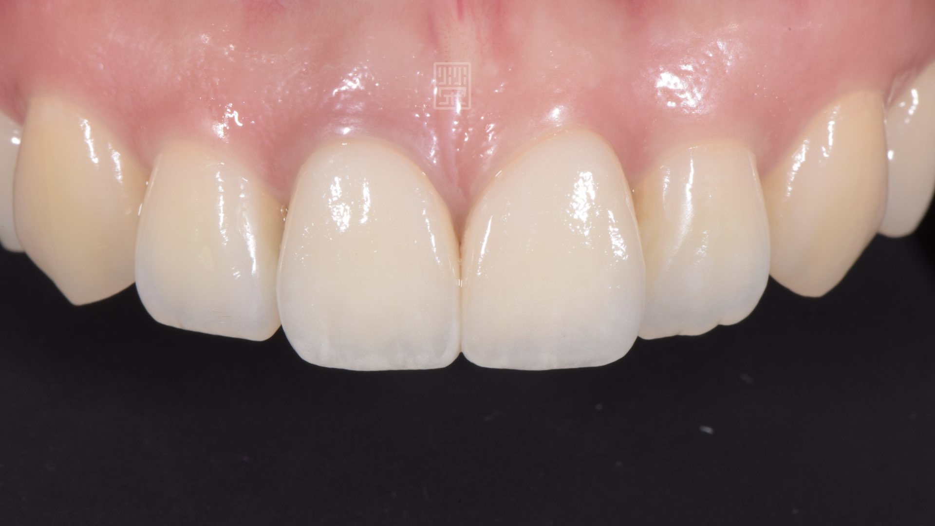
完成裝戴

完成裝戴

完成裝戴

完成裝戴

網站照片.028