牙齦邊緣萎縮,瓷牙冠邊緣變黑,橋體下牙齦萎縮————全瓷牙橋併牙齦移植手術

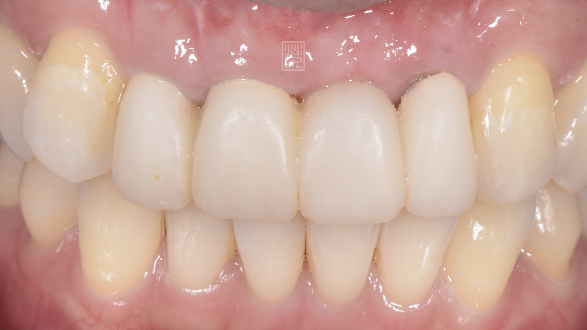
陳小姐因為年底要結婚了,對於前牙牙橋的美觀很不滿意,診察後,發現是牙齦萎縮,造成假牙邊緣變黑露出,加上牙橋體下方牙齦萎縮嚴重。
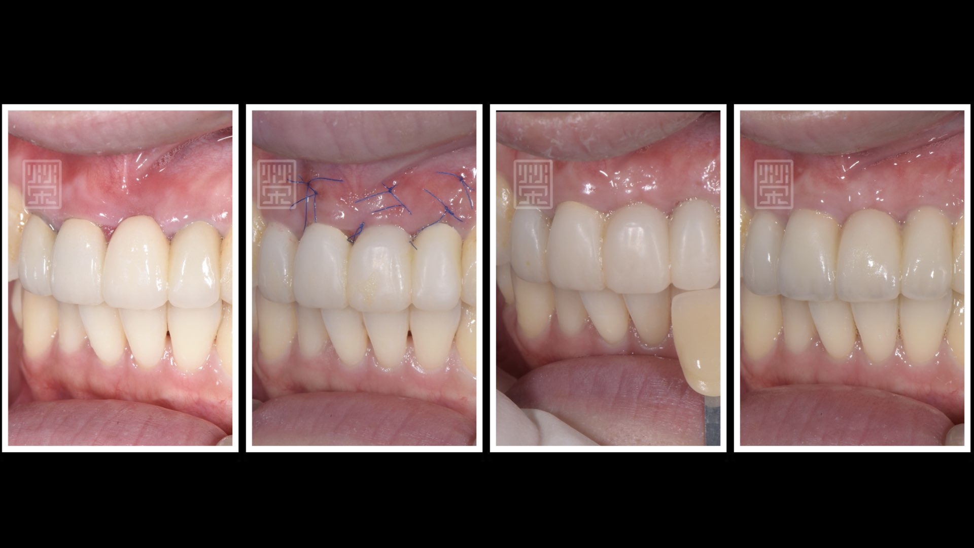
榮醫師先將牙橋換成臨時假牙,再將缺牙處的牙齦移植,墊厚牙齦組織,再將牙齦塑形至正常狀態,讓牙齒有如從牙齦萌出,減少牙齒周圍的黑陰影三角。
牙齦萎縮,黑邊露出
牙齦萎縮,黑邊露出

牙齦移植手術
牙齦移植手術

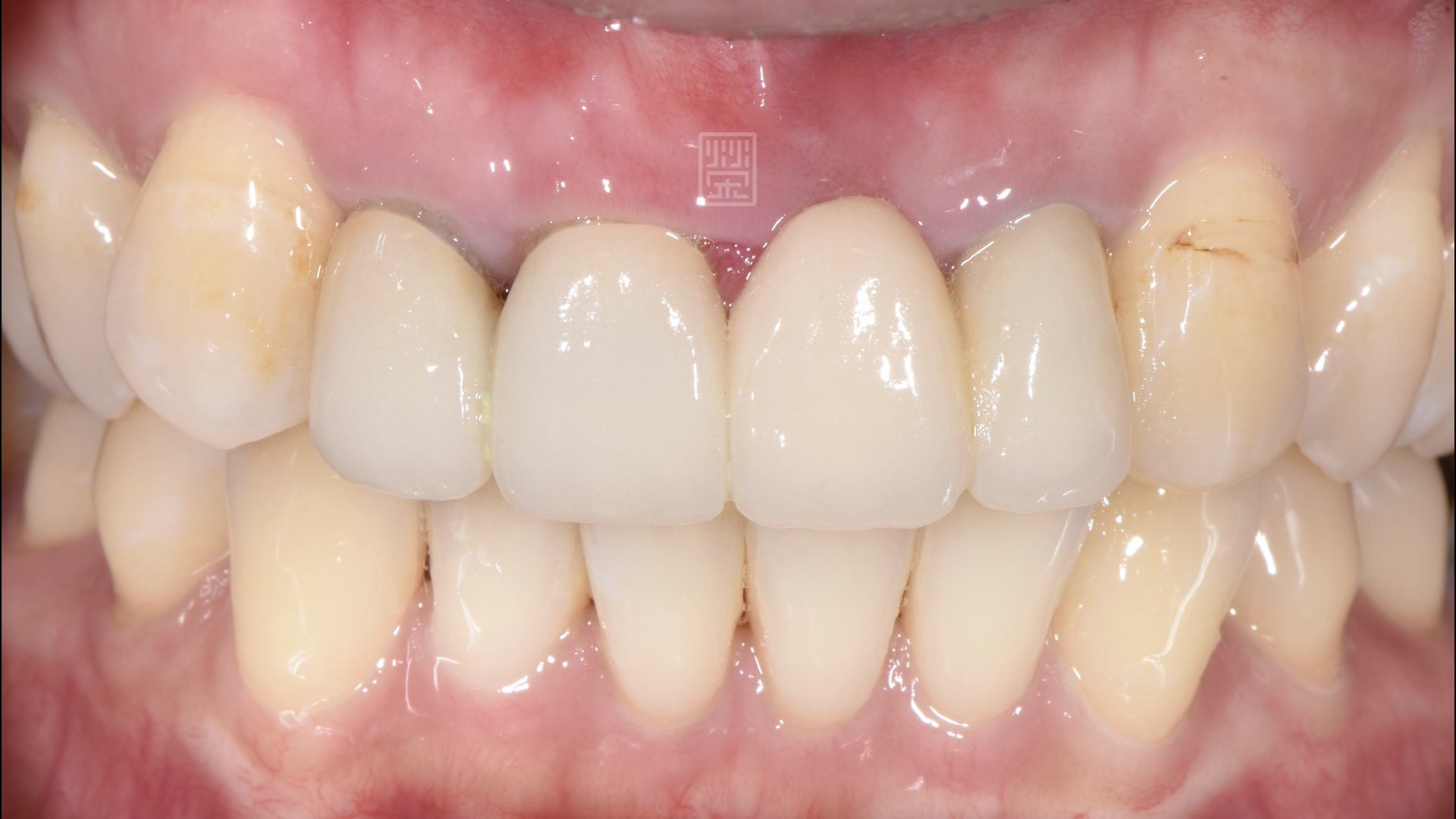
牙齦癒合
牙齦癒合

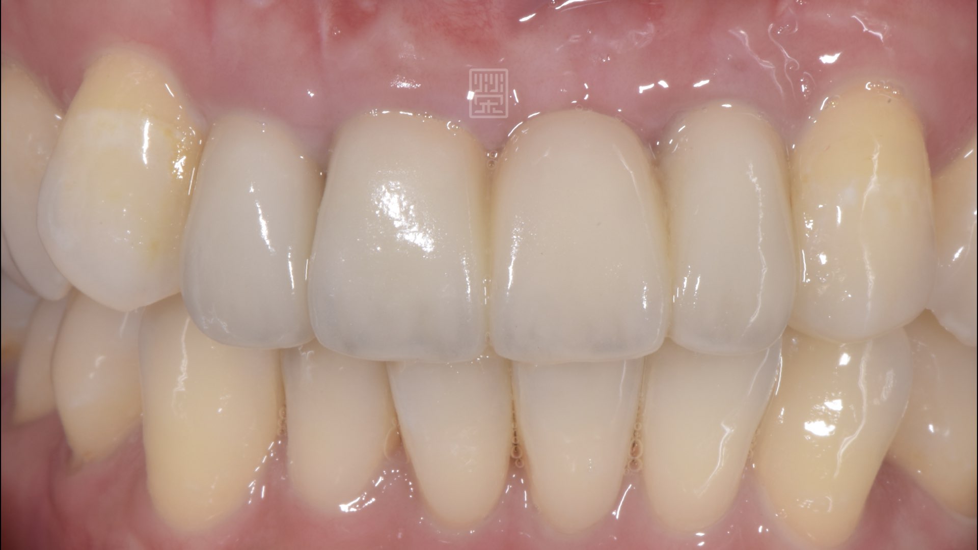
牙齦癒合且塑形完成
牙齦癒合且塑形完成

正是全瓷牙
正是全瓷牙

正是全瓷牙
正是全瓷牙

牙齦移植流程
牙齦移植流程