陳小姐某天吃東西,突然發現好像咬到硬硬的,但仔細一看,似乎不是食物,而是自己的牙齒!!!而且牙齒就空了一個洞,緊張之餘,馬上安排門診檢查。
經由診斷後,應該是蛀牙造成牙齒損傷,咬到硬物,牙齒斷裂,幸運的是,牙齒神經依然健康,只是牙齒齒質受損嚴重,
在清除蛀牙、舊的填補誤之後,利用全瓷黏著贋復物,恢復型態與功能,讓陳小姐能夠自在的享用美食。

牙齒破裂

牙齒破裂

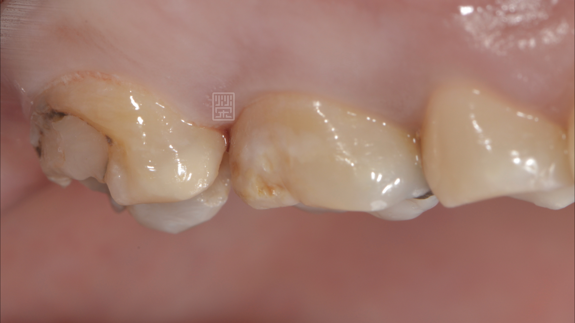
頰側大蛀牙

修形後

全瓷嵌體完成

全瓷嵌體完成

全瓷嵌體完成
陳小姐某天吃東西,突然發現好像咬到硬硬的,但仔細一看,似乎不是食物,而是自己的牙齒!!!而且牙齒就空了一個洞,緊張之餘,馬上安排門診檢查。
經由診斷後,應該是蛀牙造成牙齒損傷,咬到硬物,牙齒斷裂,幸運的是,牙齒神經依然健康,只是牙齒齒質受損嚴重,
在清除蛀牙、舊的填補誤之後,利用全瓷黏著贋復物,恢復型態與功能,讓陳小姐能夠自在的享用美食。






