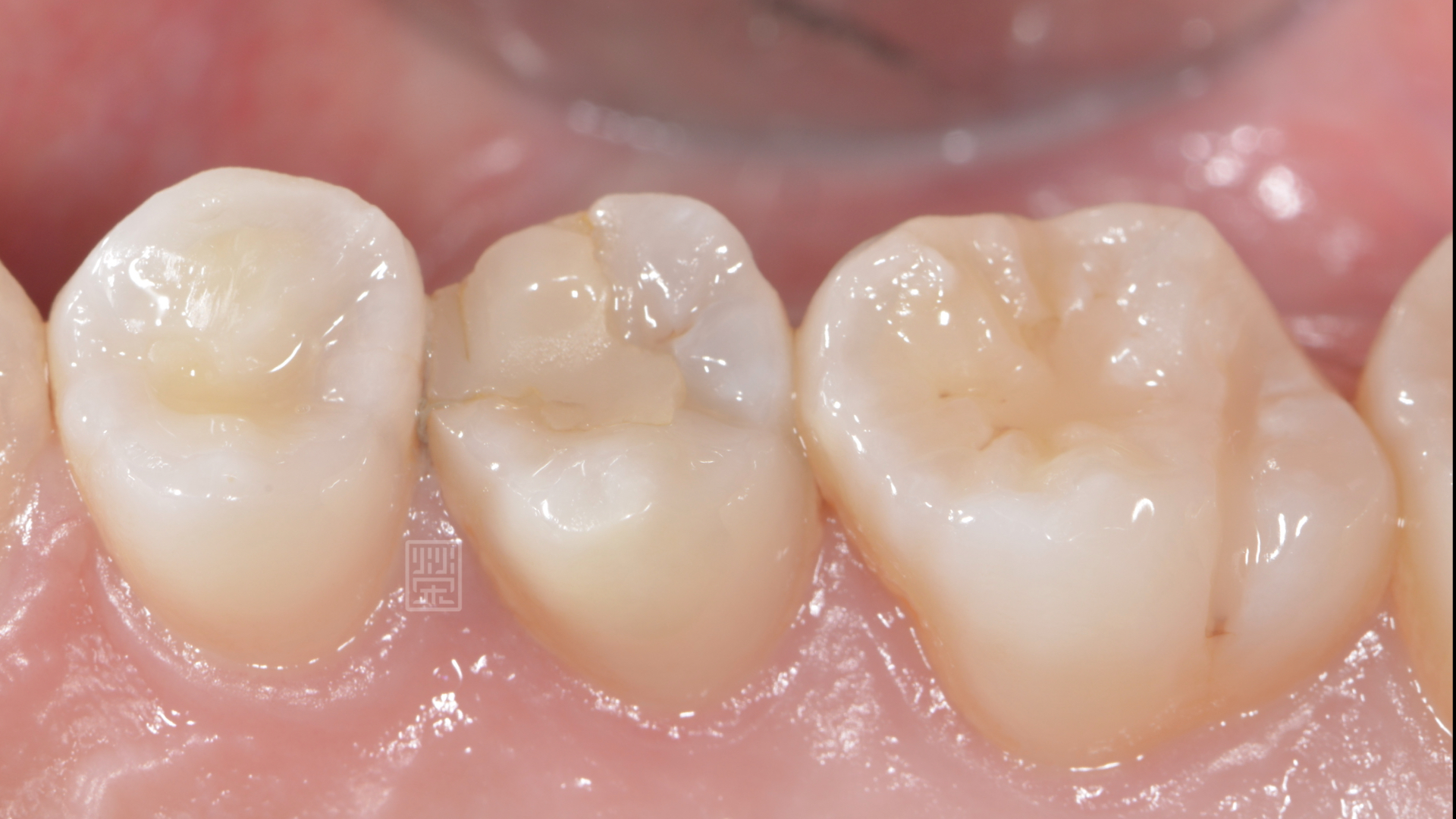
楊小姐覺得牙齒酸酸的,來就診檢查,榮醫師檢查之後,應該是舊填補內部有蛀牙,加上已經有邊緣破裂,所以在吃東西的時候,
會有酸軟不適感;將蛀牙與舊填補物清除後,發現牙齒嚴重受傷,幸運的是牙髓仍健康,將牙齒邊緣調整後,利用全瓷嵌體修復,恢復功能與美觀。

樹脂邊緣有隙縫

牙齒邊緣破裂

樹脂邊緣有隙縫

清除蛀牙後損傷嚴重

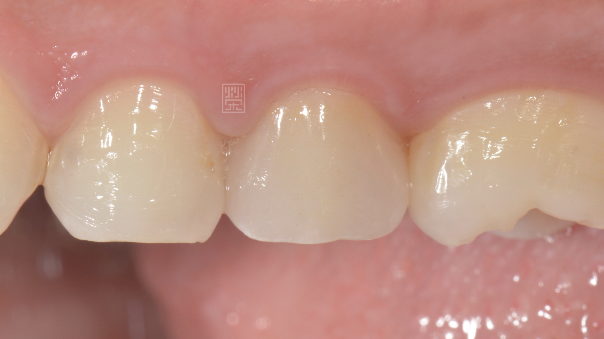
牙齒修行後

全瓷嵌體完成

全瓷嵌體完成
楊小姐覺得牙齒酸酸的,來就診檢查,榮醫師檢查之後,應該是舊填補內部有蛀牙,加上已經有邊緣破裂,所以在吃東西的時候,
會有酸軟不適感;將蛀牙與舊填補物清除後,發現牙齒嚴重受傷,幸運的是牙髓仍健康,將牙齒邊緣調整後,利用全瓷嵌體修復,恢復功能與美觀。






