黃先生偶爾覺得牙齒有點酸,檢查後發現雖然牙齒表面破口不是很大,但是很深,而且蛀牙常常就像一個『口小身大』的甕一樣,雖然牙齒破口沒有很大,但是裡面牙齒蛀得非常大,所以當蛀牙清除乾淨後,牙齒只剩下薄薄的一層殼,牙齒結構變得很脆弱。
除此之外,因為蛀牙很深,所以當清除後,隱約已經看到神經暴露出來的,所以先用MTA(三氧礦化物)將靠近牙齒神經部分保護起來,減少後續牙齒表面處理時的刺激,等到觀察牙齒穩定後,再用牙齒傷害最小的陶瓷嵌體恢復牙齒的強度,並且陶瓷美觀與生物相容性好,讓治療結果兼具功能與美觀。

咬合鄰接面破了個洞

蛀牙清除乾淨後,發現牙齒只剩下一半,而且牙髓幾乎裸露

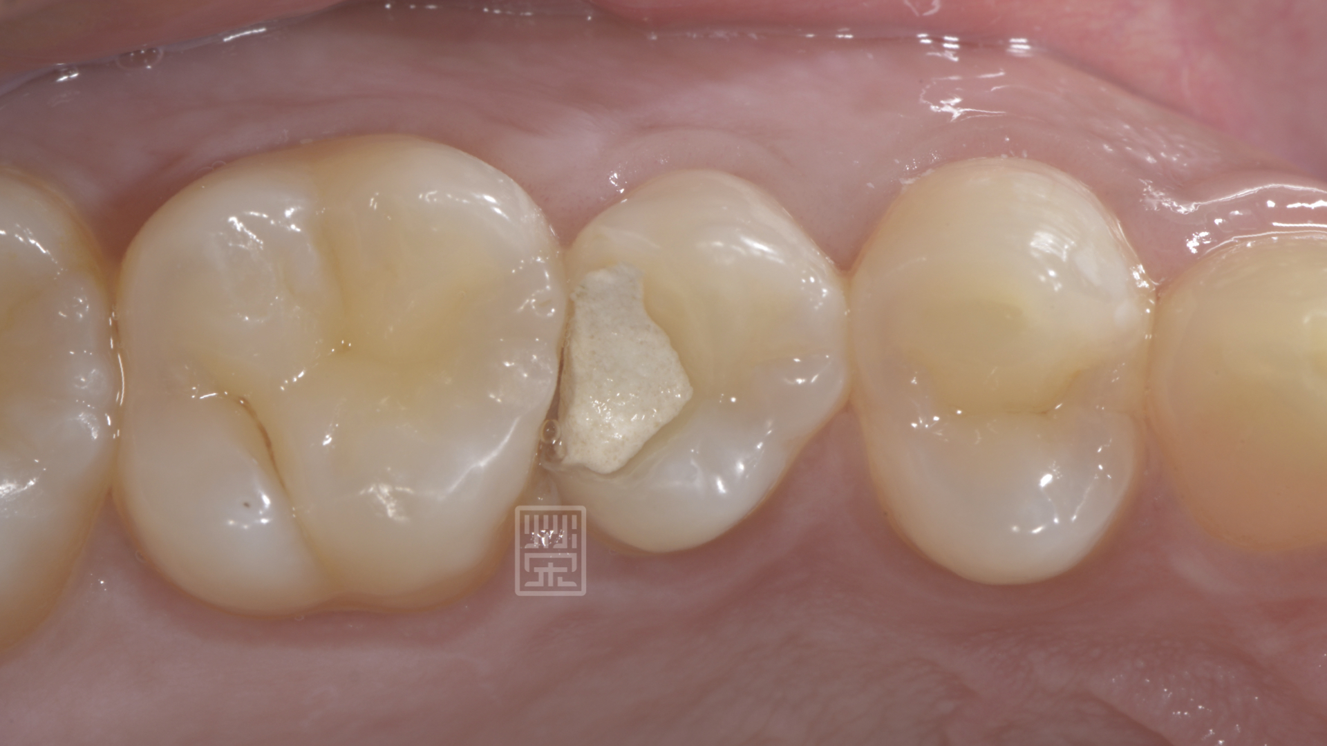
經由MTA(三氧礦化物)保護牙髓後,清除脆弱的牙齒部分,預計用陶瓷嵌體保護

陶瓷嵌體黏著上牙齒

陶瓷嵌體修復後,恢復功能與美觀

陶瓷嵌體修復後,恢復功能與美觀