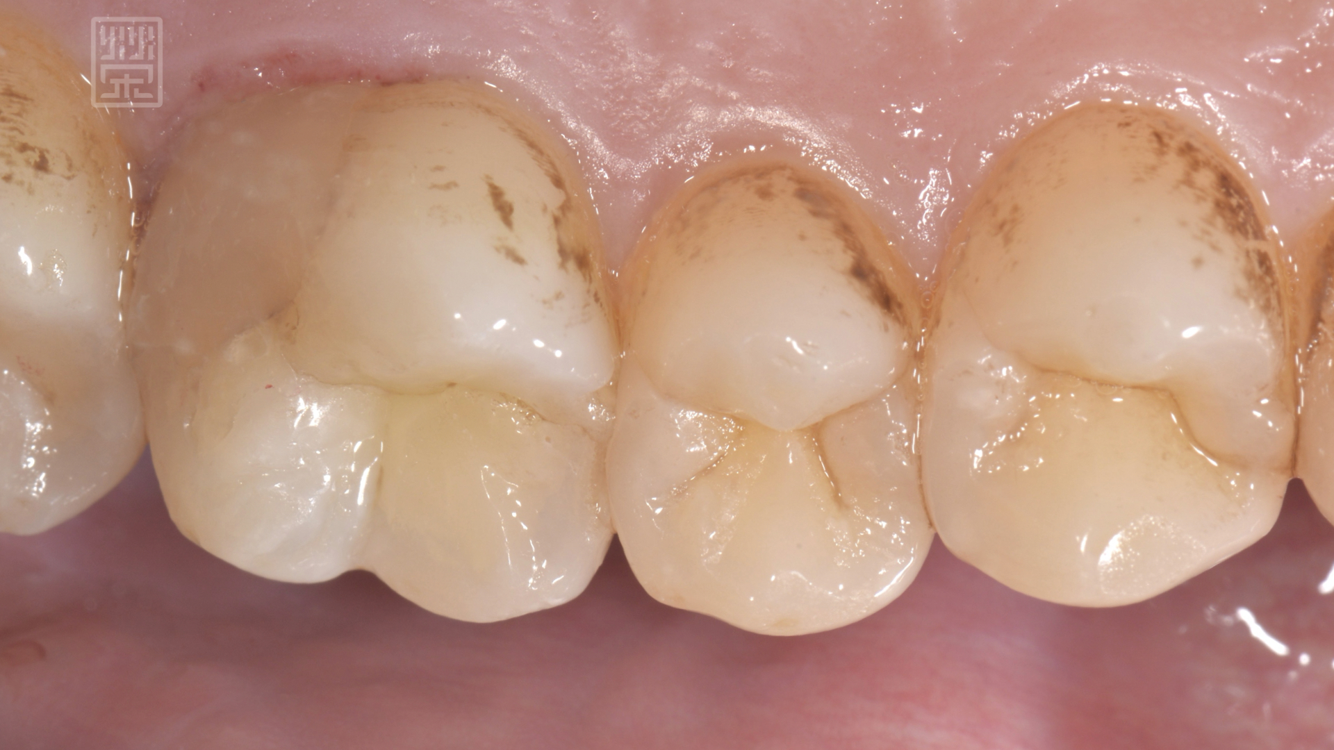
蕭先生一直覺得右上牙齒怪怪的,有時候咬起來有點痛,有時候又還好,X光片上檢查沒有明顯異狀,但是在裂痕登檢查時,可以明顯看到牙齒上有裂痕,但是啊,牙齒的牙釉質上面有裂痕,是蠻常發生的,只要這個裂痕沒有裂到牙本質,可以繼續觀察就好,針對這個裂痕榮醫師有用咬力檢查法,感覺有點不舒服,準備安排門診治療,將牙齒套起來。
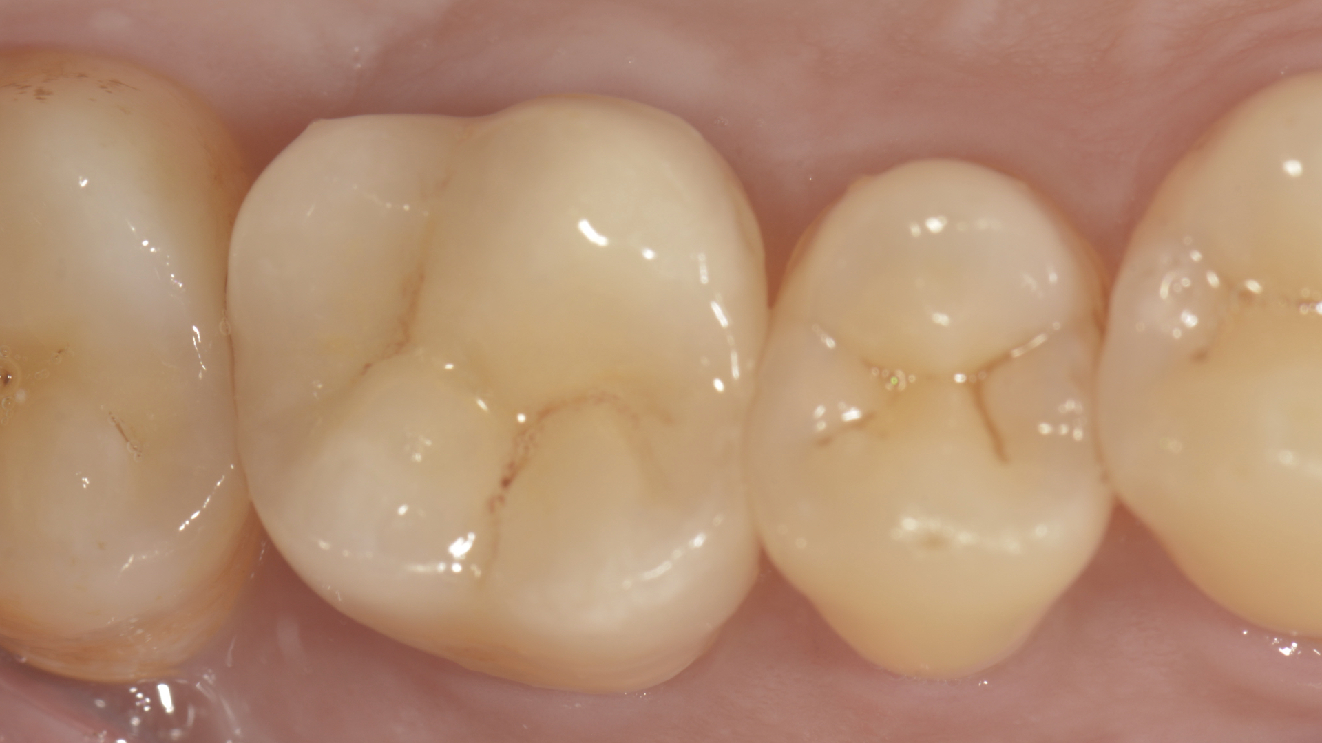
但就在門診的間隔期間,來電告知牙齒咬裂了,而且很敏感,因為是剛好是休診期間,所以先請他院醫師補起來。
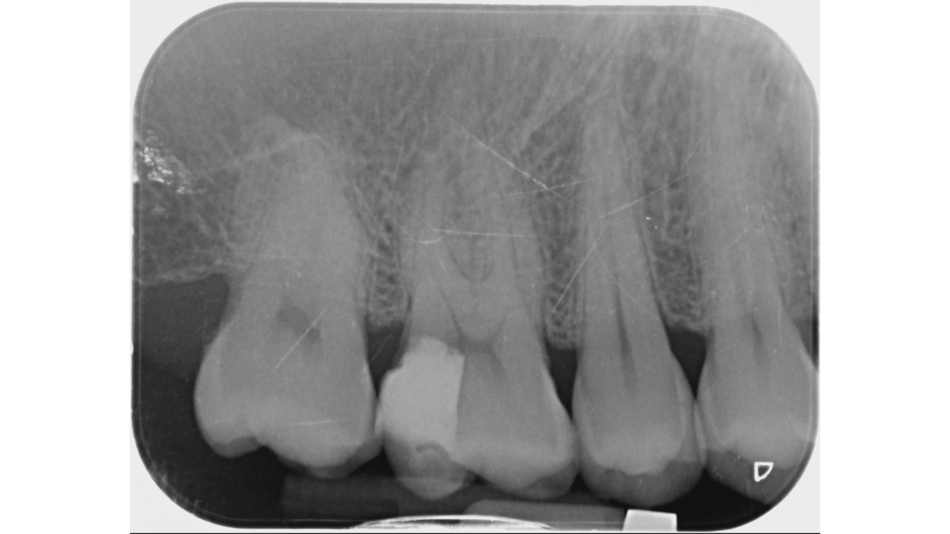
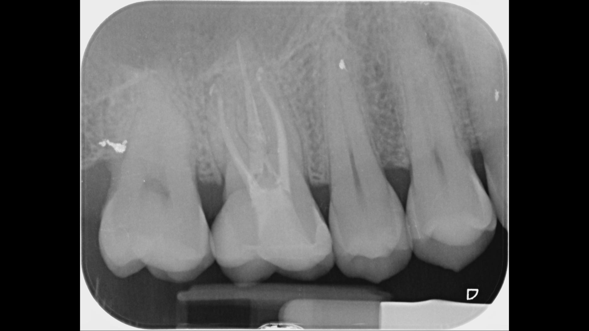
來到診間的時候,發現填補的位置很深,X光檢查下,除了深部填補有縫隙,而且裂痕很靠近牙髓神經。
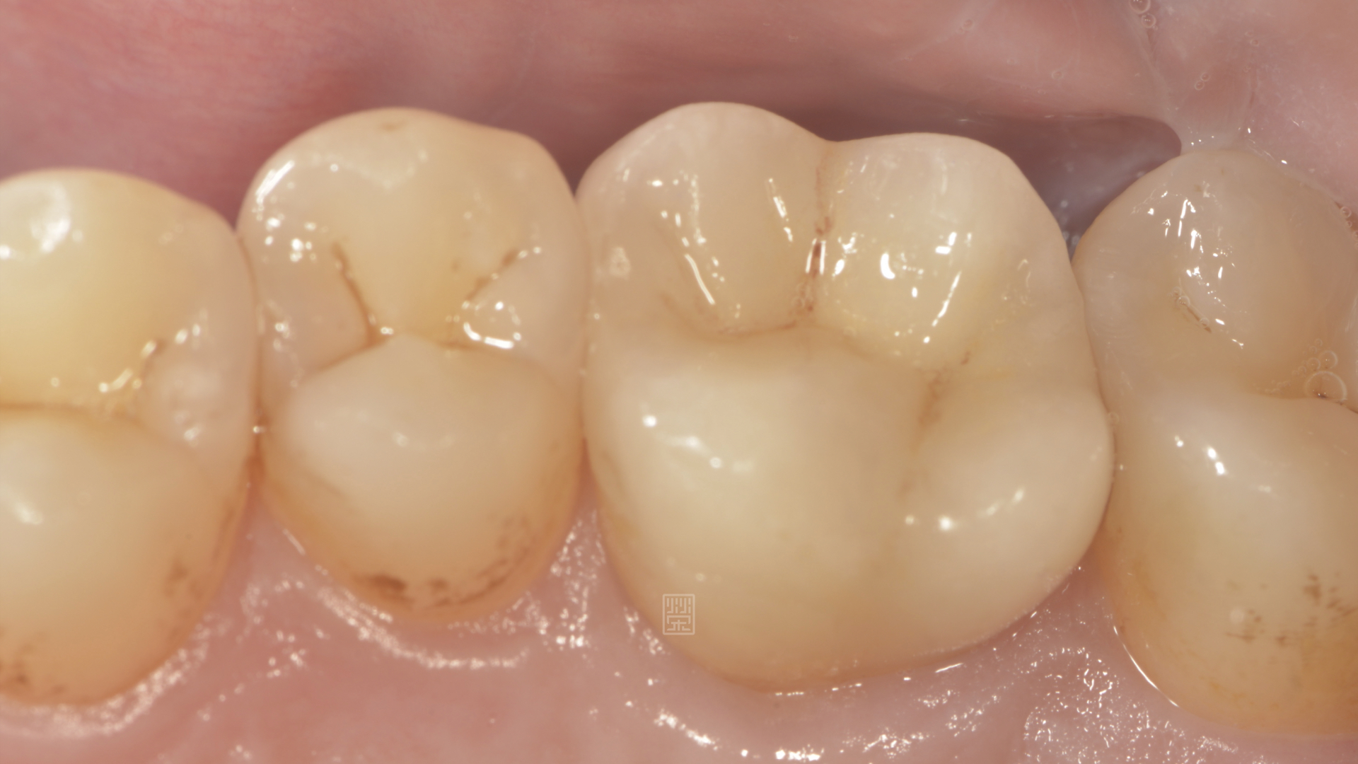
首先用牙冠增長術,將牙齦下的裂痕露出,以利之後全瓷嵌體治療製作,過程中發現牙髓神經已經裸露,並且牙髓已經受感染壞死了。
轉診至根管治療醫師將牙髓神經處理後,再用全瓷嵌體全祼修復,保護整個牙齒,可以承擔咬合力量,恢復牙齒功能。

裂痕登發現牙齒有裂痕

初期X光檢查沒有發現異狀

牙齒裂開後他院樹脂填補

X光片發現裂痕很靠近牙髓神經

牙冠增長術將邊緣裸露出,以利全瓷嵌體邊緣製作

根管治療後,將邊緣修順,給全瓷嵌體走夠的空間

全瓷嵌體完成

全瓷嵌體完成

全瓷嵌體完成