陳先生覺得牙齒有的地方咬起來怪怪的,口內檢查看到牙齒有個裂痕。
早期填補牙齒時,會使用汞齊合金,俗稱銀粉的材料,但是這個材料硬化時,會有1~4%體積膨脹,會累積壓力在齒質上,長期咬合力作用下,可能會造成牙齒產生裂痕,而細菌就容易順著這個裂痕,造成牙齒蛀牙或是破壞。
所以當把銀粉清除後,發現下方的蛀牙遠比想像中的大,甚至內側牙齒只剩下薄薄的一片,加上本身口腔清潔不良,所以外側牙齒也有蛀牙,為了減少牙齒的傷害,只做局部牙齒覆蓋,盡量保留牙齒健康齒質,再將靠近牙髓部分的牙齒用複合樹脂與保護牙髓的襯墊材料保護起來後,用全瓷嵌體將牙齒恢復功能與美觀。

牙齒旁邊有裂痕

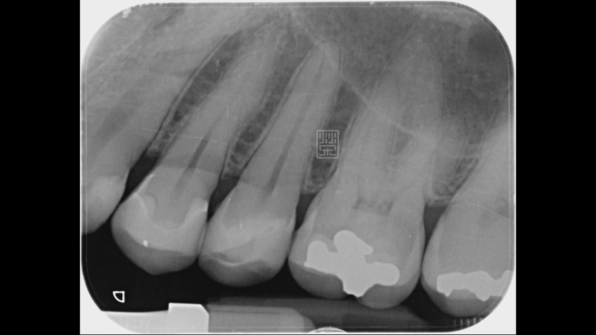
裂痕相對位置下的X光片,可以明顯發現蛀牙

當把填補物與蛀牙清除後,發現蛀牙比預想的還大

除了內部蛀牙外,外側也因清潔不當所造成的蛀牙

對於牙齒脆弱的部分,做包覆性保護牙齒

紅色是齒質,只做1mm空間修復,藍色部分是蛀牙至牙齦處,修磨至牙齦處

利用全瓷嵌體完整修復,恢復功能與美觀

利用全瓷嵌體完整修復,恢復功能與美觀

全瓷嵌體完整修復,恢復功能與美觀,頰側顏色與牙齒協調自然

X光檢查下,牙髓維持健康狀態