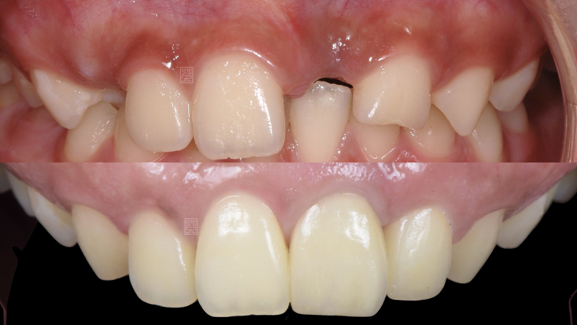
2011年,門診來了一個小學四年級小朋友,因為意外把中門牙撞飛了,因考慮發育過程與寬大的牙髓神經,許多治療受到限制,當下決定用馬利蘭牙橋先維持外觀,也告知家長,因為接下來小孩發育、咬合位置會有變化,可能一陣子會有牙橋脫落的機會,但主要可以減少對牙齒的傷害,約等到十八歲成年後再來評估較穩定的治療。
中間大約每一到兩年會回來一次,隨著經歷診所的變動,到開立自己的診所,記憶中總是在覺得好久沒看到時,約診內容裡就會出現他的回診,有時是檢查,有時是牙橋鬆脫。
2022年他回診時說,榮醫師,我要出國唸書了,我想把牙齒完成。中間經歷了他當兵,完成了補骨、植牙、補肉,在出國前夕,完整將治療完成。
感謝陳昭明醫師與吳禕凡醫師手把手教學sausage, ti-mesh骨再生,讓我有機會可以完成十年前與小男孩的承諾。
十年,讓小男孩長大,也讓我了解,當下沒有最好的方式時,把機會留給未來,有機會能夠解決當然令人很開心,或是把資本留下,讓下一位參與者,能夠有最多的發揮條件,得到最理想的結果,也是另一種成人之美的成就感。

歷經十餘年門牙植牙修復

小學時門牙撞飛

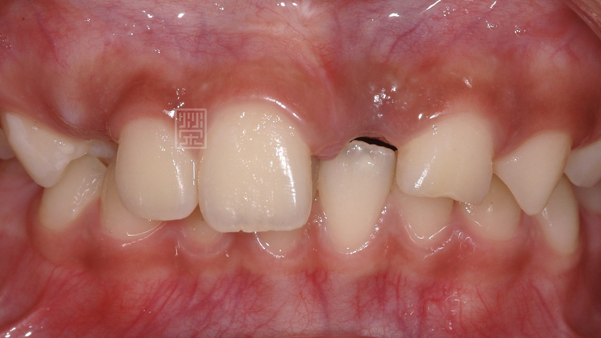
顎側輕微修磨製作馬利蘭牙橋

馬利蘭牙橋製作過程

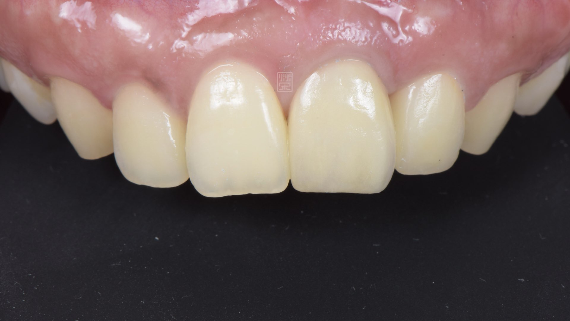
治療十二年後馬利蘭牙橋

初次補骨

植牙與再次補骨

接出植牙支台

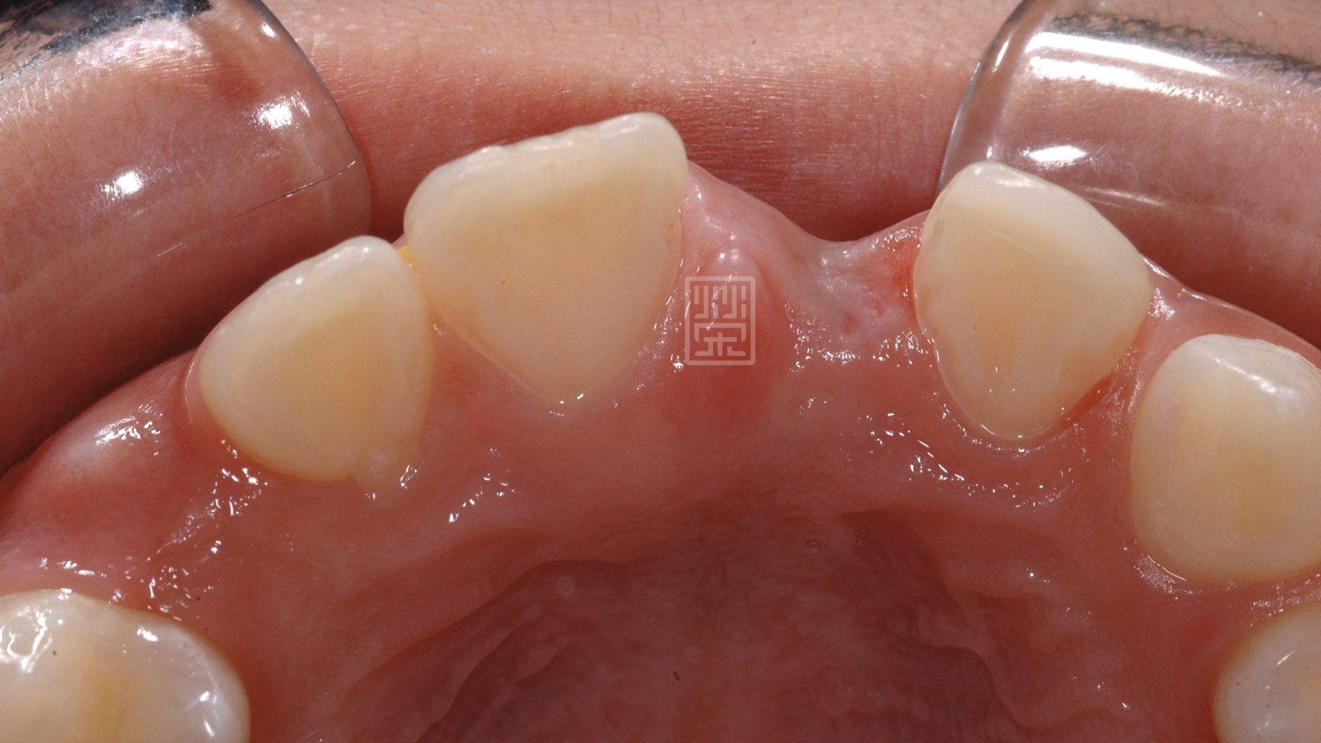
牙齦軟組織重建

植牙臨時假牙

植牙臨時假牙

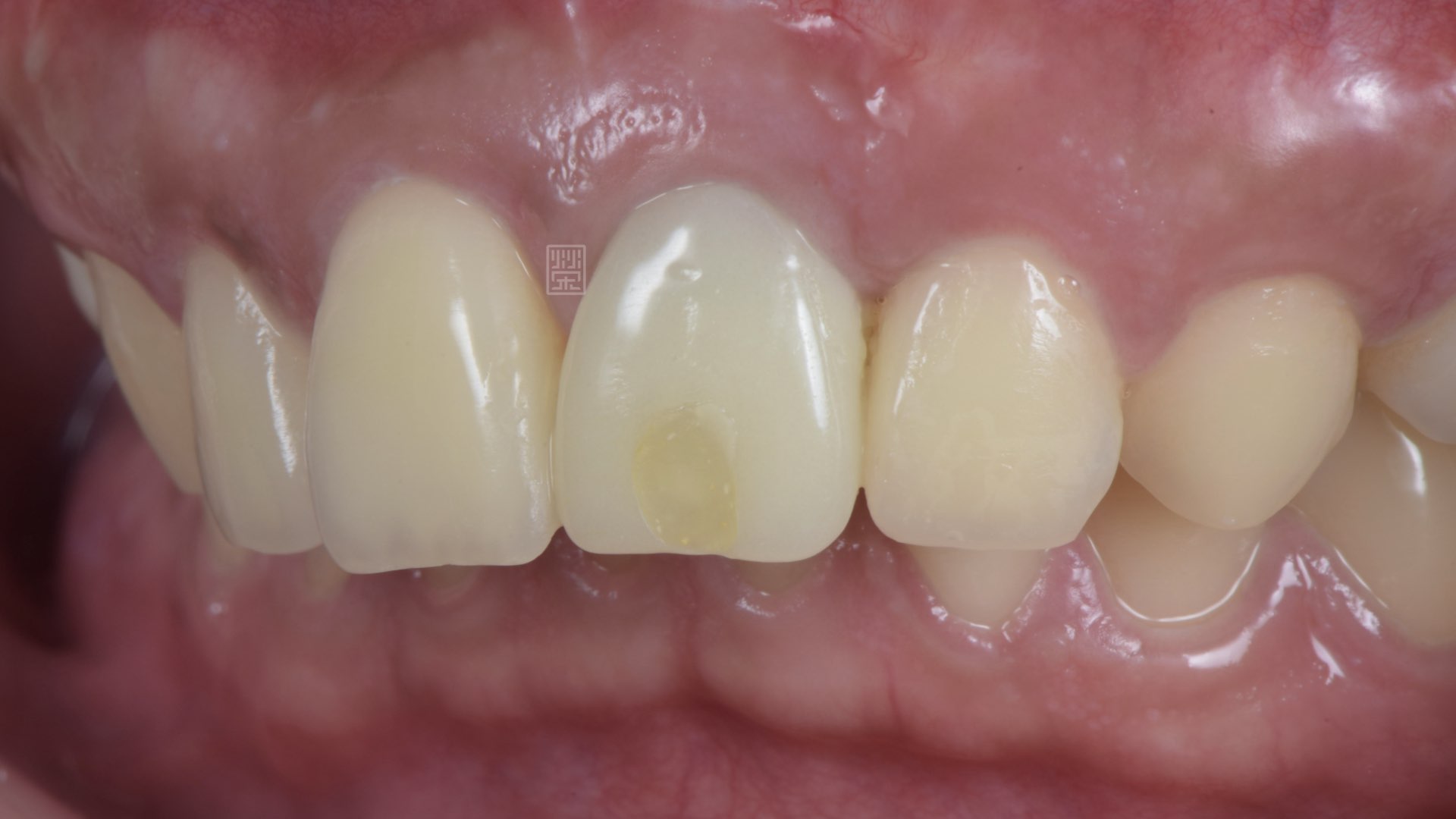
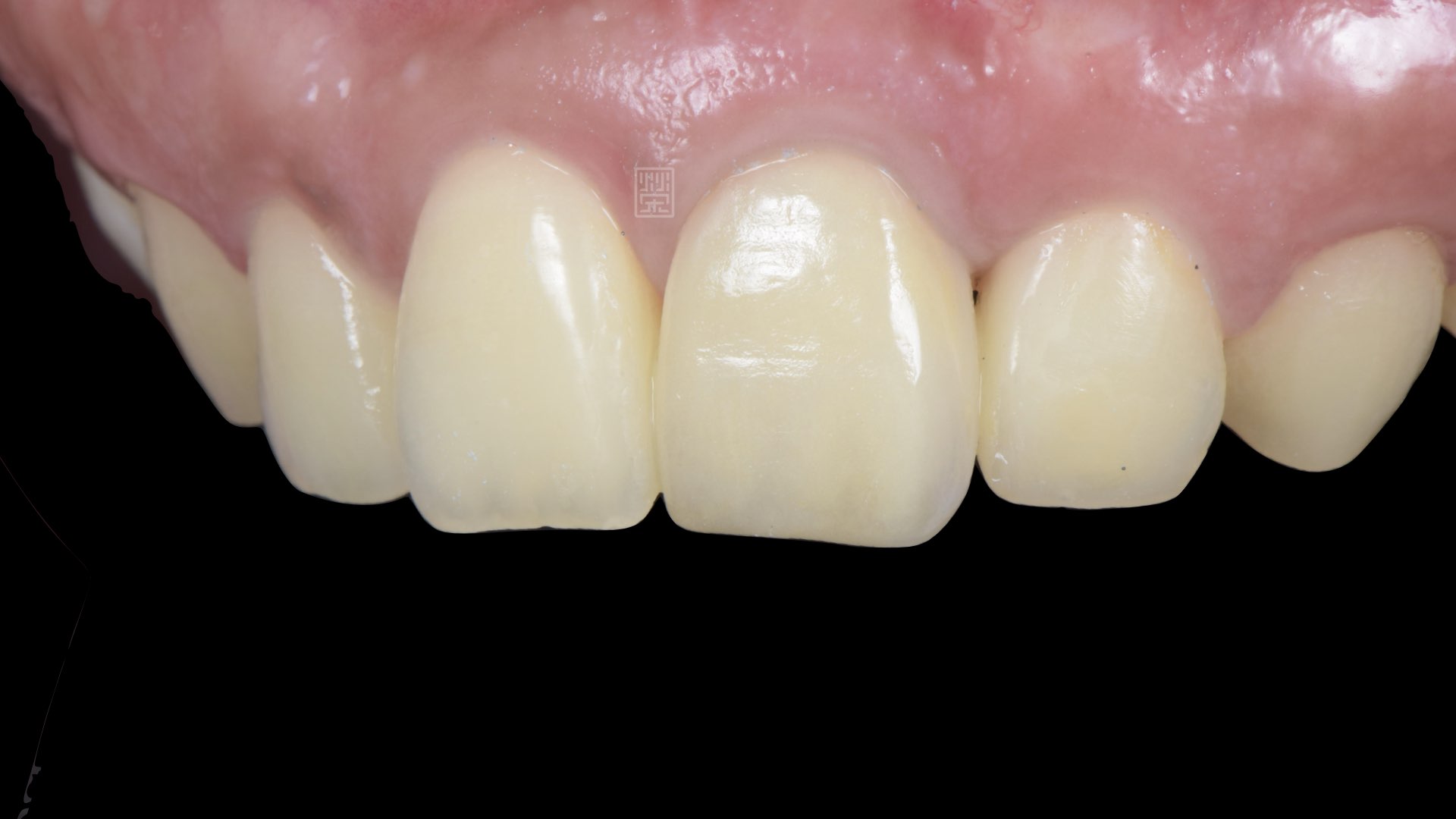
植牙全瓷冠

植牙完成

植牙完成

網站照片 III.015