蔡小姐長年飽受口腔疾患所苦,假牙做的又做,一陣子又掉下來,又得重新來一次。
這次來到榮醫師的診間,是因為上排前面的牙橋,已經掉了,而且裡面牙根蛀壞,連黏上去都很免強;經檢查後發現,除了岌岌可危的上顎前牙牙橋,後牙的牙橋與大臼齒,有許多蛀牙、牙髓發炎、牙根蛀斷等問題,經解說後,與其頭痛醫頭、腳痛醫腳,建議一次完整的處理,除了去除長年累積的問題之外,也希望治療結果不要遷就某些不適合的狀況,以免造成日後又需要重新治療。
診斷後,榮醫師針對上顎前牙與下顎右方後牙牙根嚴重受傷的部分,給予植牙治療計畫,再將牙髓發炎或牙髓根管清除不乾淨牙根重新治療後,再套上新的牙冠,恢復功能與美觀。
在臨時假牙階段,蔡小姐希望牙齒可以長一些,這樣看起來比較有精神,由於下顎前牙齒軸的關係,所以上顎門牙拉長時,也會往嘴唇方向延伸,也就是會比較暴,討論後,建議蔡小姐做下顎局部矯正,將下顎們牙齒軸立正,這樣上顎門牙加長時,就不會有牙齒暴的擔憂了。
功能、型態、長度討論完後,蔡小姐更希望有一口白牙,所以除了植牙牙橋、假牙外,還希望將下顎牙齒用全瓷貼片包覆,改變原本齒色,除了改善齒色外,也將長期樹脂填補變色的問題改善。
整體治療後讓蔡小姐對自己自信提升,敢自信地展開笑容,也不讓來牙科診所,都是充滿了恐懼與不安,取而代之的是定期檢查與簡單清潔。

門牙牙齒歪斜,連笑都不敢太大力,怕牙齒會鬆脫

口內檢查發現,牙齒歪斜,咬合開咬,無法有正常的咀嚼功能

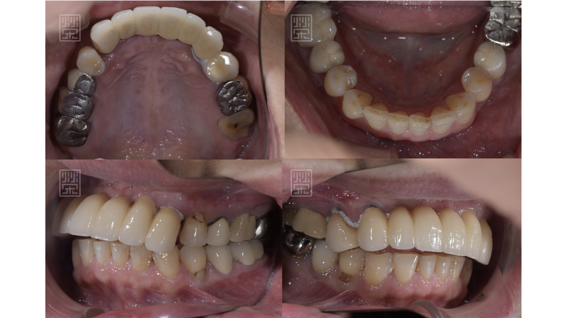
X光片中可以看到,多顆牙齒牙根蛀牙斷裂,牙套周圍二次蛀牙,根尖發炎

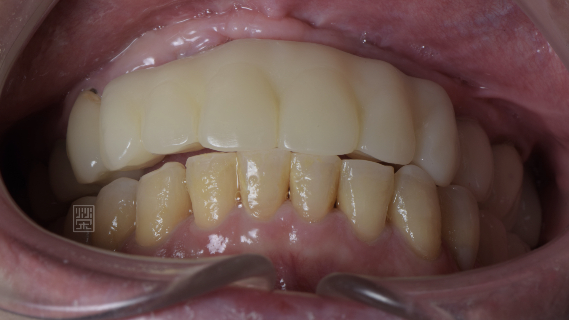
口內照片顯示,假牙黏膠未脫落、邊緣不秘貼,無法正常咀嚼及說話

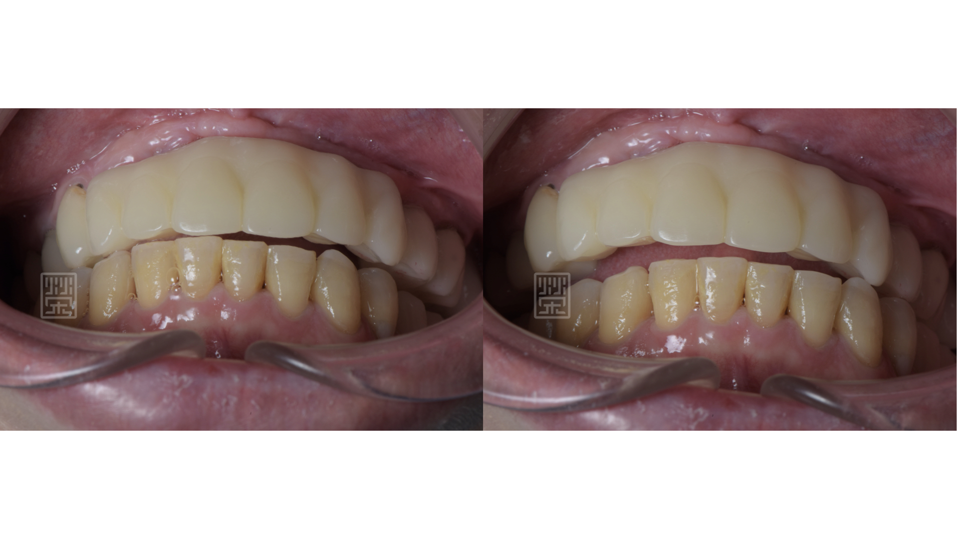
更換臨時假牙後,恢復外觀與功能

更換臨時假牙後,恢復外觀與功能

更換臨時假牙後,恢復外觀與功能

預計增加上顎門牙長度,先將下顎門牙用樹脂恢復原本型態,將貼片的空間先保存起來

藉由矯正,將下顎們牙齒軸拉正

藉由矯正,將下顎們牙齒軸拉正

矯正後,再將門牙拉長,達到理想的牙齒的長度

矯正後,再將門牙拉長,達到理想的牙齒的長度

適當分配牙齒導引位置,保護前後牙

適當分配牙齒導引位置,保護前後牙

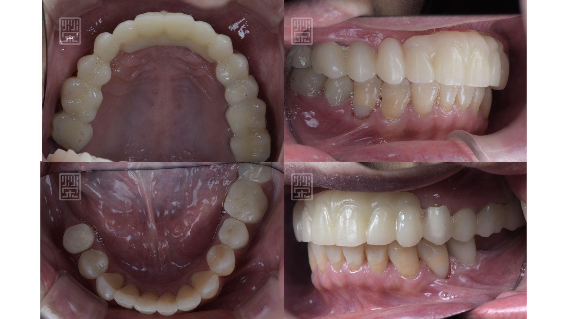
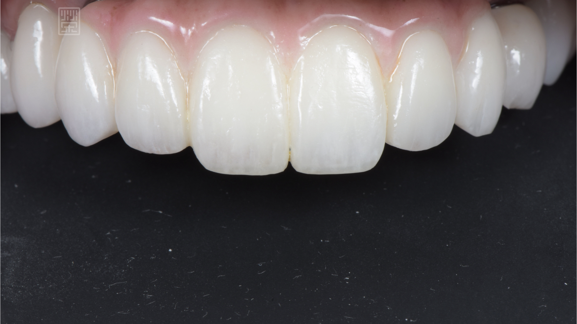
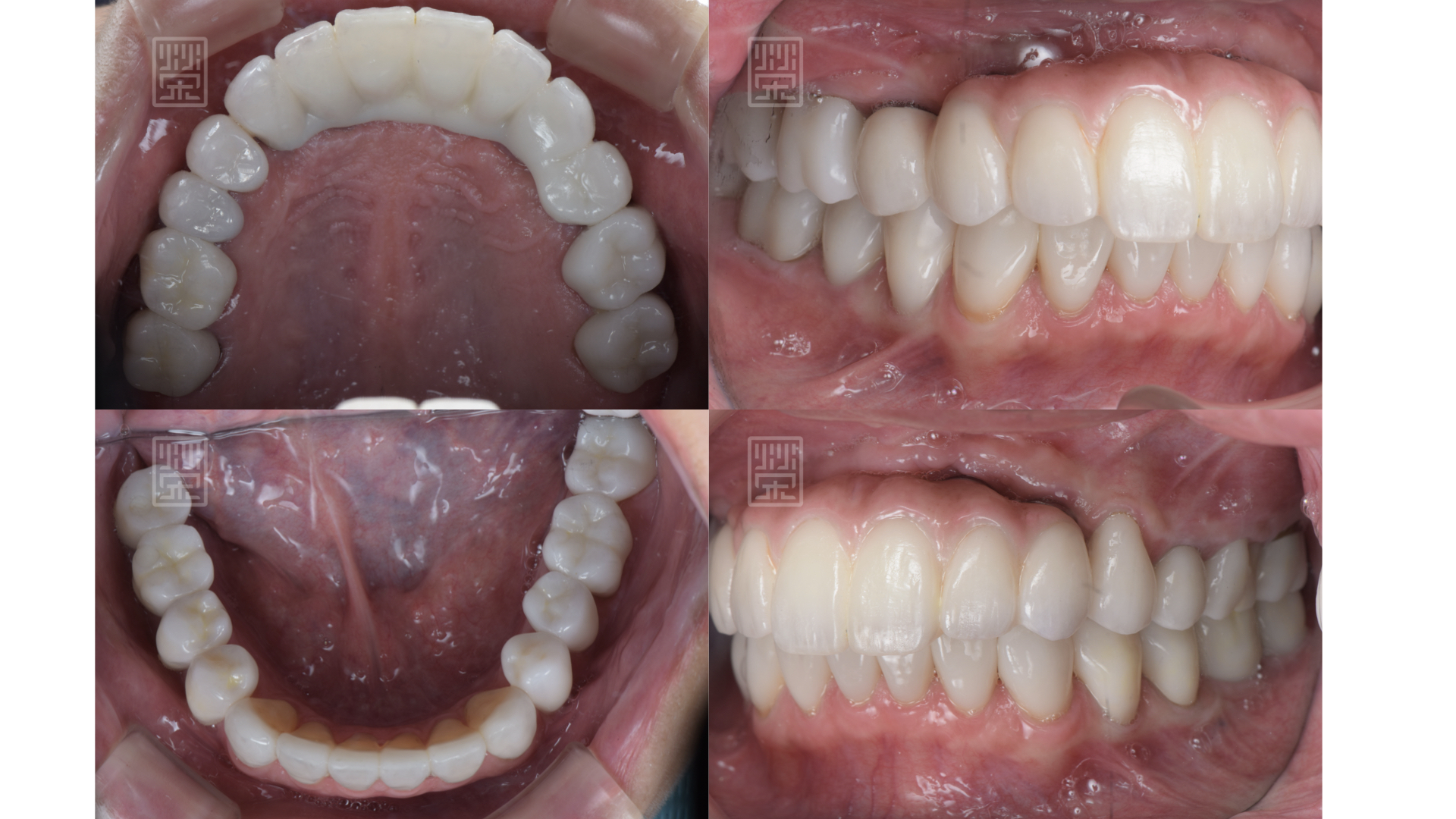
用全瓷牙橋與牙齦色陶瓷,恢復牙齒外觀與型態

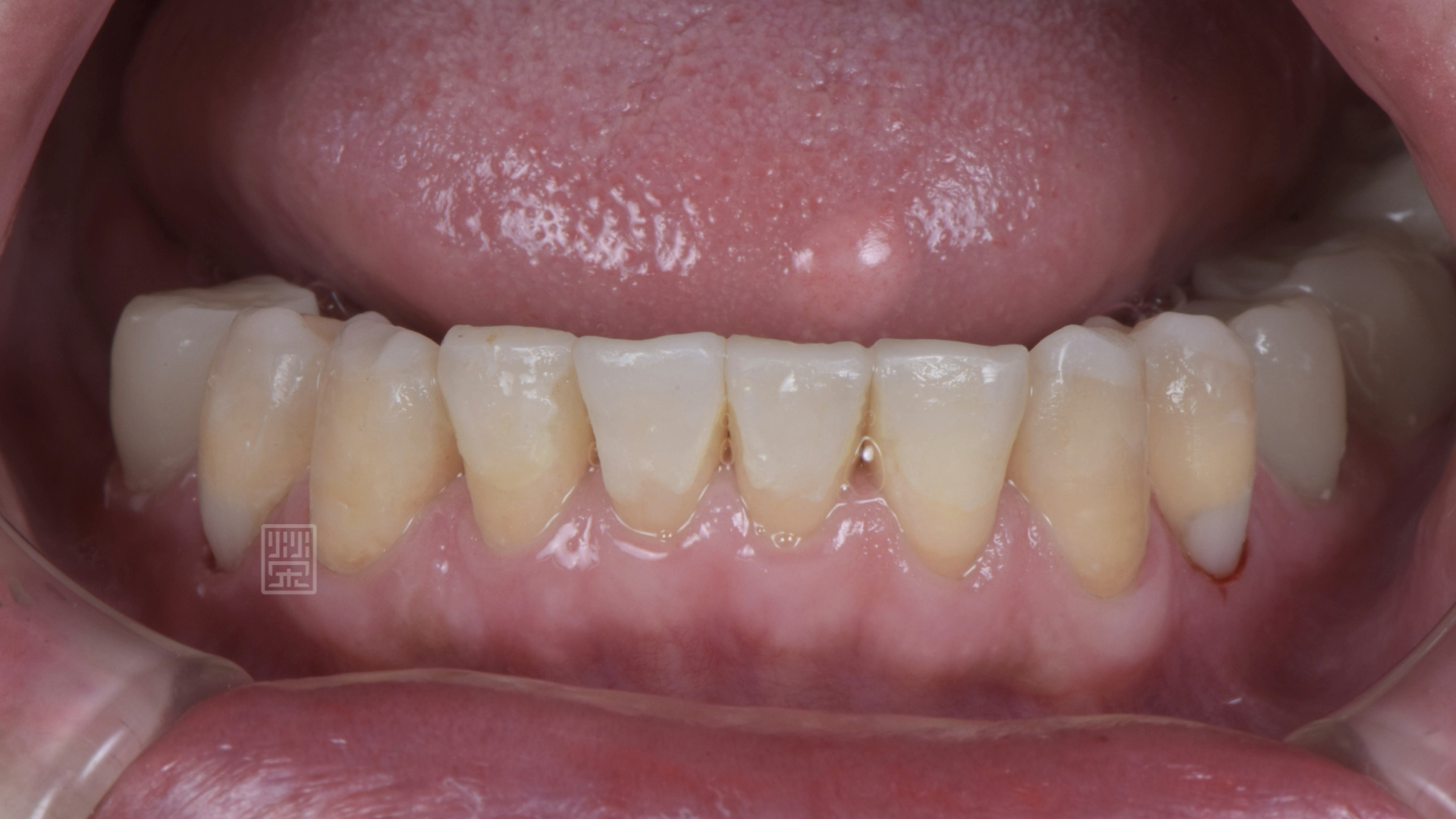
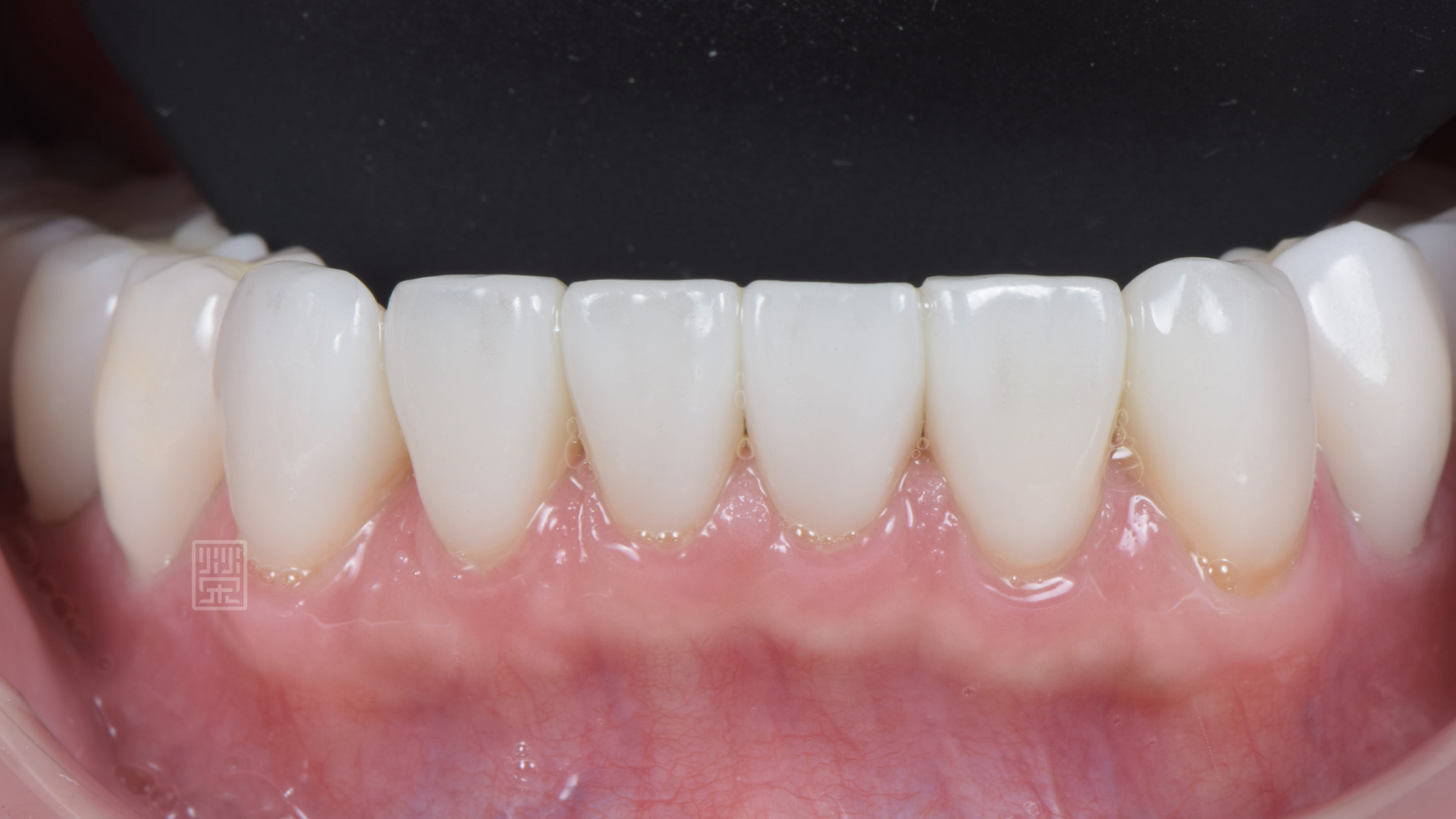
玻璃陶瓷貼片改變下顎門齒顏色與型態

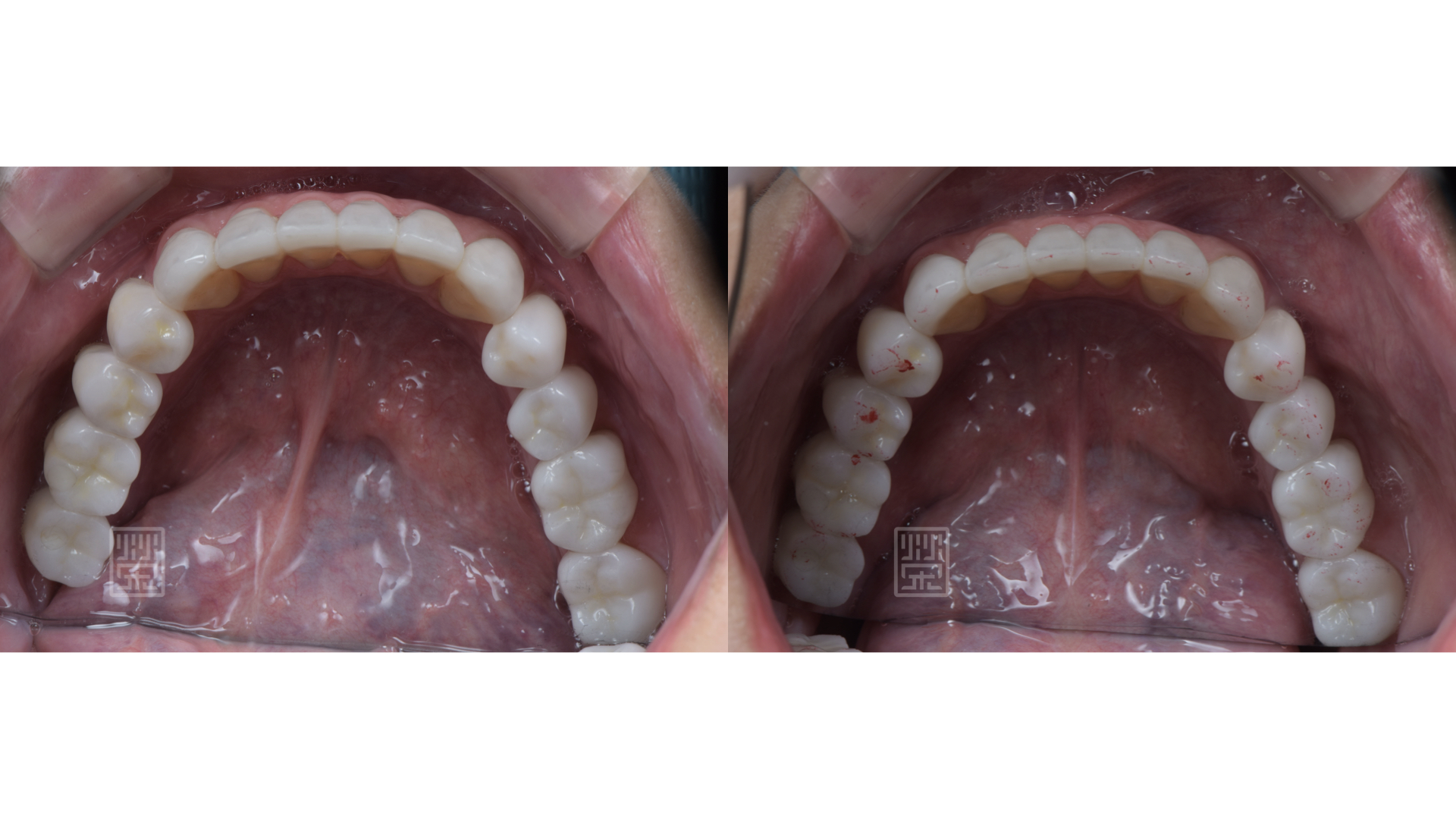
X光檢查下,全瓷贋復物與牙齒秘貼性良好,讓清潔容易好維持

全瓷贋復物完成

適當的咬合分配

適當的咬合分配

藉由臨時假牙、矯正、更新臨時假牙,讓型態、長度、唇形充分瞭解與溝通

自信開朗的笑容

自信開朗的笑容