因為牙周病,牙齒都不穩了————植牙全口重建

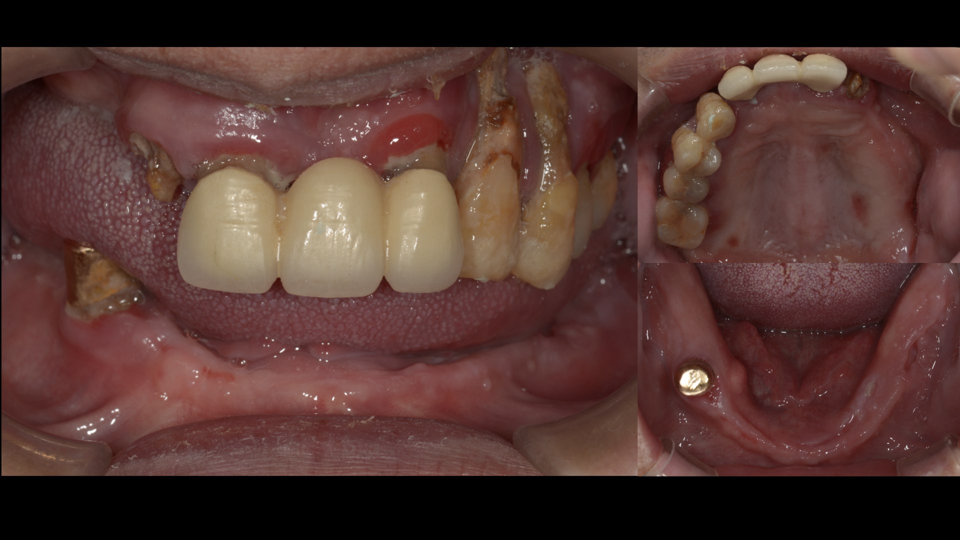
陳大哥經朋友介紹來榮醫師,長期工作忙碌的他,因為沒有細心照顧,造成口腔狀況很不好,有嚴重牙周病,飲食、健康出了一些狀況。
榮醫師檢查後,除了現有活動義齒狀況不好之外,現有牙齒與牙根的狀況也不好,經討論後,活動義齒不符合平日的需求,轉而向全口植牙義齒。
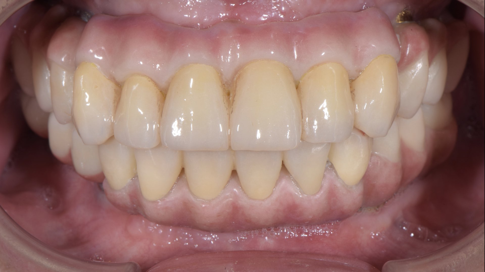
經由紀錄現有咬合與高度、分析口腔狀況、手術、臨時義齒恢復口腔功能與美觀、完成正式口腔義齒與功能,讓陳先生不再擔心吃飯的問題,更可以放心的講話,有更豐富精彩的生活方式。
嚴重牙周病
嚴重牙周病



全口植牙固定義齒
全口植牙固定義齒





網站照片.061
網站照片.061