榮醫師檢查後,發現他有許多牙根的都有嚴重牙周病,經由牙周病游惠捷醫師治療完成後,穩定了現有的牙根,但是,問題就在於缺牙旁的支柱牙本身的狀況也不是非常理想。
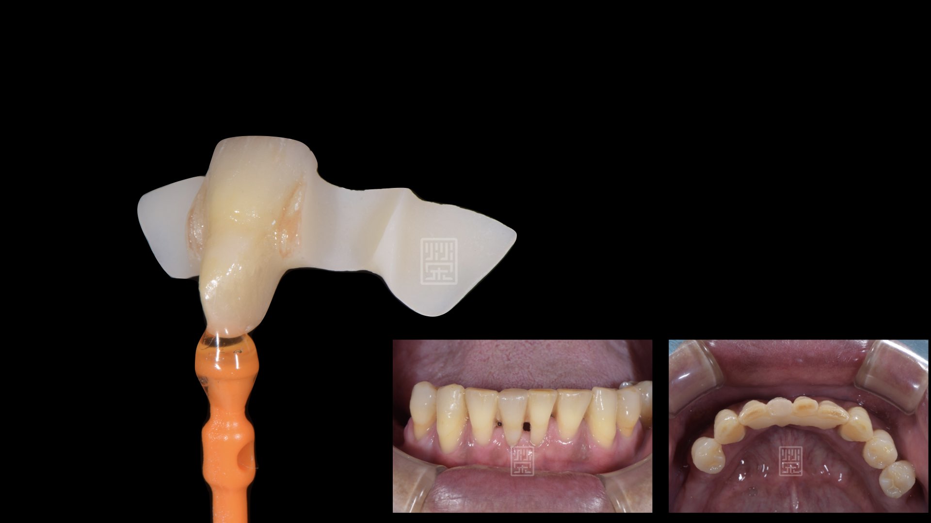
與Daniel討論後,由於時間與現有狀況的考量,與口腔外科陳昭明醫師討論,上顎建議兩顆植牙的覆蓋式全口義齒,下顎缺牙處,後牙用局部活動義齒,前牙用黏貼式固定義齒(Maryland Bridge),減少對臨牙的傷害。
感謝游惠捷醫師與陳昭明醫師這兩位強大的夥伴,讓Daniel可以重新展開笑容,可以輕鬆自在的選擇喜歡的飲食。

活動義齒不穩定

Maryland bridge(黏貼式固定義齒)

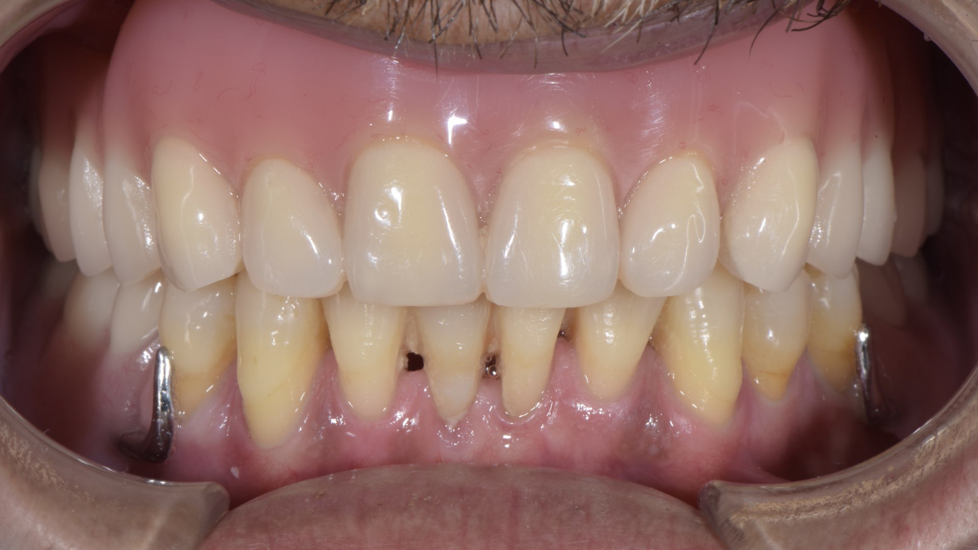
假牙完成


網站照片.075

感謝陳昭明醫師精湛的手術