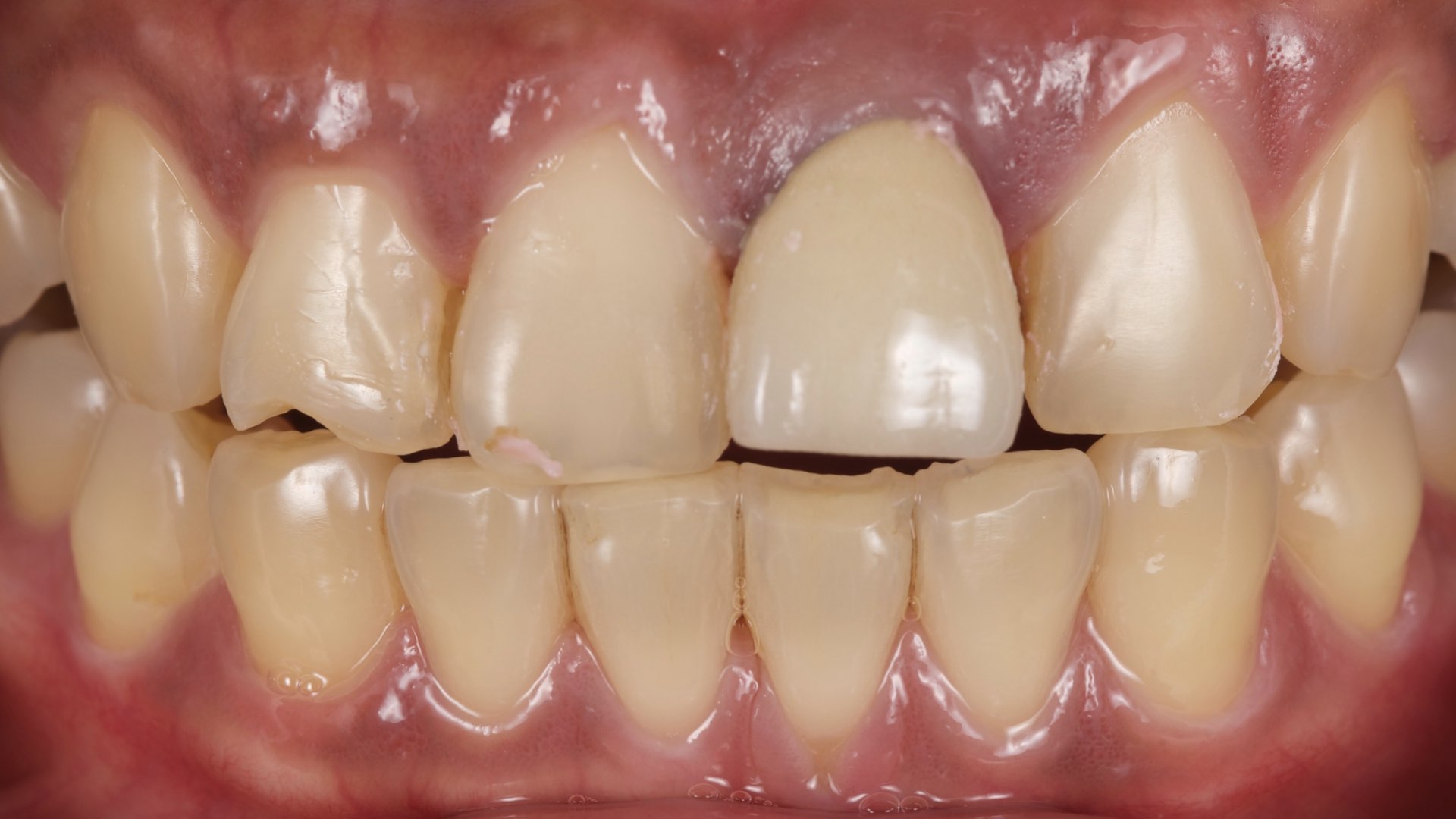
來到診間聽到這樣的描述,榮醫師心裡都涼了一半,拍了X光片,果然發現牙齒從中間斷掉了,只好走向植牙的治療流程。
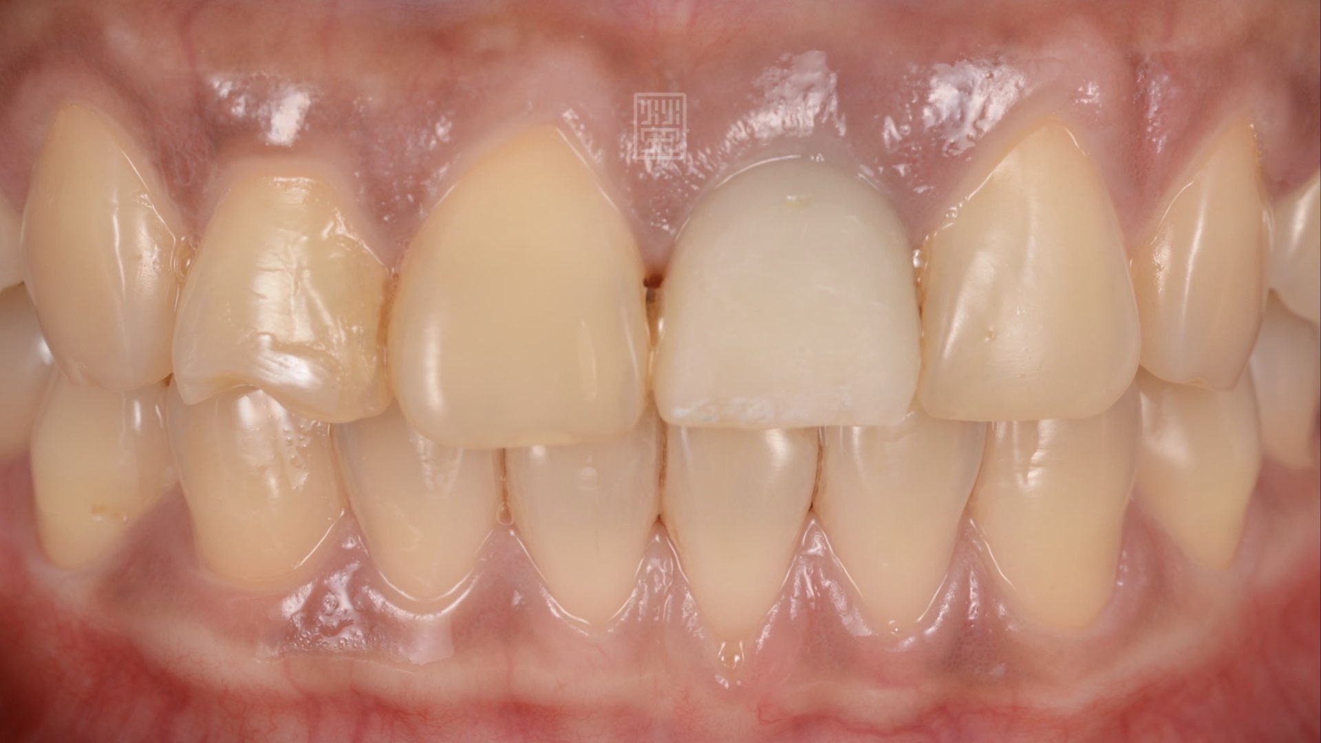
立即安排最快的時間,手術後,因為在門牙,所以馬上裝上臨時假牙,但是,榮醫師耳提面命,這個臨時假牙只是為了美觀好看,『絕對』不能咬,否則植牙還沒癒合穩定,咬壞了,治療的複雜度會變得非常困難。
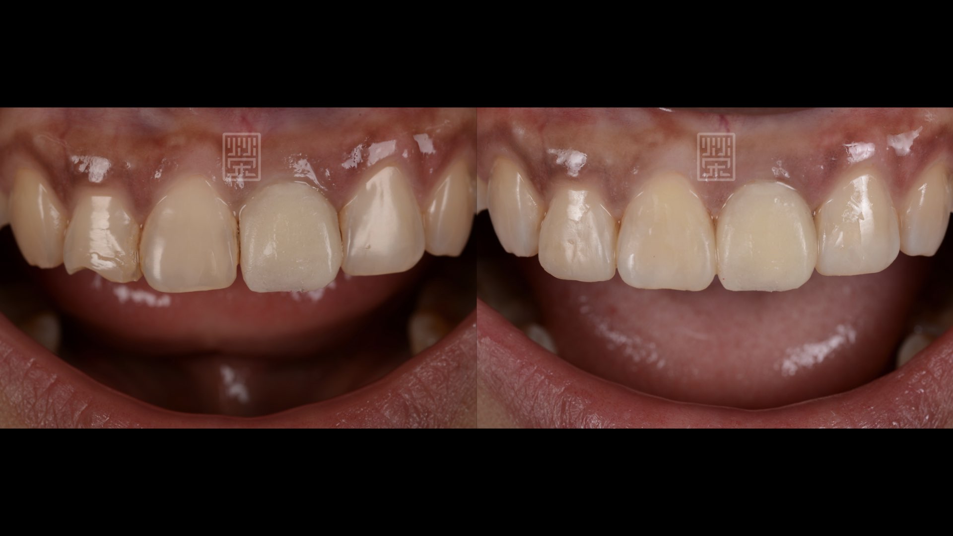
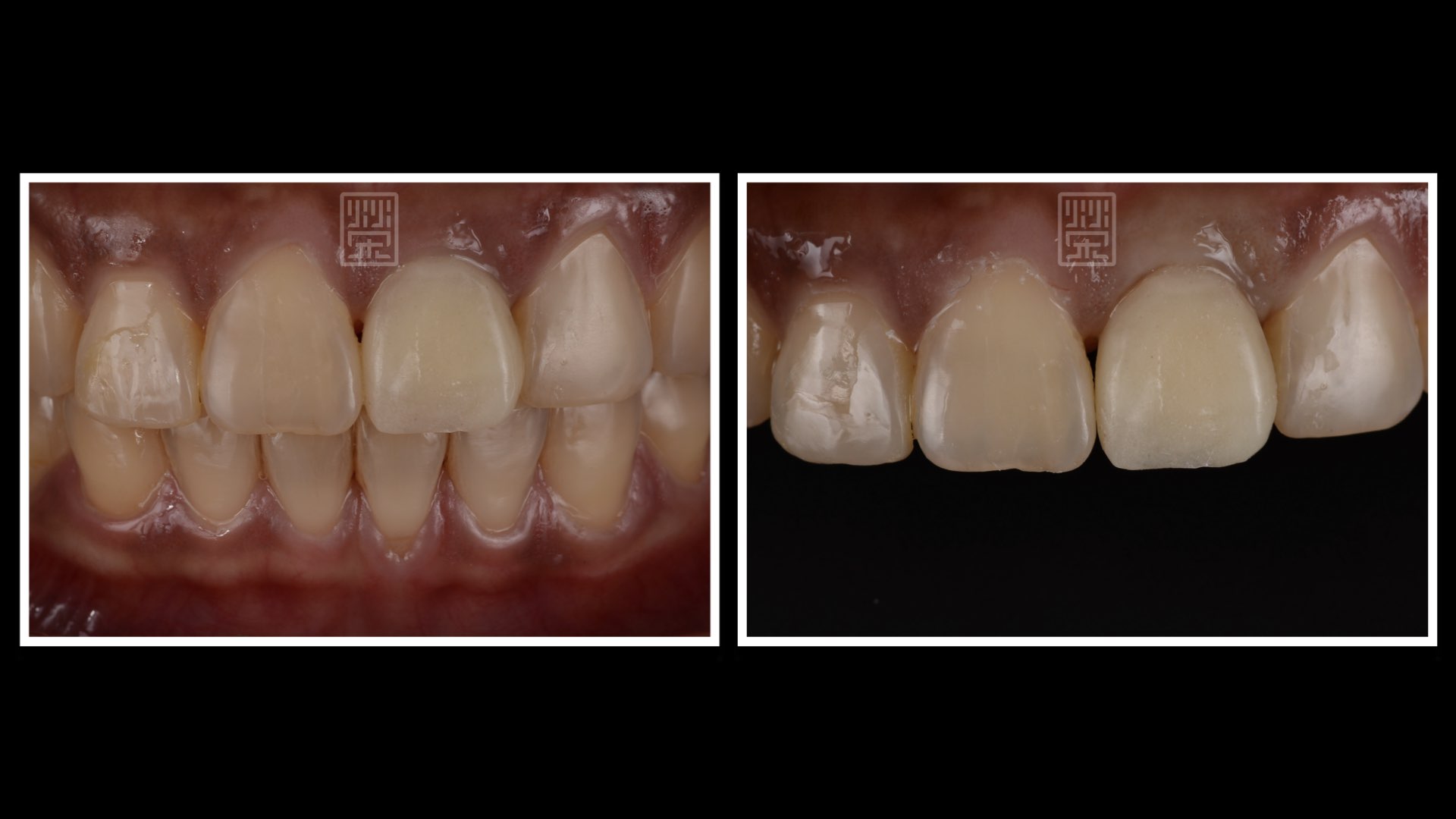
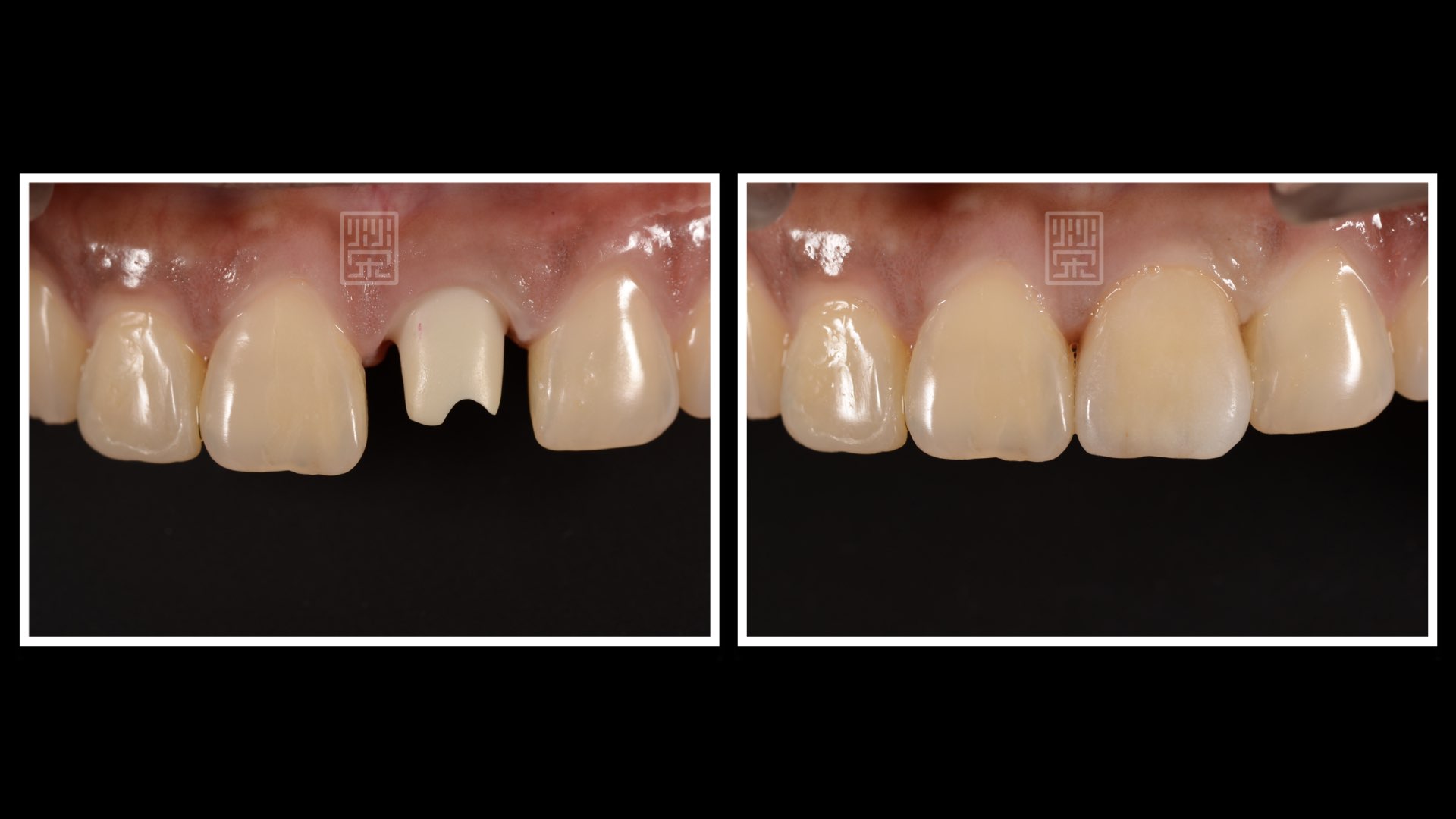
等到植體癒合完畢,就裝假牙嗎?當~~然不是,除了咬斷這顆牙外,鄰接牙齒也有許多問題,包含型態大小不對、蛀牙、樹脂變色等等,將這些病兆都處理完後,將植牙周圍的牙齦重新塑型,變成跟鄰接牙型態相仿,再將臨時假牙至換成全瓷支台與全瓷冠。

咬到硬物,牙齒脫出

牙齒脫出,從齒頸部橫斷

牙齒拔除,臨時假牙立即製作

植體癒合完畢

重新修復臨牙蛀牙與型態

牙齦塑形

置換全瓷支台與全瓷冠
