牙齒咬起來好痛,而且牙齒變長了------植牙全瓷冠修復

王先生多年前完成假牙治療,這陣子突然咬東西會覺得不舒服,而且覺得假牙變長、牙齦邊緣變黑。

榮醫師檢查完後,發現除了舊的假牙邊緣變色外,還有個很嚴重的問題,因為很年輕的時候牙齒就根管治療,牙齒齒壁很薄,當時釘子很粗壯,長期下來,牙根已經產生裂痕。

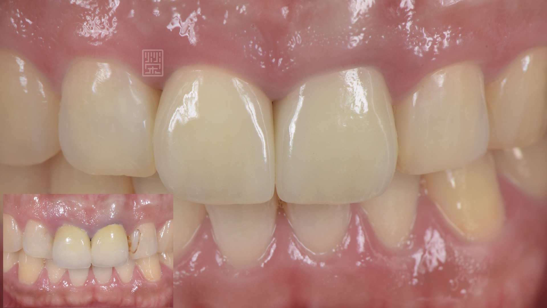
拆下假牙後,果不其然在牙根中看到裂痕,跟王先生解說後,告知無法保留牙齒,討論後決定以植牙修補這顆牙齒,再將側門牙的舊樹脂,利用全瓷植牙之台與全瓷冠修復,恢復美觀與健康。
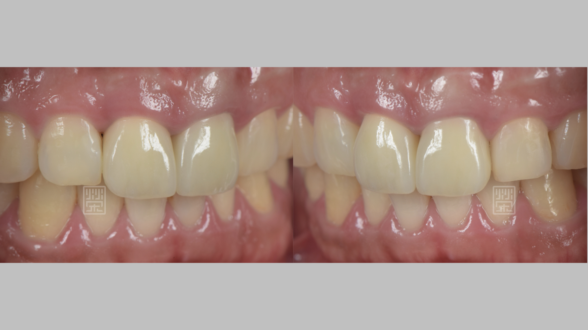
假牙邊緣變色、樹脂變色、牙齒變長
假牙邊緣變色、樹脂變色、牙齒變長

牙根有裂痕
牙根有裂痕

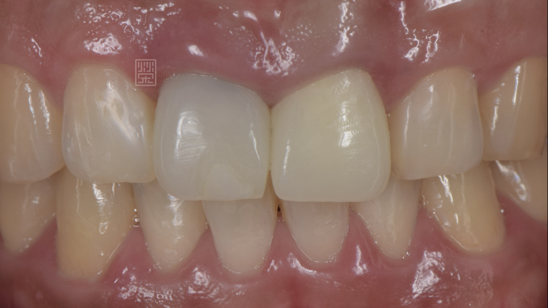
植牙臨時假牙
植牙臨時假牙

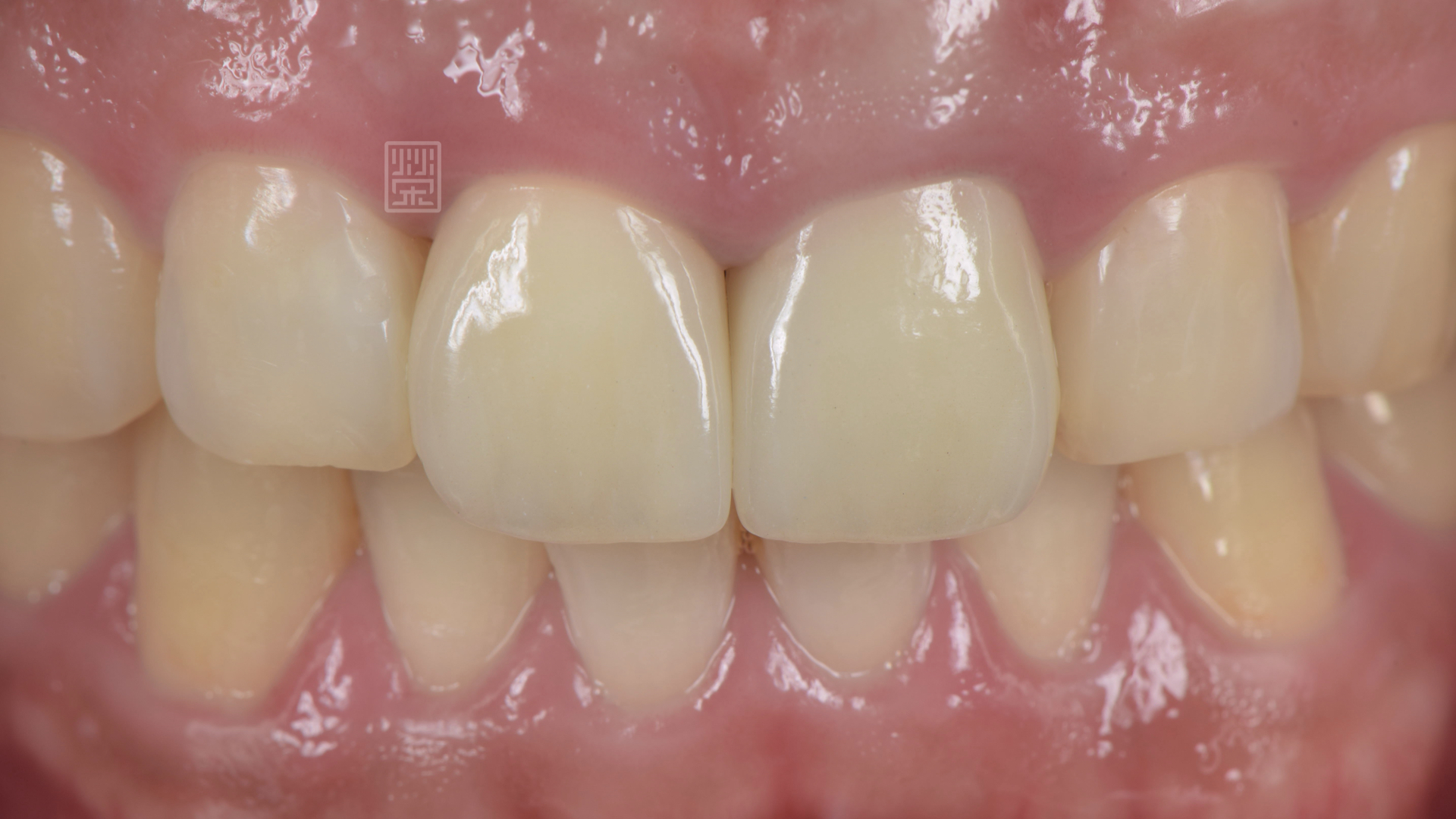
全瓷支台
全瓷支台

植牙全瓷冠完成
植牙全瓷冠完成