我根管治療後的牙齒變黑變黃了之二---全瓷冠、齒內美白治療

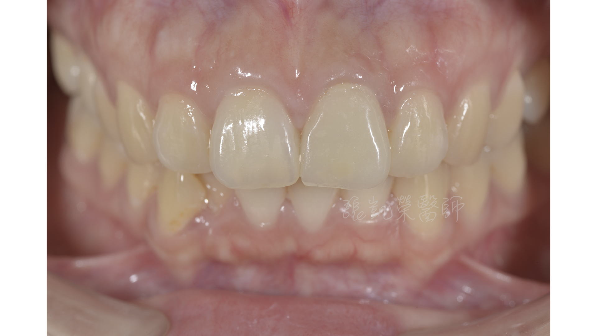
榮醫師,我左邊根管治療後的門牙,最近我覺得變黑了~~

檢查後,榮醫師發現,張小姐因為多年前牙齒撞到神經受傷,根管治療後持續到現在,除了牙冠牙色較暗之外,因為牙根也跟著變色,所以牙齦顏色也比較暗沈。

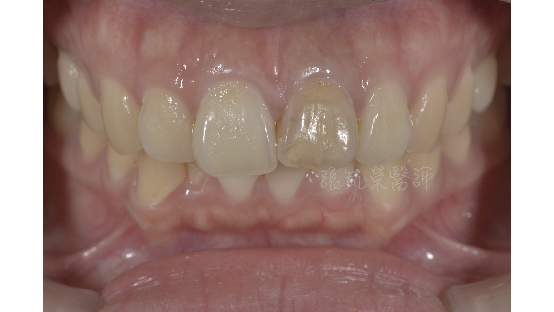
討論之後,榮醫師建議在全瓷冠治療之前,要先做齒內美白,把牙齒與牙根的顏色淡化,之後再藉由碳纖維柱釘與全瓷冠恢復牙齒的強度與美觀。


 


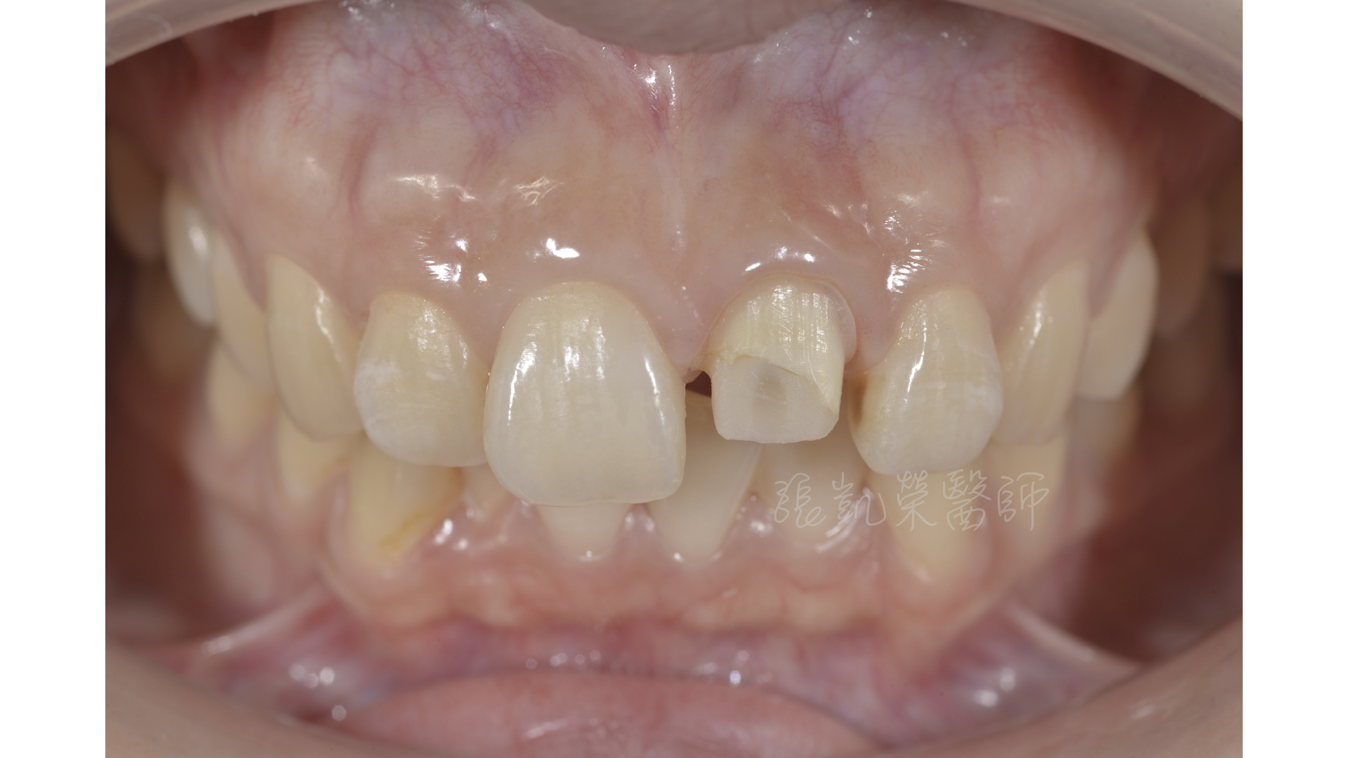
齒內美白與碳纖維柱釘治療後
齒內美白與碳纖維柱釘治療後

臨時假牙
臨時假牙