牙齒大小不均,齒色變黃------美白、全瓷冠、貼片、牙齦整形術修復

榮醫師,我牙齒顏色不好看,可以做全瓷冠改善嗎?


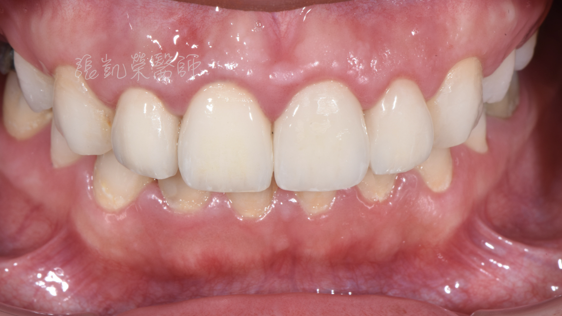
陳小姐矯正結束後,覺得牙齒顏色不好看,想要把門牙都做全瓷冠改善。
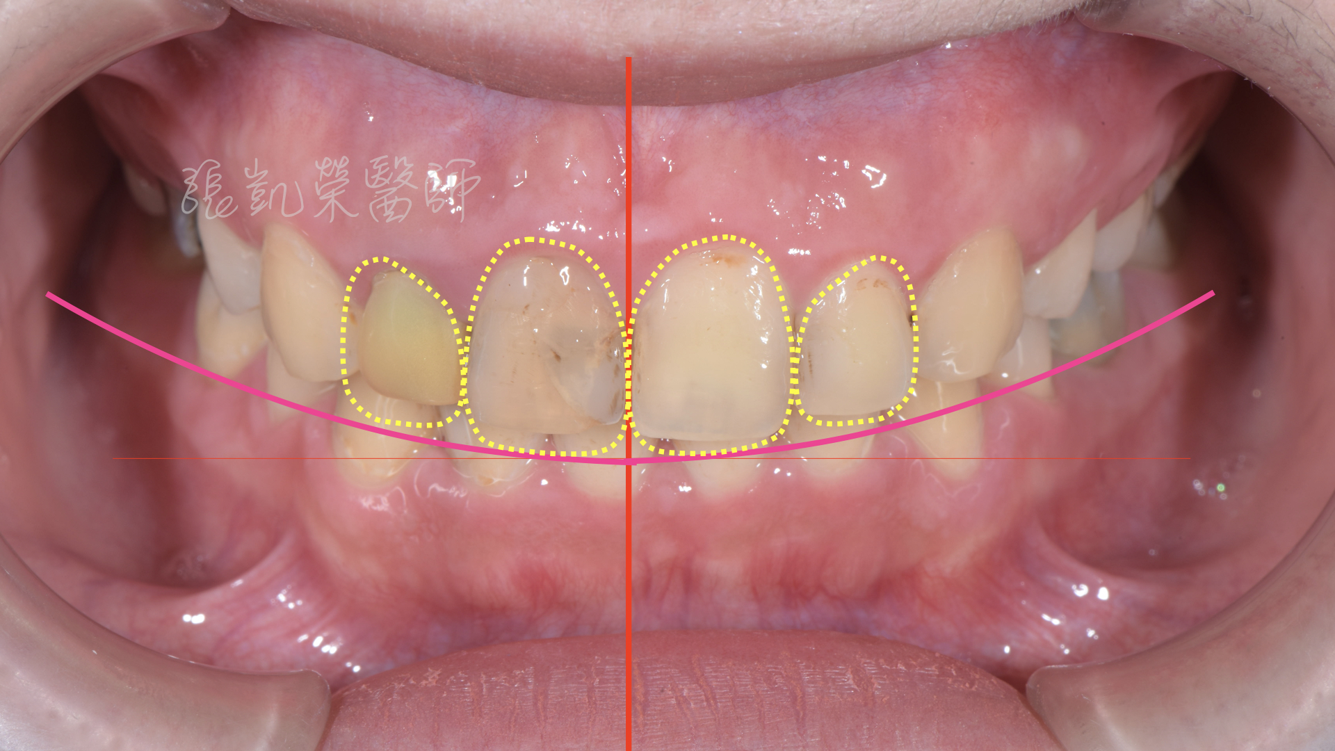
榮醫師檢查後發現,除了牙齒顏色外,還有中線偏斜、水平不齊、門牙大小不均、牙齦高低不齊等問題。

榮醫師建議先做牙齦整形術,將牙齦的位置調整齊,再用美白讓牙齒顏色亮白。
但除了做過根管治療的牙齒,牙齒較脆弱用全瓷冠修復外,其餘兩顆門牙為了減少傷害,用貼片修復,可以改善型態與大小,讓整體顏色、形態、中線水平做一併調整。


數位美學設計
數位美學設計