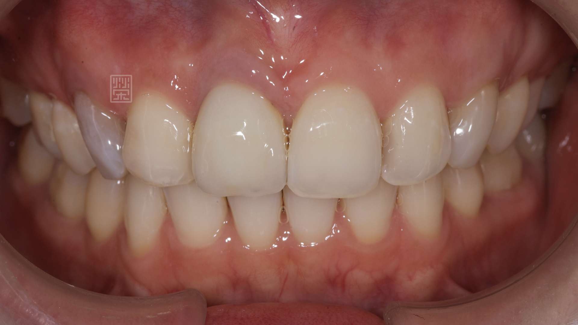
呂小姐是為矯正完成多年的患者,結束後除了全瓷冠製作,也定期回來做檢查,整體清潔習慣都很好,有一天突然來電,描述牙齒突然變黑了!!!
檢查後的確發現牙齒顏色變暗沉,神經活性檢查後,發現牙齒牙髓壞死了,可能是有外力撞擊後,造成牙齒牙髓慢性壞死,所以沒有感覺到疼痛,但由於牙齒的結構非常完整,所以在根管治療後,利用齒內美白,將牙齒的深色漂淡,再用樹脂填補,利用最小傷害微創的方式,恢復牙齒的美觀與功能。

右側犬齒顏色變深沉

右側犬齒顏色變深沉

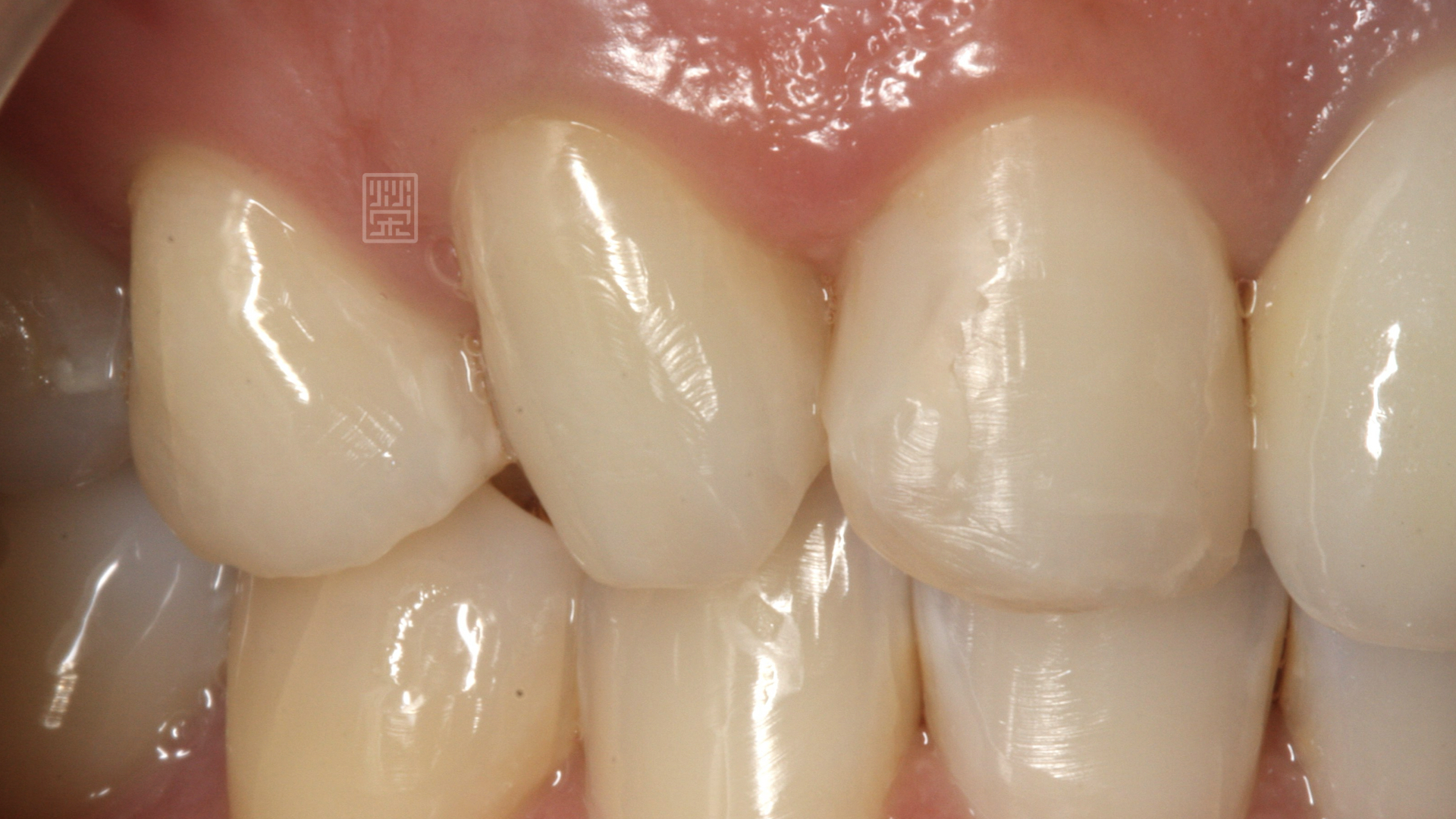
根管治療後尺內美白,讓牙齒顏色恢復原本色階

齒內美白後,與鄰牙對側牙顏色和諧

齒內美白後,讓整體顏色恢復和諧狀態

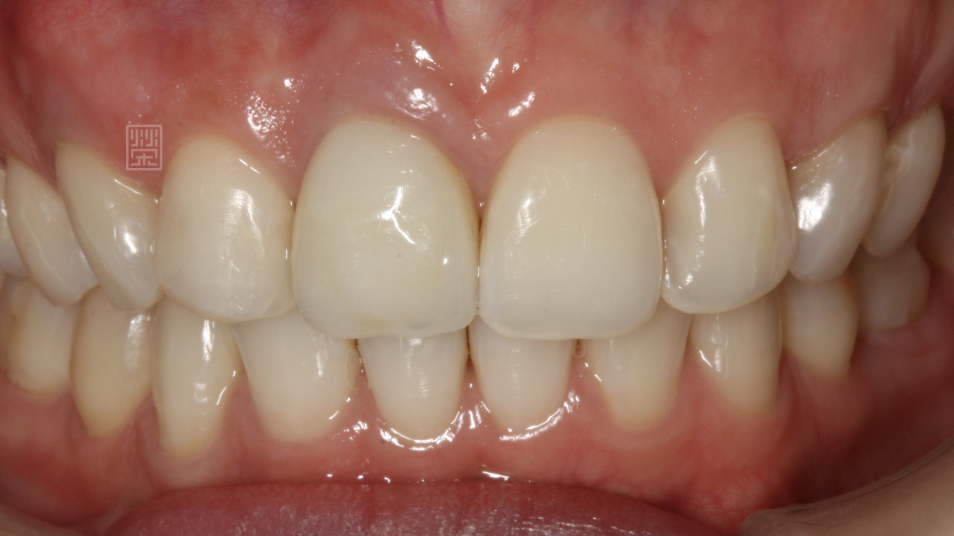
齒內美白前後對照