我的門牙有縫,能夠傷害牙齒最小的狀況下,把縫關起來嗎---顯微貼片治療

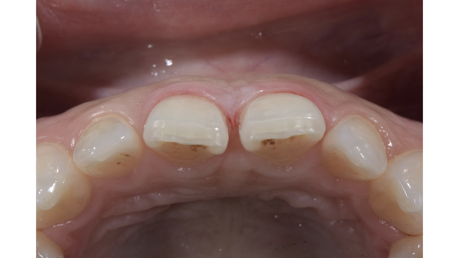
榮醫師,我的門牙有牙縫,我想要把他關起來,能夠怎麼處理呢?

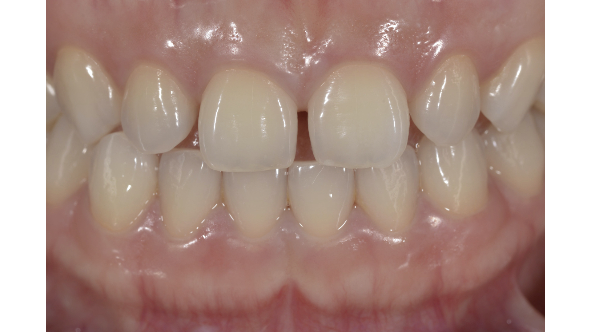
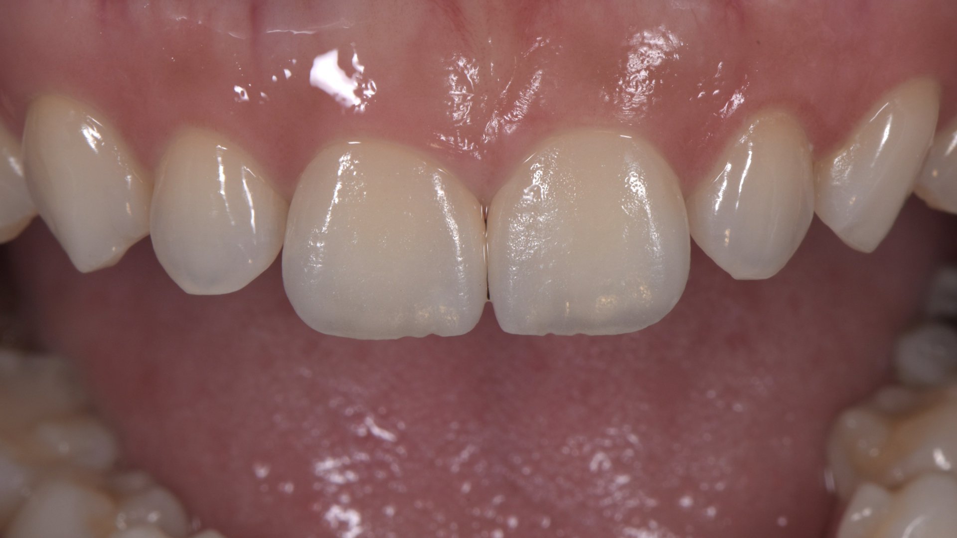
經過檢查,榮醫師發現,原本林小姐的牙齒比較小,填不滿整個牙弓,再加上牙齒有點內縮,所以榮醫師建議她做顯微貼片,一來修復牙齒縫的問題,再來將牙齒豐隆度增加一些,這樣對牙齒的傷害很小,術後都不會有敏感的症狀。

治療結果林小姐很滿意,榮醫師對於貼片細節的呈現也非常的滿意與自豪喔~~
門牙中間有縫
門牙中間有縫

微創修磨
微創修磨

顯微貼片
顯微貼片