Dr. Chang Kai Jung
臉的是對稱的嗎?讓我們來放大檢視一下
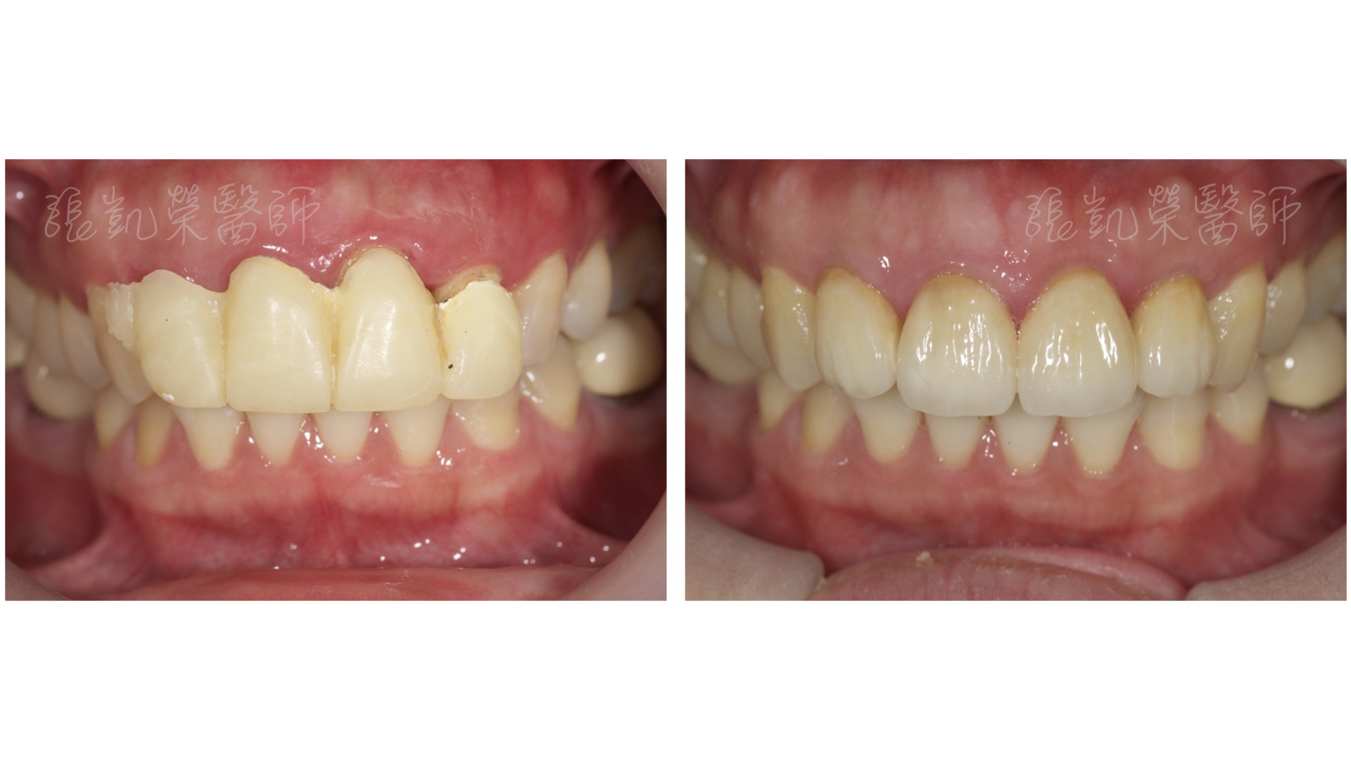
局部矯正後,牙齒萌出會伴隨牙齦組織的改變,藉由牙冠增長術調整,增加牙齦穩定。
當牙齒斷裂至牙齦,幾乎沒有牙齒了,要怎麼保留牙齒呢?