美白貼片常見13個問題

燦爛自信的笑容

美白好?還是貼片適合呢?

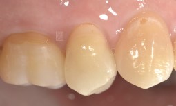
大笑後的尷尬---黑色銀粉填補

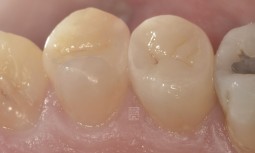
全瓷冠、貼片該怎麼選擇呢?

貼片要磨牙齒嗎?

擁有自信的笑容

讓您輕鬆面對各種鏡頭!

假牙能美白嗎?

牙齒美白兩三事

牙齒怎麼白才好看呢---臨床篇

關於美容牙科



美容牙科最重要的是什麼呢?
榮醫師覺得是對美的認知。

榮醫師常在門診中,問病友想要的美麗笑容是什麼。

唯有達到您心裡的美,才是榮醫師推薦的美容牙科治療。

首先了解每位病友心中對美的要求,量身打造專屬牙齒美白治療方式,藉由牙周、根管、矯正、植牙、冷光美白、貼片、全瓷冠與顯微鏡微創治療,達到不只健康,更希望讓您發出打從心底燦爛自信的笑容。
doctor