• 牙科美容資訊
    • 全部文章
    • 全瓷冠貼片
    • 牙齒美白
    • 全瓷嵌體
    • 人工植牙
    • 健康保健
  • 案例介紹
    • 全部案例
    • 全瓷冠貼片
    • 牙齒美白
    • 全瓷嵌體
    • 植牙全口重建
  • 醫師動態
  • 診所資訊
  • 回首頁

張凱榮醫師

Dr. Chang Kai Jung

案例介紹

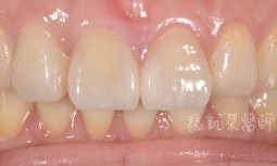
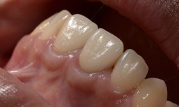
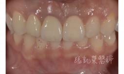
  • 矯正微笑重建---全瓷冠合併全口美白
    矯正微笑重建---全瓷冠合併全口美白
  • 牙齒磨損---全瓷貼片合併牙齦整形
    牙齒磨損---全瓷貼片合併牙齦整形
  • 樹脂變色---全瓷貼片治療
    樹脂變色---全瓷貼片治療
  • 笑齦太多牙齒內縮---全瓷貼片合併牙齦整形術
    笑齦太多牙齒內縮---全瓷貼片合併牙齦整形術
  • 牙齒些微不整齊,多數樹脂填補變色---全瓷貼片合併全口美白
    牙齒些微不整齊,多數樹脂填補變色---全瓷貼片合併全口美白
  • 多處齒縫牙齒偏小---全瓷貼片修復
    多處齒縫牙齒偏小---全瓷貼片修復
  • 牙齒多處樹脂填補變色---全瓷貼片合併美白治療
    牙齒多處樹脂填補變色---全瓷貼片合併美白治療
  • 牙齒大小不均---矯正後合併全瓷冠貼片治療
    牙齒大小不均---矯正後合併全瓷冠貼片治療
  • 根管治療後牙齒變黃---全瓷冠合併齒內美白
    根管治療後牙齒變黃---全瓷冠合併齒內美白
  • 牙齒很黃多顆嚴重蛀牙---全瓷冠併全瓷貼片
    牙齒很黃多顆嚴重蛀牙---全瓷冠併全瓷貼片
  • 貼片變黑並且脫落---全瓷冠併齒內美白
    貼片變黑並且脫落---全瓷冠併齒內美白
  • 牙縫漏財---超薄貼片修復
    牙縫漏財---超薄貼片修復
  • 磨牙牙齒變短---全瓷貼片修復
    磨牙牙齒變短---全瓷貼片修復
  • 根管治療齒色變暗---全瓷冠合併齒內美白
    根管治療齒色變暗---全瓷冠合併齒內美白
  • 假牙歪斜,牙齦萎縮,牙齦變黑---全瓷冠合併牙齦整形術
    假牙歪斜,牙齦萎縮,牙齦變黑---全瓷冠合併牙齦整形術
  • 牙齒顏色變黃斑駁,排列不整齊---全瓷冠治療
    牙齒顏色變黃斑駁,排列不整齊---全瓷冠治療
  • 假牙邊緣牙齦變黑---全瓷冠
    假牙邊緣牙齦變黑---全瓷冠
  • 假牙太長---全瓷冠合併矯正治療
    假牙太長---全瓷冠合併矯正治療
  • 笑齦太多---全瓷冠貼片併牙齦整形術
    笑齦太多---全瓷冠貼片併牙齦整形術
  • 假牙變色,齒色暗沈---全瓷冠併全口美白
    假牙變色,齒色暗沈---全瓷冠併全口美白
  • Prev
  • 1
  • 2
  • 3
  • Next

© 2026 美容牙科張凱榮醫師. All Rights Reserved | Design by W3layouts

  • 牙科美容資訊
  • 案例介紹
  • 常見問題
  • 醫師動態
  • 診所資訊
  • 回首頁