• 牙科美容資訊
    • 全部文章
    • 全瓷冠貼片
    • 牙齒美白
    • 全瓷嵌體
    • 人工植牙
    • 健康保健
  • 案例介紹
    • 全部案例
    • 全瓷冠貼片
    • 牙齒美白
    • 全瓷嵌體
    • 植牙全口重建
  • 醫師動態
  • 診所資訊
  • 回首頁

張凱榮醫師

Dr. Chang Kai Jung

案例介紹

  • 牙齒門牙好長,像小老鼠一樣,要怎麼辦呢?------全瓷貼片
    牙齒門牙好長,像小老鼠一樣,要怎麼辦呢?------全瓷貼片
  • 我的兩顆大黃牙怎麼辦?---美白全瓷冠修復
    我的兩顆大黃牙怎麼辦?---美白全瓷冠修復
  • 我的牙齒有點小------全瓷冠貼片合併牙齦整形術
    我的牙齒有點小------全瓷冠貼片合併牙齦整形術
  • 我的牙齒怎麼洗都是黃黃的————全口美白貼片
    我的牙齒怎麼洗都是黃黃的————全口美白貼片
  • 我覺得我笑起來不是很好看————牙齦整形併全瓷貼片
    我覺得我笑起來不是很好看————牙齦整形併全瓷貼片
  • 矯正後完美笑容的最後一哩路————全瓷冠治療
    矯正後完美笑容的最後一哩路————全瓷冠治療
  • 矯正後,覺得牙齒黃黃的————全瓷貼片
    矯正後,覺得牙齒黃黃的————全瓷貼片
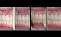
  • 牙齦邊緣萎縮,瓷牙冠邊緣變黑,橋體下牙齦萎縮————全瓷牙橋併牙齦移植手術
    牙齦邊緣萎縮,瓷牙冠邊緣變黑,橋體下牙齦萎縮————全瓷牙橋併牙齦移植手術
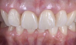
  • 我的全瓷冠裡面破掉了,牙齦處黑黑的————全瓷冠合併牙齦再生手術
    我的全瓷冠裡面破掉了,牙齦處黑黑的————全瓷冠合併牙齦再生手術
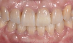
  • 牙齒撞到神經損傷,根管治療牙齒變黃————雙層全瓷冠與貼片治療
    牙齒撞到神經損傷,根管治療牙齒變黃————雙層全瓷冠與貼片治療
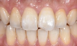
  • 牙齒黑黑的,笑起來不好看——美學樹脂、美白、全瓷冠修復
    牙齒黑黑的,笑起來不好看——美學樹脂、美白、全瓷冠修復
  • 牙齒外傷撞斷,一定要拔掉嗎?——矯正排正牙齒,並且將牙齒拉出後,用纖維釘與全瓷冠修復。
    牙齒外傷撞斷,一定要拔掉嗎?——矯正排正牙齒,並且將牙齒拉出後,用纖維釘與全瓷冠修復。
  • 牙齒有點黃,而且之前補的蛀牙黑黑的---局部矯正、美白、全瓷貼片、全瓷冠修復
    牙齒有點黃,而且之前補的蛀牙黑黑的---局部矯正、美白、全瓷貼片、全瓷冠修復
  • 牙齒不整齊且牙齒磨短了---矯正既全瓷冠與貼片修復
    牙齒不整齊且牙齒磨短了---矯正既全瓷冠與貼片修復
  • 我的牙齒有點黃,排列不是很整齊---美白、貼片、全瓷冠修復
    我的牙齒有點黃,排列不是很整齊---美白、貼片、全瓷冠修復
  • 我的門牙有縫,能夠傷害牙齒最小的狀況下,把縫關起來嗎---顯微貼片治療
    我的門牙有縫,能夠傷害牙齒最小的狀況下,把縫關起來嗎---顯微貼片治療
  • 我根管治療後的牙齒變黑變黃了之二---全瓷冠、齒內美白治療
    我根管治療後的牙齒變黑變黃了之二---全瓷冠、齒內美白治療
  • 我根管治療後的牙齒變黑變黃了之一---全瓷冠、美白治療
    我根管治療後的牙齒變黑變黃了之一---全瓷冠、美白治療
  • 牙齒大小不均,齒色變黃------美白、全瓷冠、貼片、牙齦整形術修復
    牙齒大小不均,齒色變黃------美白、全瓷冠、貼片、牙齦整形術修復
  • 牙齒斷裂怎麼辦?---顯微貼片微創修復
    牙齒斷裂怎麼辦?---顯微貼片微創修復
  • 牙齒有點凸,顏色不好看---全瓷貼片矯正排列與增進亮白
    牙齒有點凸,顏色不好看---全瓷貼片矯正排列與增進亮白
  • 牙齦萎縮變色,牙齒太長----牙齦調整、全口美白、全瓷冠治療
    牙齦萎縮變色,牙齒太長----牙齦調整、全口美白、全瓷冠治療
  • 外傷門牙斷裂---微創貼片修復
    外傷門牙斷裂---微創貼片修復
  • 牙冠邊緣變黑,門牙無微笑曲線---全瓷冠全瓷貼片合併全口美白
    牙冠邊緣變黑,門牙無微笑曲線---全瓷冠全瓷貼片合併全口美白
  • Prev
  • 1
  • 2
  • 3
  • Next

© 2026 美容牙科張凱榮醫師. All Rights Reserved | Design by W3layouts

  • 牙科美容資訊
  • 案例介紹
  • 常見問題
  • 醫師動態
  • 診所資訊
  • 回首頁